世上没有完美的人和事,说完美可能有点夸张,但追求完美是每个人做事的原则和努力方向。翼状胬肉是眼科最常见的眼病之一,也是很多眼科医生入门手术之一,胬肉手术上手容易,做好不容易,且做且珍惜!做得好,做好一个来一村,做不好,做坏一个一村不来。本人每年要做上六七百台的胬肉切除联合角膜缘干细胞移植手术,已手术5000例以上,一般每台的手术时间是15分钟,术后复发率在1%以下,从未发生角膜感染、巩膜溶解、睑球粘连等并发症。现就胬肉手术的一些心得与大家分享。
要建立胬肉手术是美容手术的观点,除了要尽量减少复发,避免并发症,美观是胬肉手术的一个重要要求,如果术后切除区疤痕增生明显、长期充血、角膜遗留人为的白斑都是不可取的。
翼状胬肉手术的三大要点:
1、微创:尽量减少对角膜及巩膜的损伤,减少术后炎症刺激;术中避免对角膜进行切割、搔刮等损伤性操作,避免不必要的烧灼止血。
2、彻底:对胬肉组织及肥厚增生筋膜组织必须切除彻底,减少术后复发的机会,术后更美观;
3、平整:植片缝合必须平整,伤口对合好,线结少,这样炎症刺激少,病人更舒适,术后复发率更低。一般采取植片一个角与角膜缘先间断缝线固定一针,然后从另一个角连续缝合,这样线头少,对合平整,效果好。小胬肉也可采取本人首创的干细胞滑行移植法,操作简单,损伤小,线结少,线结位于睑裂区,无刺激感。
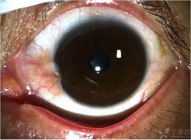
这是一例翼状胬肉,手术过程中我们采取逆行撕除法,没有对角膜进行任何搔刮,术后角膜完全透明无斑翳。我们采取连续缝合法,植片平整,伤口对合好,术后反应轻,愈后结膜无明显疤痕。对于供区创面要缝合,尽量不影响以后的青光眼手术。这是术前,胬肉较大,充血明显,较肥厚。
这是术后一周时,连续缝线在位,伤口对合整齐,干细胞片平整。
这是术后3周复查,角膜透明,结膜无疤痕,基本看不出曾行胬肉手术
这是另一例术前
术后1周时,连续缝合基本没有线头暴露。
这是术后3周时复查,角膜透明无翳,结膜无疤痕。
对于小的胬肉,我采取了独创的干细胞滑行移植术,刺激更小。这是术前
术中采取胬肉切除联合干细胞滑行移植术,只需缝合4针左右,不需取片,操作简单,不影响手术,术后疼痛及异物感少,并发症少。
术后外观自然,角膜结膜疤痕少。
 |