精彩推荐:青光眼 白内障 近视 远视 散光 斜视弱视 角膜溃疡 角膜炎 沙眼 眼外伤 更多疾病
大众频道
专业频道
时尚频道
互动频道
疾 病 | 保 健 | 爱眼动态 | 名医名院
知 识 | 美 食 | 自检自测 | 爱眼纪事
资 讯 | 临 床 | 学 术 | 文 献
图 谱 | 医 患 | 继 教 |
五官之美 | 整 形 | 美 容
眼镜一族 | 妆 容 | 图 库
眼科在线 | 预留位置
眼科知道 | 在线咨询
  当前位置:当前位置: 中华眼科在线 → 医学频道 → 继续教育 → 网上学习 → 正文 切换到繁體中文 用户登录 新用户注册
OCT视网膜各层对应关系

http://www.cnophol.com 2016-5-3 10:34:23 中华眼科在线

  OCT视网膜各层对应关系

  1.神经纤维层:神经纤维,反光强——红黄色带。

  2.神经节细胞层:节细胞体,反光弱——绿蓝色带。

  3.内丛状层:节细胞和双极细胞树突——神经纤维,反光强——黄色带。

  4.双极细胞体层:细胞体,反光弱——蓝色带。

  5.外丛状层:视细胞和双极细胞树突——神经纤维,反光强——黄色带。此层有中介膜存在,是真正的视网膜中分界所在。

  6.视细胞体层:视细胞体,反光弱——蓝色带,而且较宽。

  7.外界膜:反光略增强,很窄的绿黄色带。为视细胞体与椎体、杆体(感受器)之间的分界处,外界膜的内侧为视细胞体,其外侧即为椎体和杆体。

  8.视细胞光感受器内节带:较外界膜反光略弱——很窄的绿色带。

  9.视细胞光感受器内外节连接处:反光明显增强,很窄的黄色带。在黄斑中心凹处,因该处的椎体外节长而稍远离其下的色素上皮带。

  10.视细胞光感受器外节带:反光略弱——非常窄的绿色带。仔细观察下是一条区分内外节连接处与其下色素上皮层的非常非常窄的绿色光带,在黄斑中心凹处,因该处椎体外节长而增宽;

  11.色素上皮层:反光明显增强、增宽的红黄色带。在黄斑中心凹处,因该处色素上皮增多,而略有增宽。

  12.玻璃膜和脉络膜毛细血管层:因色素上皮层的遮蔽作用,结构显示不太清楚。

OCT视网膜各层对应关系
OCT视网膜各层对应关系

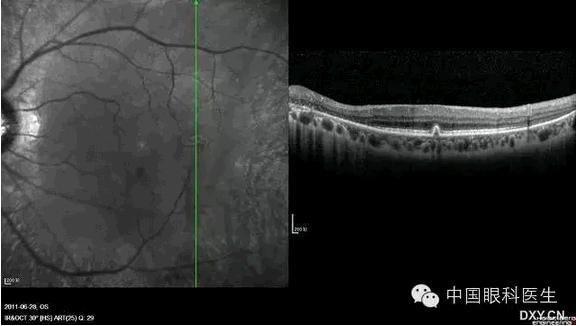
  视网膜色素变性:除黄斑区仅余的IS/OS反射光带外,余未见IS/OS反射光带。

OCT视网膜各层对应关系

  先天性黄斑缺损

OCT视网膜各层对应关系

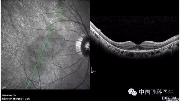
  假性黄斑裂孔 视网膜前膜黄斑中心凹失去正常轮廓,变陡峭,中心凹视网膜厚度正常,中心凹周围网膜前见一强反射光带,与视网膜粘连紧密。

OCT视网膜各层对应关系

  1、正常视盘凹陷位置

  2、视盘小凹

  3、脉络膜囊样暗区

OCT视网膜各层对应关系

  玻璃膜疣OCT示视网膜色素上皮隆起,下方为轻中度反射,与脉络膜反射无区别,从隆起的视网膜色素上皮延伸到脉络膜。

OCT视网膜各层对应关系

  视网膜前出血:OCT示神经上皮层及其下反射光带并迅速衰减。局部反射光带被遮蔽。

OCT视网膜各层对应关系

  视网膜劈裂 OCT图

OCT视网膜各层对应关系

  增殖膜

OCT视网膜各层对应关系

  视网膜前膜横跨黄斑中心凹

OCT视网膜各层对应关系

  声明:本网站所有内容,凡注明来源为“中国眼网”,版权均归中国眼网所有,欢迎转载,但请务必注明出处。本网注明来源为其他媒体的内容为转载,仅为传递更多信息之用,版权归原作者所有,如有侵犯版权,请及时联系我们删除。内容真实性、准确性和完整性未经核实,读者仅作参考,并请自行核实相关内容。

(来源:中国眼网) (责编:cnophol)

发表评论】【加入收藏】【告诉好友】【打印此文】【关闭窗口
  • 下一条信息: 没有了
  • 更多关于(OCT视网膜各层对应关系,眼科,中华眼科在线)的信息
      热门图文

    一招让你远离黑眼圈!

    女孩到底从几岁开始用

    使用隐形眼镜,这8个卫

    选镜片?并不是越薄越好
      健康新看点
      健康多视点
    ad推广
      图话健康
    点击申请点击申请点击申请点击申请点击申请点击申请点击申请点击申请点击申请
    39健康网眼病新浪福建健康21世纪药店网医脉通眼科新浪厦门健康合肥爱尔眼科一心医药集团重庆桐君阁湖北眼科网武汉眼科医院
    天津眼科医院武汉民生耳鼻喉医院中国近视网中国卫生人才网39五官科爱尔英智眼科康华眼科网久久眼科网阿里医药眼科网山水画

    Copyright © 2007 中华眼科在线 网站备案序列号: 京ICP备08009675号
    本网站由武汉五景药业主办