精彩推荐:青光眼 白内障 近视 远视 散光 斜视弱视 角膜溃疡 角膜炎 沙眼 眼外伤 更多疾病
大众频道
专业频道
时尚频道
互动频道
疾 病 | 保 健 | 爱眼动态 | 名医名院
知 识 | 美 食 | 自检自测 | 爱眼纪事
资 讯 | 临 床 | 学 术 | 文 献
图 谱 | 医 患 | 继 教 |
五官之美 | 整 形 | 美 容
眼镜一族 | 妆 容 | 图 库
眼科在线 | 预留位置
眼科知道 | 在线咨询
  当前位置:当前位置: 中华眼科在线 → 医学频道 → 热点新闻 → 正文 切换到繁體中文 用户登录 新用户注册
频域相干光断层成像:评估 Stargardt 病进展的重要工具

http://www.cnophol.com 2016-3-16 10:53:44 中华眼科在线

  targardt 黄斑营养不良(STGD1)是由于 ABCA4 基因突变引起的一种常染色体隐性遗传性视网膜疾病,是青少年黄斑变性最常见的原因,通常表现为青少年期视力进行性减退,黄斑区视网膜萎缩和视网膜色素上皮层黄白色病灶。目前没有有效的治疗措施。

  采用频域 OCT(SD-OCT)使得视网膜的三维立体图像可视化,可得到视网膜高分辨率的成像,虽仍有图像误差,但较时域 OCT 优势明显,不仅揭示黄斑部的病变情况,也可定量测量视网膜的厚度和体积。

  约翰霍普金斯大学威尔默眼科研究所的 Strauss 教授采用 SD-OCT 测量黄斑体积来评估 STGD1 患者的病程进展,相关结果于近日发布在 Br J Ophthalmol。

  研究纳入 29 位符合标准的 STGD1 患者的 58 只眼,记录患者年龄、性别、种族、发病年龄、最佳矫正视力等,每只眼至少行 1 次 SD-OCT 检查,记录和手动校正程序错误的数量和类型。

  其中 18 位患者的 36 只眼行至少检查 2 次 SD-OCT,记录黄斑总体积(TMV)和早期治疗糖尿病视网膜病变研究(ETDRS)中划分的 9 个区域的视网膜体积。采用随机效应模型估算患者每年的变化率,经验贝叶斯方法估算每位患者 TMV 的逐年下降率。

  研究显示,共分析 190 次黄斑区扫描中的 6958 次单个 B 扫描,其中 2360 次(33.9%)有程序错误。经验贝叶斯方法算出每只眼 TMV 平均变化 -0.103 mm³/ 年,14% 的患者每年下降>0.2 mm³;ETDRS 划分的中间部视网膜体积平均变化 -0.004 mm³/ 年,里层平均变化 -0.032 mm³/ 年,外层平均变化 -0.079 mm³/ 年。

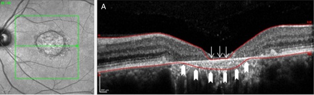
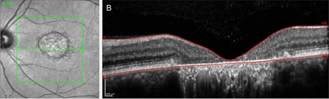
  研究表明,SD-OCT 可以监测 STGD1 的视网膜体积下降情况,但是需要手动矫正视网膜界限识别错误等程序错误,如图 1。作者认为,视网膜厚度和体积的测量包括视网膜色素上皮层可能更有利于监测 STGD1 的萎缩进程。

OCT A.png
OCT B.png

  图 1 左侧为共焦激光扫描检眼镜图像,右侧为相应横截面的单个 B 扫描。图 A 箭头所指部分为软件对视网膜内外界限的识别错误;图 B 为手动矫正错误后。

  综上,通过 SD-OCT 测量视网膜厚度和体积,是临床上评估 Stargardt 病的视神经视网膜和视网膜色素上皮层萎缩进展的重要工具。

(来源:丁香园) (责编:cnophol)

发表评论】【加入收藏】【告诉好友】【打印此文】【关闭窗口
  • 下一条信息:
  • 更多关于(频域相干光断层成像,评估 ,Stargardt 病,进展,重要工具)的信息
    没有相关信息
      热门图文

    种植睫毛会对眼睛产生

    近视的你如何选一副酷

    怎么样戴彩瞳才不伤眼

    单眼皮怎么化妆才时尚
      健康新看点
      健康多视点
    ad推广
      图话健康
    点击申请点击申请点击申请点击申请点击申请点击申请点击申请点击申请点击申请
    39健康网眼病新浪福建健康21世纪药店网医脉通眼科新浪厦门健康合肥爱尔眼科一心医药集团重庆桐君阁湖北眼科网武汉眼科医院
    天津眼科医院武汉民生耳鼻喉医院中国近视网中国卫生人才网39五官科爱尔英智眼科康华眼科网久久眼科网阿里医药眼科网山水画

    Copyright © 2007 中华眼科在线 网站备案序列号: 京ICP备08009675号
    本网站由武汉五景药业主办