精彩推荐:青光眼 白内障 近视 远视 散光 斜视弱视 角膜溃疡 角膜炎 沙眼 眼外伤 更多疾病
大众频道
专业频道
时尚频道
互动频道
疾 病 | 保 健 | 爱眼动态 | 名医名院
知 识 | 美 食 | 自检自测 | 爱眼纪事
资 讯 | 临 床 | 学 术 | 文 献
图 谱 | 医 患 | 继 教 |
五官之美 | 整 形 | 美 容
眼镜一族 | 妆 容 | 图 库
眼科在线 | 预留位置
眼科知道 | 在线咨询
  当前位置:当前位置: 中华眼科在线 → 医学频道 → 临床药学 → 临床研究 → 正文 切换到繁體中文 用户登录 新用户注册
Thygeson 浅层点状角膜炎救星:他克莫司

http://www.cnophol.com 2015-10-8 10:03:52 中华眼科在线

  Thygeson 浅层点状角膜炎(Thygeson SPK)是 Phillip Thygeson 于 1950 年首次提出是一种慢性病,双边点状上皮性角膜炎,随着病情加重和缓解可持续很长时间(几个月到几年),主要症状是畏光、流泪、刺激,患者一般都有良好的视野。裂隙灯检查可见局灶性上皮性角膜炎,形状可变,颜色主要为灰白色。病变倾向于累及角膜中心,没有结膜关联或间质炎症。

  该疾病的治疗难点在于全身和局部使用抗生素、磺胺类药和去除角膜上皮等治疗均无效,外用类固醇会发生严重的反应。

  既往多个研究表明 Thygeson SPK 是慢性角膜炎症从而能导致角膜瘢痕,因此治疗措施不仅是为了患者的舒适度和暂时的视觉改善,更应该降低发生角膜瘢痕的风险。

  近期 Maria 教授等在 American Journal of Ophthalmology 发表的关于 Thygeson 浅层点状角膜炎治疗的回顾性病例研究表明他克莫司治疗 Thygeson 浅层点状角膜炎有效,患者对该药物具有良好的耐受性,没有明显的局部或全身性副作用。

 

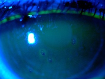
  图:Thygeson 浅层点状角膜炎患者眼睛的荧光染色。

  本研究针对 14 例 Thygeson SPK 患者(9 女,年龄范围 9-65 岁)进行回顾性分析。基于病史和临床检查得出诊断。患者于下穹窿部局部使用 0.03% 他克莫司眼膏,每日两次,持续 2 周,以后每晚一次。治疗 1 个月后,对临床症状和体征进行评估。伴随疾病的改善,药物逐渐减量。主要观察指标包括治疗效果和副作用。

  研究的患者均为双侧发病(平均持续时间 6 年)。其中除了 2 位药物使用不规律外,均在药物的使用过程中获得视力(VA)改善,症状和体征的减轻。治疗前 28.57% 患者的 VA 在 0.4 和 0.67 之间,治疗后 VA 达 0.8 或 1.0。试图停药时会导致疾病复发,因此治疗不只是在研究期间的治疗。目前尚无报道称其具有显著的局部副作用。

  研究表明,0.03% 他克莫司眼膏可连续使用很长一段时间来控制 Thygeson SPK,病人对药物具有良好的耐受性,没有明显的局部或全身性副作用。但在平均 6 年的随访中,治疗可好转却未能达到治愈。

  外用免疫调节剂,如环孢素 A 和他克莫司似乎是目前相对合理的治疗方法,局部使用这两种药物,已经是包括 Thygeson SPK 在内多种慢性眼表疾病的一种常见的替代治疗。

(来源:丁香园) (责编:cnophol)

发表评论】【加入收藏】【告诉好友】【打印此文】【关闭窗口
  • 下一条信息:
  • 更多关于(Thygeson ,浅层点状角膜炎,救星,他克莫司)的信息
    没有相关信息
      热门图文

    不用整形!眼距过宽or过

    2016想要360°无死角,

    眼袋整形的是是非非

    自然好气色妆容
      健康新看点
      健康多视点
    ad推广
      图话健康
    点击申请
    点击申请点击申请点击申请点击申请点击申请点击申请点击申请点击申请点击申请
    39健康网眼病新浪福建健康21世纪药店网医脉通眼科新浪厦门健康合肥爱尔眼科一心医药集团重庆桐君阁中国近视网39五官科
    爱尔英智眼科康华眼科网久久眼科网阿里医药眼科网山水画泉州新视力眼科武汉普瑞眼科眼科疾病点击申请点击申请

    Copyright © 2007 中华眼科在线 网站备案序列号: 京ICP备08009675号
    本网站由武汉五景药业主办