精彩推荐:青光眼 白内障 近视 远视 散光 斜视弱视 角膜溃疡 角膜炎 沙眼 眼外伤 更多疾病
大众频道
专业频道
时尚频道
互动频道
疾 病 | 保 健 | 爱眼动态 | 名医名院
知 识 | 美 食 | 自检自测 | 爱眼纪事
资 讯 | 临 床 | 学 术 | 文 献
图 谱 | 医 患 | 继 教 |
五官之美 | 整 形 | 美 容
眼镜一族 | 妆 容 | 图 库
眼科在线 | 预留位置
眼科知道 | 在线咨询
  当前位置:当前位置: 中华眼科在线 → 医学频道 → 临床医学 → 经验交流 → 正文 切换到繁體中文 用户登录 新用户注册
多学科病例挑战:不可忽视的视野缺损

http://www.cnophol.com 2016-3-14 10:18:19 中华眼科在线

  近日,美国 Houston Methodist Hospital 的 Lee 教授等在 ScienceDirect 与我们分享了一例多学科参与的疑难病例诊治,让我们来共同学习。

  病例介绍:

  患者男,51 岁,在外院因咳嗽和肺纤维化接受气管镜检查。患者此前已确诊类风湿性关节炎 2 年,并患有 2 型糖尿病,但没有关节外表现。患者服用的药物包括塞来昔布、柳氮磺吡啶、二甲双胍、格列美脲和泮托拉唑。个人史方面,患者曾吸烟酗酒多年,否认其他用药史。麻醉下气管镜检查显示杓状软骨轻微红斑,其余未见明显异常。

  在观察室患者出现躁动不安,予丙泊酚及芬太尼处理。夜间患者发热至 39.4℃,并出现呼吸急促不规则,需要气管插管。辅助检查:白细胞从 8×109L 上升至 15×109L,,动脉血气无异常。发病初的胸片示慢性肺纤维化,无支气管及肺部炎症表现。头颅 CT 无明显异常。

  外院按脑膜炎对患者进行经验性治疗,方案为头孢曲松 2 g iv q12 h,万古霉素 1 g iv q12 h, 氨苄西林 2 g iv q4 h,苯妥英钠控制患者躁动不安症状。次日患者撤下气管插管,精神症状加重,同时进行性虚弱乏力,此后转诊至上级医院。

  入院时患者神智尚清,但仅能定时定向。患者有轻度构音障碍,言语含糊,但能完整重复词句。面部轻触觉正常,面部运动正常对称。四肢肌力检查:右上肢屈肌 4/5,伸肌 4/5,左上肢屈肌 4-/5,伸肌 4/5。右下肢屈肌 4+/5,伸肌 4+/5,左下肢屈肌 4-/5,伸肌 4/5。四肢轻触觉均正常,但左侧两点辨别觉缺失。指鼻试验困难。另外,患者双侧踝关节发现皮疹。

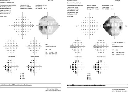
  神经眼科检查:双眼视力 20/25,双侧瞳孔等大等圆,对光反射正常,无相对传入性瞳孔障碍。双侧眼压均为 10 mmHg。视野检查示双眼程度不一致的同侧偏盲视野缺损(图 1)。眼球运动正常,眼前段检查、裂隙灯及散瞳后眼底检查均无异常。

RA-1.jpg

  图 1 示患者双眼不一致性左同侧偏盲伴黄斑分裂

  影像学检查:见图 2;超声心动图及冠脉多普勒超声无异常;头颅 MRA 未见血管狭窄,颈动脉 MRA 未见血管狭窄、阻塞及畸形

  实验室检查:脑脊液红细胞 9 个 /mL,白血病 5 个 /mL,蛋白质 165 mg/dL(参考值 40~80 mg/dL),葡萄糖 153 mg/dL(参考值 15~60 mg/dL),蛋白电泳未见寡克隆带。血清 C 反应蛋白 6.91 mg/dL(参考值 0~1 mg/dL),ESR 39 mm/hour(参考值 0~10 mm/hour),RF 42 IU/mL(参考值 0~13 IU/mL), p-ANCA 1:1280(参考值 <20), mpo 30(参考值 <20)。SSA、SSB 抗体水平均正常。

