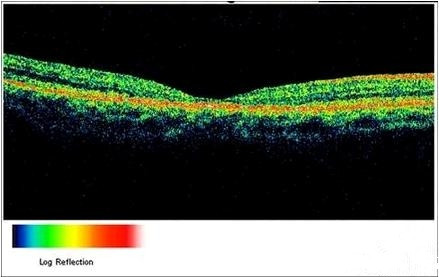
1、正常视网膜OCT图像:最高反射层面;最低反射层面;中等反射面;中心凹图像。
视网膜变薄:黄斑中心凹区网膜70um
2、眼底异常结构的OCT影像:视网膜厚度改变 (如 变薄、 变厚);光反射改变(如反射增强、反射减弱、无反射)。
视网膜变厚
神经上皮层反射增强
3、中浆:神经上皮脱离( 神经上皮与色素上皮间是无反射的暗区);色素上皮脱离(色素上皮光反射带隆起,其下方是无光反射的暗区;必须存一端和色素上皮反射带相连;均可测量出神经上皮脱离和色素上皮脱离区范围、高度)
神经上皮脱离
神经上皮、色素上皮脱离
神经上皮、色素上皮脱离
4、视网膜前膜:前膜和视网膜的关系(距离和粘连);前膜的厚度;黄斑假性裂洞
视网膜前膜
5、黄斑水肿:海绵状无反射区;囊样无反射区;视网膜神经上皮脱离。
神经上皮脱离及囊样无反射区
囊状无反射区及神经上皮脱离
囊状无反射区及神经上皮脱离
组合图
6、板层黄斑裂洞:在裂洞底部仍可见到部分神经上皮及色素上皮的反射。
板层裂洞伴神经上皮脱离
术前术后
7、全层裂洞:神经上皮层全层无反射,只见洞底色素上皮层反射。
裂洞伴神经上皮脱离
8、中渗
伴色素上皮脱离的新生血管
伴色素上皮脱离的新生血管
组合片
9、类脂质沉着症:中心凹处网膜神经上皮变薄;中心凹周围神经上皮层变薄;神经节细胞呈高反射,其后组织反射减弱。
 |