精彩推荐:青光眼 白内障 近视 远视 散光 斜视弱视 角膜溃疡 角膜炎 沙眼 眼外伤 更多疾病
大众频道
专业频道
时尚频道
互动频道
疾 病 | 保 健 | 爱眼动态 | 名医名院
知 识 | 美 食 | 自检自测 | 爱眼纪事
资 讯 | 临 床 | 学 术 | 文 献
图 谱 | 医 患 | 继 教 |
五官之美 | 整 形 | 美 容
眼镜一族 | 妆 容 | 图 库
眼科在线 | 预留位置
眼科知道 | 在线咨询
  当前位置:当前位置: 中华眼科在线 → 医学频道 → 临床药学 → 药物资讯 → 正文 切换到繁體中文 用户登录 新用户注册
氯喹及羟化氯喹视网膜毒性筛查

http://www.cnophol.com 2017-8-8 10:19:06 中华眼科在线

  美国眼科协会于 2016 年发布修订版氯喹(CQ)/ 羟化氯喹(HCQ)视网膜毒性筛查指南,针对 CQ/HCQ 视网膜毒性、毒性统计风险及推荐剂量、毒性风险因素及筛查等方面提出详细指导。

  背景

  CQ 及其类似物 HCQ 广泛用于治疗系统性红斑狼疮、类风湿性关节炎及一些炎症、皮肤问题,最近被应用于糖尿病、心脏疾病及辅助癌症治疗,但 CQ/HCQ 均具有视网膜毒性,可对患者视力造成严重威胁。

  药物毒性不可逆转,但如果借助恰当的筛查方式,于视网膜色素上皮细胞(RPE)变性前发现毒性损伤,减少或停止使用 CQ/HCQ,则中心视力有望保留。

  CQ/HCQ 视网膜毒性

  1. 机制

  CQ/HCQ 毒性机制尚不清楚,实验显示,高剂量药物可对视网膜细胞代谢产生急性毒作用,但临床慢性毒性作用如何发生仍不明确。临床上,初期损伤作用于光感受器,随着外核层退化,RPE 损伤,最终导致患者视力丢失。

  2. 临床表现

  欧洲患者光感受器损伤通常在中央凹(图 1),亚洲患者一般在外周黄斑弓形血管附近(图 2),非裔、西班牙裔美国人损伤模式与欧洲人类似,但更倾向与外周黄斑牵连。其他种族人数过少,难以得出结论。

  3. 视力

  HCQ 毒性初期,患者一般视力正常,无明显视觉症状。若持续用药,功能干扰区域扩大,波及 RPE,入侵中央凹中心,就会引发视力丢失。

  4. 持续毒性

  HCQ 停药后,毒性仍将持续,因为 HCQ 可在体内蓄积,机体需花费数月才能将其完全清除。

  视网膜毒性的统计风险及推荐剂量

  HCQ 毒性的总发病率为 7.5%,日用剂量是毒性风险的决定性因素,与实际体重而非理想体重高度相关。

  人口统计显示,HCQ 日用量 4~5 mg/ 每千克实际体重毒性累积风险较低。Kaplane Meier 曲线显示,患者 HCQ 日用量 ≤ 5 mg/ 每千克实际体重,5 年内发病风险为 1%,10 年内为 2%,但 20 年后迅速上升至约 20%。尽管低剂量用药发病风险低,是否有长期使用 HCQ 的安全剂量仍未知。

  视网膜毒性相关风险因素

  日用剂量是毒性风险的决定性因素,其他主要因素及次要因素见表 1。

美国眼科协会指南:氯喹及羟化氯喹视网膜毒性筛查

  筛查

  1. 筛查目的

  HCQ/CQ 视网膜毒性不可逆,且停药后细胞损伤仍会持续,若发展为视网膜靶心病变,则中央凹逐渐变薄,最终导致视力丢失。但若能在 RPE 损伤前发现毒性迹象并及时停药,则中心凹不会损伤,筛查目的即在于此。

  2. 筛查频率

  (1)基础筛查

  所有长期服用 HCQ/CQ 的患者用药一年内都应进行基础眼科检查,以确定眼底表观及功能状态,指导用药剂量。视野测试及频域光学相干断层扫描(SD OCT)也很有效,但如果患者无局部黄斑变性及青光眼等异常,则无必要接受。

  (2)年筛查

  若患者 HCQ 毒性风险低,用药剂量适宜,则年筛查可延迟至基础筛查 5 年后。一旦毒性风险升高,患者应立即接受年筛查,由于毒性效应较慢,及时发现便可有效遏制。若有需要,应进一步提高筛查频率。

  3. 筛查技术

美国眼科协会指南:氯喹及羟化氯喹视网膜毒性筛查

  自动视野检查较敏锐,一般可发现早期颞下方黄斑病变(图 2a);SD OCT 可显示中央凹感光层局部变薄,这是毒性效应的重要指示(图 1c 及图 2d);mfERG 能有效检测视网膜后极部病变,在毒性反应早期,中央凹及外周黄斑视网膜电图响应较弱(图 1b 及图 2b);FAF 可反映早期中央凹及外周黄斑光感受器损伤(图 1d 及图 2c)。

