精彩推荐:青光眼 白内障 近视 远视 散光 斜视弱视 角膜溃疡 角膜炎 沙眼 眼外伤 更多疾病
大众频道
专业频道
时尚频道
互动频道
疾 病 | 保 健 | 爱眼动态 | 名医名院
知 识 | 美 食 | 自检自测 | 爱眼纪事
资 讯 | 临 床 | 学 术 | 文 献
图 谱 | 医 患 | 继 教 |
五官之美 | 整 形 | 美 容
眼镜一族 | 妆 容 | 图 库
眼科在线 | 预留位置
眼科知道 | 在线咨询
  当前位置:当前位置: 中华眼科在线 → 医学频道 → 临床医学 → 病例分析 → 正文 切换到繁體中文 用户登录 新用户注册
病例挑战:视交叉受损之谜

http://www.cnophol.com 2016-2-17 10:21:20 中华眼科在线

  在近期的 Retinal Cases & Brief Reports 上,美国梅奥诊所的 Abdellatief 教授等分享了一例具有挑战性的病例。

  病例介绍

  患者为 41 岁女性,入院四年前因车祸左侧头部受伤,此后诉左眼视力丧失。患者后被诊断为脉络膜上腔出血并行引流,具体不详。此后,患者炎症持续,并被转诊至大学附属医院。在左眼行两次白内障手术后,患者依旧没有恢复视力,当时主治医生未行处理,仅嘱患者随访。患者另一只眼睛也出现视力下降,遂至梅奥诊所就诊。

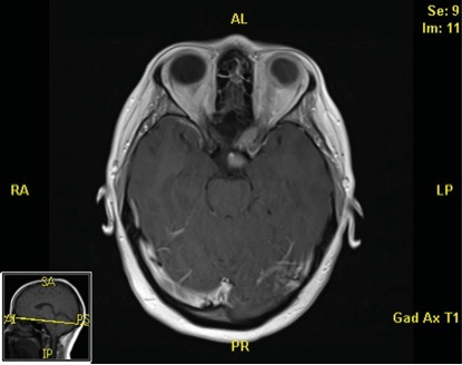
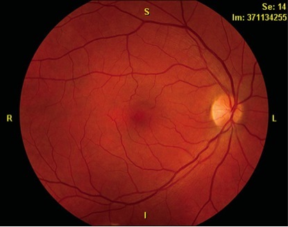
  眼科检查示:左眼无光感(图 1),右眼视力 20/20。右眼眼底检查见视盘颞侧苍白(图 2),视野检查示左眼全盲,右眼颞侧偏盲(图 3)。右眼超声检查示视神经增粗,眼内回声增强(图 4)。头颅增强 MRI 示右侧视神经增粗并延伸至视交叉,侵犯垂体(图 5)。

mela-1.jpg

  图 1 为左眼外观照

mela-2.jpg

  图 2 右眼眼底检查可见视盘颞侧苍白

mela-4.jpg

  图 3 视野检查示左眼无光感,右眼颞侧偏盲

mela-5.jpg

  图 4 右眼超声检查示视神经增粗,眼内回声增强(箭头所指为增粗的视神经边缘)

mela-6.jpg

  图 5 头颅增强 MRI 示右侧视神经增粗并延伸至视交叉,侵犯垂体

  患者诊断为:葡萄膜黑色素瘤

  患者进一步接受 PET 扫描,证实垂体已受侵犯,而肝脏未见转移。摘除左眼后,根据基因检测结果,医生试用了易普利单抗(ipilimumab)进行治疗,并联合局部放疗。尽管如此,患者最终仍因转移加重而死亡。

  病例讨论

  葡萄膜黑色素瘤是成年人最常见的眼内肿瘤,可发生于脉络膜、虹膜或睫状体。由于眼内缺乏淋巴组织,葡萄膜黑色素瘤的转移途径以局部蔓延为主,直接沿视神经转移比较少见,发生视神经转移时往往止于视盘边缘。发生转移的预测因素包括高龄、肿瘤体积增大、睫状体受侵犯及 BAP-1 基因突变。

  作者推测,该患者的原发灶可能来自左眼视乳头周围,从而导致患者最初的视力严重下降,这也有可能是此前患者发生车祸的原因。累及视交叉后,右眼出现典型的颞侧偏盲,从而促使患者前来就诊。

  根据 Shammas 等对 432 名患者的研究,约有 3.7% 的脉络膜及睫状体黑色素瘤会发生视神经转移,多数引起视神经坏死,细胞类型通常为上皮样或混合型。另一项包括 2758 名各种类型葡萄膜黑色素瘤的研究则显示大约有 5.7% 的病人遭遇了视神经转移,即大约每 20 人中就发生 1 例。

  葡萄膜黑色素瘤转移至视交叉非常少见,但早期诊断以避免颅内转移是非常重要的。

(来源:丁香园) (责编:cnophol)

发表评论】【加入收藏】【告诉好友】【打印此文】【关闭窗口
  • 下一条信息: 没有了
  • 更多关于(病例挑战,视交叉受损)的信息
    没有相关信息
      热门图文

    这8大眼部缺陷,割个双

    眶距过宽征详解

    春节收获两颗烦人眼袋

    新型仿生镜片让近视眼
      健康新看点
      健康多视点
    ad推广
      图话健康
    点击申请
    点击申请点击申请点击申请点击申请点击申请点击申请点击申请点击申请点击申请
    39健康网眼病新浪福建健康21世纪药店网医脉通眼科新浪厦门健康合肥爱尔眼科一心医药集团重庆桐君阁中国近视网39五官科
    爱尔英智眼科康华眼科网久久眼科网阿里医药眼科网山水画泉州新视力眼科武汉普瑞眼科眼科疾病点击申请点击申请

    Copyright © 2007 中华眼科在线 网站备案序列号: 京ICP备08009675号
    本网站由武汉五景药业主办