精彩推荐:青光眼 白内障 近视 远视 散光 斜视弱视 角膜溃疡 角膜炎 沙眼 眼外伤 更多疾病
大众频道
专业频道
时尚频道
互动频道
疾 病 | 保 健 | 爱眼动态 | 名医名院
知 识 | 美 食 | 自检自测 | 爱眼纪事
资 讯 | 临 床 | 学 术 | 文 献
图 谱 | 医 患 | 继 教 |
五官之美 | 整 形 | 美 容
眼镜一族 | 妆 容 | 图 库
眼科在线 | 预留位置
眼科知道 | 在线咨询
  当前位置:当前位置: 中华眼科在线 → 医学频道 → 临床医学 → 病例分析 → 正文 切换到繁體中文 用户登录 新用户注册
罕见病例全记录 眼部带状疱疹引发的急性眼眶综合征

http://www.cnophol.com 2016-8-30 10:55:30 中华眼科在线

  眼部带状疱疹(HZO)是由三叉神经眼分支内潜伏的水痘带状疱疹病毒引起的罕见疾病,20%~70% 患者伴有眼部或眼周牵连,包括上眼睑水肿、眼睑下垂、角膜结膜炎、前葡萄膜炎、巩膜外层炎及巩膜炎等。HZO 不常见的临床表现有视网膜坏死、眼眶炎、视神经炎、颅神经障碍及眶肌炎。

  而由 HZO 引发的急性眼眶综合征十分罕见,Temnogorod 医生等对 7 例上述疾病患者进行研究,结果发表在 Ophthal Plast Reconstr Surg 杂志上。

  研究主要回顾患者医疗记录,评估临床表现、放射显影及治疗结果。

  研究纳入的患者为 6 名女性,1 名男性,年龄中值为 70 岁,其中,2 名免疫系统缺陷(分别为慢性淋巴细胞白血病及艾滋病毒感染)。临床眼眶表现为眼球突出、眼睑下垂、眼肌麻痹、复视及视力损伤。眼眶图像显示 7 名患者患眼肌炎,2 名患泪腺炎,1 名视神经鞘增粗。7 名患者均静脉注射阿昔洛韦进行治疗,2 名全身使用皮质类固醇,数月后,患者症状均有所改善。

  以患者 2 为例:患者 2(感染艾滋病毒)静脉注射阿昔洛韦 30 mg/kg/d,并使用红霉素眼膏,5d 后,症状改善,使用伐昔洛韦 1 g/d 及红霉素眼膏 7d。1 个月后,患者病情加重(图 1,2),再次静脉注射阿昔洛韦 30 mg/kg/d,5d 后,静脉注射地塞米松 8 mg,tid 以治疗颅神经病变,共用 3d。5d 后,患者视力提高,使用伐昔洛韦 1 g/d,及 1 mg/kg/d 强的松,共 7d。21 个月后,患者视力恢复至 20/25,眼球活动自如(图 3)。

图 1.png

  图 1 显示患者 2 动眼神经麻痹、眼球突出、眼睑下垂及左眼瘢痕皮疹

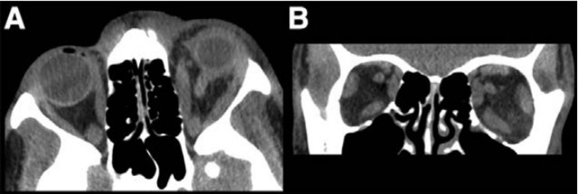
图 2.png

  图 2 A 为患者 2 左眼水平直肌增大,图 2 B 为左侧所有直肌增大

图 3.png

  图 3 为患者 2 经 21 个月治疗后眼球活动自如,仅剩左眼睑下垂症状

  由 HZO 引发的急性眼眶综合征十分罕见,作者认为 HZO 通过影响眼眶结构,包括泪腺、眼外肌、颅神经及视神经鞘导致急性眼眶综合征。临床上,广大医师需结合细致诊断及眼眶放射显影确诊及治疗上述疾病,而眼眶症状的诊断对于防止进一步发展为眼部皮疹尤为重要。此外,使用皮质类固醇在治疗过程中发挥的作用尚不明确,需进一步研究。

(来源:丁香园) (责编:cnophol)

发表评论】【加入收藏】【告诉好友】【打印此文】【关闭窗口
  • 下一条信息: 没有了
  • 更多关于(罕见病例全记录,眼部带状疱疹,急性眼眶综合征,中华眼科在线)的信息
      热门图文

    那些年,眼镜背了多少

    小小眼膜也有分工?选对

    谷歌全息AR眼镜Holole

    两招把“黑眼圈”永远
      健康新看点
      健康多视点
    ad推广
      图话健康
    点击申请点击申请点击申请点击申请点击申请点击申请点击申请点击申请点击申请
    39健康网眼病新浪福建健康21世纪药店网医脉通眼科新浪厦门健康合肥爱尔眼科一心医药集团重庆桐君阁湖北眼科网武汉眼科医院
    天津眼科医院武汉民生耳鼻喉医院中国近视网中国卫生人才网39五官科爱尔英智眼科康华眼科网久久眼科网阿里医药眼科网山水画

    Copyright © 2007 中华眼科在线 网站备案序列号: 京ICP备08009675号
    本网站由武汉五景药业主办