精彩推荐:青光眼 白内障 近视 远视 散光 斜视弱视 角膜溃疡 角膜炎 沙眼 眼外伤 更多疾病
大众频道
专业频道
时尚频道
互动频道
疾 病 | 保 健 | 爱眼动态 | 名医名院
知 识 | 美 食 | 自检自测 | 爱眼纪事
资 讯 | 临 床 | 学 术 | 文 献
图 谱 | 医 患 | 继 教 |
五官之美 | 整 形 | 美 容
眼镜一族 | 妆 容 | 图 库
眼科在线 | 预留位置
眼科知道 | 在线咨询
  当前位置:当前位置: 中华眼科在线 → 医学频道 → 临床医学 → 经验交流 → 正文 切换到繁體中文 用户登录 新用户注册
治疗高度近视后巩膜葡萄肿首选——L 型黄斑扣带术

http://www.cnophol.com 2016-2-1 8:56:34 中华眼科在线

  黄斑劈裂(MF)、黄斑脱离不合并黄斑裂孔 (MD)、黄斑脱离合并黄斑裂孔(MHMD)三个阶段是高度近视眼进展的不同阶段,称之为近视性牵拉性黄斑病变(MTM)。通过玻璃体切除术合并或不合并内界膜(ILM)剥除术以消除色素上皮的牵拉,证明是行之有效的,但是 MTM 的最佳干预手段也目前仍存在争议。

  单独的玻璃体切除术,只能暂时解除牵拉,而不能从根本上解决 MTM 的主要危险因素,即后巩膜葡萄肿。而且,对于高度近视眼来说,玻璃体切除联合内界膜剥除术会导致并发症的发生,如黄斑裂孔或中心凹外视网膜裂孔的形成。玻璃体切除治疗 MHMD 与复发性视网膜脱离相关,这也导致手术成功率的下降。有报道认为巩膜扣带术治疗 MTM 有较好的结果。

  意大利的 Barbara 医师等收集了 50 例近视性牵拉性黄斑病变患者,开展了一项关于黄斑扣带术治疗近视性牵拉性黄斑病变疗效的研究,包括黄斑脱离合并黄斑裂孔、黄斑脱离无黄斑裂孔以及黄斑劈裂患者,分别进行玻璃体切除术联合黄斑扣带术或者只进行黄斑扣带术。研究结果于 2015 年 12 月发表于 Retina 上。

  作者采用的是 L 型黄斑扣带术,即用 7 mm 大,5 mm 厚,3 cm 长硅胶海绵,三分之一处即扣带头放置在黄斑下,长约 2 cm 的硅胶海绵使其变薄,以使扣带更突出,剩余的三分之二即扣带臂可缝合前面扣带。用 19 G 针在硅胶海绵内穿成隧道,将长 15 mm,宽 2 mm,高 0.5 mm 的钛插入其中,然后将硅胶海绵弯成 90 度角,形成 L 型(图 1)。

1.png

  图 1 为 L 型黄斑扣带。一边较短(扣带头部)缩进黄斑,另一边较长(扣带臂部)平行放置于外直肌

  研究结果显示,联合组:包括 10 例 MHMD 眼,6 例 MD 眼 以及 4 例 MF 眼。MD 和 MHMD 患者的视网膜均复位,60% MHMD 患者裂孔闭合,所有 MF 患者的病情都得到改善。术前和术后平均最佳矫正视力:MHMD 患者分别为 0.04 和 0.2,MD 患者分别为 0.1 和 0.33,MF 患者分别为 0.1 和 0.4。平均手术时间为 80±35 分钟。

  扣带组:包括 5 例 MHMD 患者眼,11 例 MD 患者眼,以及 14 例 MF 患者眼。所有患者的视网膜均复位。60% 患者的黄斑裂孔闭合。术前和术后平均最佳矫正视力:MHMD 患者分别为 0.025 和 0.333。MD 患者分别为 0.16 和 0.4,MF 患者分别为 0.1 和 0.317。平均术后眼轴缩短 1.21 mm。平均手术时间为 35±15 分钟。

  术后两组患者眼底荧光造影和吲哚青绿造影显示视网膜脉络膜血流无变化。联合组术后发现由于结膜与海绵之间的横向挤压,30% 患者的扣带缩短。扣带组术后并发症包括结膜损伤、复视以及疼痛,MRI 显示后巩膜葡萄肿减轻。