RA-2.jpg

  图 2 为头颅 MRI 显示双侧半球多发 DWI 高信号,右侧更严重,表现为大脑中动脉供血区域梗死累及右额叶、顶叶及枕颞叶皮质,白质受累相对较轻

  初步诊断:类风湿血管炎(RA-related vasculitis,RAV)

  治疗方案:

  经验性治疗,甲强龙 500 mg bid 静脉冲击治疗,由于患者此前有酗酒史,同时应用叶酸、维生素 B1 治疗。患者此后未再发热,血、尿、痰镜检及培养未见病原体。复查头颅 MRI 显示亚急性梗死区域有所好转,未见新的梗死区域。气管活检正常。腿部皮肤皮疹活检显示白细胞破碎性血管炎。停用甲强龙后改为泼尼松口服。由于血管炎症状仍有反复,此后患者又加用了甲氨蝶呤治疗。

RA-4.jpg

  图 3 示治疗后患者视野缺损情况好转

  讨论分析:

  类风湿性关节炎(RA)是一种慢性系统性自身免疫性炎症疾病,主要累及关节,关节外表现包括皮肤、眼、心脏、肺以及血管。典型的神经系统表现包括外周神经病变以及寰枢关节脱位导致的脊髓压迫症状。

  RAV 一般累及皮肤的中小血管以及外周神经系统。脑 RAV 较为少见,可发生在 1%~8% 的 RA 病人。RAV 的特征包括显微镜下淋巴细胞浸润、纤维蛋白储积和血管壁全层坏死。一旦诊断为 RAV,5 年内死亡率可高达 40%。RAV 的诊断首先需满足 ARA 类风湿性关节炎的诊断标准,通过组织活检证实诊断。

  RAV 通常累及男性及病程较长的病人,常见于血清反应阳性 RA ,常与 CCP 抗体、循环免疫复合物、细胞毒性 CD38- T 细胞相关。

  本例患者表现为 p-ANCA 阳性。相比原发性中枢神经系统血管炎,p-ANCA 阳性更多见于继发性病变。肼屈嗪、丙硫氧嘧啶等药物可能导致 ANCA 相关性血管炎,几乎所有的血管炎都表现为 MPO 阳性。如果病人表现为 c-ANCA 阳性,则应立即考虑系统性坏死性血管炎的可能。

  就眼部表现而言,该例患者为中枢神经血管病变引起的皮质盲。通常,视觉中枢病变引起的偏盲可表现为黄斑回避,该患者的视野具有类似于黄斑分裂的表现。由于右侧枕叶病变更为严重,反映在视野上也表现为右眼更为明显的视野缺损。

  单纯的颞叶、顶叶或枕叶病变有时不会引起明显的视力下降,有时仅表现为同向偏盲或视野缺损,甚至被患者忽视。因此,当眼科检查无法解释双眼的视力下降或视野缺损,或者视力下降程度与现有的眼部病变不相符时,神经系统检查和头颅 CT、MRI 对于查找病因至关重要。

  同时,对于神经科医生而言,中枢神经系统病变常常伴有视野改变。神经系统查体对于视野的检查往往不够精确,一旦发现病人有客观上的视野缺损,或病人有视觉症状方面的主诉,及时的眼科视野检查往往能够起到提示病变部位、协助定位诊断的作用。对于该患者,正是多学科协同诊疗以及医生对于病人症状的全面把握,使患者得到了及时的诊治。

(来源:丁香园) (责编:cnophol)

发表评论】【加入收藏】【告诉好友】【打印此文】【关闭窗口
  • 下一条信息:
  • 更多关于(多学科病例挑战,不可忽视,视野缺损)的信息
      热门图文

    种植睫毛会对眼睛产生

    近视的你如何选一副酷

    怎么样戴彩瞳才不伤眼

    单眼皮怎么化妆才时尚
      健康新看点
      健康多视点
    ad推广
      图话健康
    点击申请点击申请点击申请点击申请点击申请点击申请点击申请点击申请点击申请
    39健康网眼病新浪福建健康21世纪药店网医脉通眼科新浪厦门健康合肥爱尔眼科一心医药集团重庆桐君阁湖北眼科网武汉眼科医院
    天津眼科医院武汉民生耳鼻喉医院中国近视网中国卫生人才网39五官科爱尔英智眼科康华眼科网久久眼科网阿里医药眼科网山水画

    Copyright © 2007 中华眼科在线 网站备案序列号: 京ICP备08009675号
    本网站由武汉五景药业主办