  微视野检查理论上比自动视野测试有效且可靠,但实际操作复杂;自适应光学视网膜成像可显示早期视锥细胞损伤,目前仅用于研究。

  高风险患者及视网膜病患者管理

  没有证据表明食疗或药物疗法可预防、治疗或降低 HCQ/CQ 毒性风险。一些年龄相关性黄斑患者或黄斑营养障碍患者被建议避免过多日晒,服用叶黄素及玉米黄质,以保护中央凹,但这究竟是叶黄素及玉米黄质发挥作用,还是 HCQ 停用后毒性降低,目前尚无定论。

  一旦出现毒性迹象,医师应与患者一同作出停药决定。

  2016 版指南更新之处

  1. 对于毒性统计风险,2011 版参考文献纳入患者少,仅有严重毒性结果。2016 版参考文献纳入患者 2361 名,服用 HCQ 长达 5 年,且借助筛查测试在视力恶化前即发现 HCQ 毒性。

  2.2011 版强调累积剂量,即将日用剂量及用药持续时间合并为一个风险指示因素,但相对于日用剂量,持续用药时间评估风险更加精确,故 2016 版将二者分开,作为 2 个风险因素。

  3.2016 版将配伍药物它莫西芬作为一个风险因素,因最新研究表明其可将毒性风险提高 5 倍。

  4.2011 版将肝脏疾病作为一项主要风险因素,而将黄斑疾病作为次要因素,2016 版恰好相反,且把年龄从风险因素中去除。

  5.2016 版增加了微视野检查及自适应光学视网膜成像 2 项有价值的新筛查测试。

美国眼科协会指南:氯喹及羟化氯喹视网膜毒性筛查

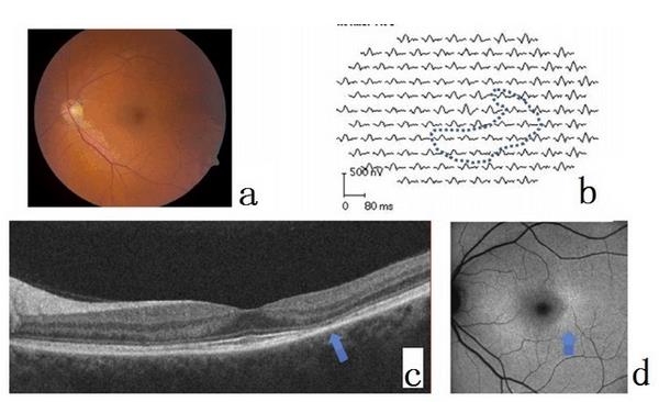
  图 1 显示一位 48 岁欧洲女性患者日服 HCQ 8 mg/ 每千克体重 25 年后产生中央凹黄斑病变。a 显示眼底正常,b 为 mfERG 显示中央凹视网膜电图响应弱,c 为 SD OCT 显示中央凹变薄(箭头所示),d 为 FAF 显示中央凹增强荧光(箭头所示)

美国眼科协会指南:氯喹及羟化氯喹视网膜毒性筛查

  图 2 显示一位 42 岁中国女性患者严重黄斑变性,患者日服 HCQ 8 mg/ 每千克体重共 8 年,之后日用量减半服用 2 年。a 为 30-2 视野测试显示中央凹外周区局部环状暗点,b 为 mfERG 显示视网膜电图响应弱,而颞下外周黄斑相对较强,c 为 FAF 显示黄斑附近弓形血管增强荧光(左箭头示),周边减弱荧光表明 RPE 早期(右箭头示),d 为 SD OCT 显示外核层显著丢失(左箭头示),RPE 开始发生(右箭头示),与 c 呼应

(来源:丁香园) (责编:cnophol)

发表评论】【加入收藏】【告诉好友】【打印此文】【关闭窗口
  • 下一条信息: 没有了
  • 更多关于(氯喹,羟化氯喹,视网膜毒性筛查,中华眼科在线)的信息
    没有相关信息
      热门图文

    关于眼镜的1.2.3.....

    双眼皮贴竟会让皮肤变

    软性隐形眼镜验配的学

    眼镜度数真的会越戴越
      健康新看点
      健康多视点
    ad推广
      图话健康
    点击申请点击申请点击申请点击申请点击申请点击申请点击申请点击申请点击申请
    39健康网眼病新浪福建健康21世纪药店网医脉通眼科新浪厦门健康合肥爱尔眼科一心医药集团重庆桐君阁湖北眼科网武汉眼科医院
    天津眼科医院武汉民生耳鼻喉医院中国近视网中国卫生人才网39五官科爱尔英智眼科康华眼科网久久眼科网阿里医药眼科网山水画

    Copyright © 2007 中华眼科在线 网站备案序列号: 京ICP备08009675号
    本网站由武汉五景药业主办