  以下为典型患者的术前及术后眼底 OCT 以及 MRI 结果(图 2-8)。

2.png

  图 2 A 为 MHMD 患者术前 OCT;B 为同一只眼进行黄斑扣带术加 0.4 cc SF6 气体注射,术后一天 OCT ,视网膜复位,且黄斑裂孔完全闭合(扣带组)

3.png

  图 3 A 为后巩膜葡萄肿黄斑脱离无黄斑裂孔患者术前 OCT;B 为同一只眼黄斑扣带术后 1 周 OCT ,黄斑脱离部分恢复;C 为同一只眼术后 6 周 OCT 显示黄斑脱离完全复位(扣带组)

4.png

  图 4 A 为后巩膜葡萄肿黄斑劈裂且无黄斑裂孔患者眼术前 OCT;B 为同一只眼术后 8 周 OCT ,黄斑劈裂完全恢复,黄斑、脉络膜以及巩膜扣带处变平(扣带组)

5.png

  图 5 A 为后巩膜葡萄肿黄斑劈裂合并脱离且无黄斑裂孔患者术前 OCT;B 为同一只眼术后 12 周 OCT ,黄斑劈裂以及脱离完全恢复,黄斑、脉络膜以及巩膜扣带处变平(扣带组)

6.png

  图 6 A 为后巩膜葡萄肿黄斑脱离合并裂孔患者眼术前 OCT,视网膜前膜表现为切向牵引力;B 为同一只眼术后 8 周 OCT 显示黄斑劈裂以及脱离几乎完全恢复,黄斑、脉络膜以及巩膜扣带处变平,视网膜前膜仍表现为切向牵引力(扣带组)

8.png

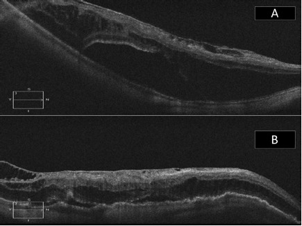
  图 7 A 为后巩膜葡萄肿黄斑脱离合并裂孔患者术前 OCT,视网膜前膜表现为中心凹外的切向牵引力;B 为同一只眼术后 2 年,视网膜 - 脉络膜 - 巩膜在扣带处完全变平,黄斑脱离恢复且无切向牵引力(扣带组)

7.png

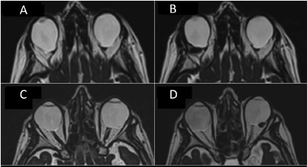
  图 8 A 为眼眶 T2 TSE 轴 MRI,双眼球后部黄斑及乳突葡萄肿畸形;B 为同一只眼扣带术后 1 月 MRI,右眼球后壁变平;C 为另一患者眼眶 T2 TSE 轴 MRI,双眼球后部黄斑及乳突葡萄肿畸形,从底部观察到左眼有一黄斑脱离;D 同图 C 为同一只眼,扣带术后 1 月 MRI,左眼眼球后壁扣带处轻微突起。

  研究表明,考虑到玻璃体切除术可能的并发症以及技术难度,黄斑扣带术可作为近视性牵拉性黄斑病变的首选治疗。玻璃体切除术仅用于那些切向牵引的病例。

(来源:丁香园) (责编:cnophol)

发表评论】【加入收藏】【告诉好友】【打印此文】【关闭窗口
  • 下一条信息: 没有了
  • 更多关于(治疗,高度近视后巩膜葡萄肿,首选,L 型黄斑扣带术)的信息
      热门图文

    不用整形!眼距过宽or过

    2016想要360°无死角,

    眼袋整形的是是非非

    自然好气色妆容
      健康新看点
      健康多视点
    ad推广
      图话健康
    点击申请
    点击申请点击申请点击申请点击申请点击申请点击申请点击申请点击申请点击申请
    39健康网眼病新浪福建健康21世纪药店网医脉通眼科新浪厦门健康合肥爱尔眼科一心医药集团重庆桐君阁中国近视网39五官科
    爱尔英智眼科康华眼科网久久眼科网阿里医药眼科网山水画泉州新视力眼科武汉普瑞眼科眼科疾病点击申请点击申请

    Copyright © 2007 中华眼科在线 网站备案序列号: 京ICP备08009675号
    本网站由武汉五景药业主办