精彩推荐:青光眼 白内障 近视 远视 散光 斜视弱视 角膜溃疡 角膜炎 沙眼 眼外伤 更多疾病
大众频道
专业频道
时尚频道
互动频道
疾 病 | 保 健 | 爱眼动态 | 名医名院
知 识 | 美 食 | 自检自测 | 爱眼纪事
资 讯 | 临 床 | 学 术 | 文 献
图 谱 | 医 患 | 继 教 |
五官之美 | 整 形 | 美 容
眼镜一族 | 妆 容 | 图 库
眼科在线 | 预留位置
眼科知道 | 在线咨询
  当前位置:当前位置: 中华眼科在线 → 医学频道 → 临床医学 → 病例分析 → 正文 切换到繁體中文 用户登录 新用户注册
简单的眼球脱位巧妙复位一例

http://www.cnophol.com 2014-10-28 14:26:21 中华眼科在线

  沙特王国大学医学院眼科的奥斯曼教授 2014 年 7 月在 India Journal of Ophthalmology 分享一例简单巧妙复位的眼球脱位病例。

  眼球脱位极为罕见,但有永久视力丧失的风险。眼球脱位通常被分为自发性、自主性及外伤性。当眼球赤道部前突超出眼睑时则会发生眼球脱位:眼轮匝肌主动或被动收缩使前突的眼球进一步前移、眼球被卡在眼睑外。

  自发性眼球脱位为无意志支配下发生,可存在或不存在诱因。自主性眼球脱位则为可以随意支配的脱出眼球,而可不存在任何诱因。外伤性脱位则为非意志支配下由于外伤作用力发生的脱位。

  沿眶内侧壁放入长条器械,如果眼球结构仍完整,为减少眼组织的缺血情况,需要即刻予以眼球复位。在此分享一例罕见的门把手所致外伤性眼球脱位病历,在局麻下仅用代马尔眼睑拉钩便将眼球复位。

  病历报告

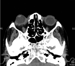
  一名 65 岁女性因右眼剧烈疼痛就诊于我院急诊,自述 3 小时前有右眼门把手外伤史。查体发现右眼视力为手动,上下眼睑均位于脱位的眼球后,眼压为 54mmHg,角膜水肿,前房较深,视网膜窥不甚清(图 1)。左眼检查无明显异常。急诊首诊医生诊断为球后出血,急予以头颅及眼眶 CT 扫描,CT 则仅发现眼球脱位、眼睑肿胀,并无颅内、眶内出血抑或眶壁骨折的征象(图 2),B 超检查并未发现视神经撕脱的证据。

  图 1 患者右眼大体图,右眼视力仅为手动

  图 2 眼眶 CT 无眶内出血及眼眶骨折

  右眼奥布卡因表麻,尝试使用棉签使眼球复位失败。随将代马尔眼睑拉钩置弯头于上睑与眼球间,提起拉钩使之高于眼球,眼球成功复位(图 3)。患者即刻感觉疼痛缓解,在未予以抗青光眼药物情况下眼压降为21mmHg,角膜水肿混浊也有所改善(图 4),视力提高为 0.25,眼底检查未见异常。

  图 3 代马尔眼睑拉钩提起上眼睑复位眼球

  图 4 眼球复位后大体图

  随访前 3 周仍存在上睑下垂,其后逐渐缓解,6 周时完全消失。患者外伤后 6 月时复查右眼视力为 0.33,眼压为 16mmHg。

  讨论

  自发性眼球脱位可出现的并发症包括暴露性角膜炎、角膜擦伤、视物不清、疼痛、眼睑痉挛及焦虑等。成年人较少发生门把手所致眼损伤,曾有报道儿童可出现严重的球周损伤,此时患者发生视神经撕脱的可能性增加。需行头颅、眼眶 CT 除外颅内出血、视交叉损伤及骨折等。多数眼球脱位患者以视力丧失告终,因此此种情况需要紧急处理。

  有关于处理方式的描述:让患者放松、眼轮匝肌放松,使得眼球复位操作更容易,一手用棉签滑出眼睑,并轻柔地将眼球复位。我们在此患者身上也试行此方法,结果失败告终,从而进一步使用代马尔眼睑拉钩。既往有3 例外伤后神经源性眼睑痉挛 3 个月后完全消失,情况与此病人十分相近,我们观察的案例视力较好、上睑下垂恢复也不错。

  结论

  尽管眼球脱位为钝性外伤的灾难性后果,有些患者可能视力结局较好。此案例中,早期干预眼球复位避免了视盘损伤的并发症,也是视力恢复较好的关键因素。临床可有多种操作方式,主要取决于医院设备配置及患者的配合度。

(来源:碑林医学网) (责编:cnophol)

发表评论】【加入收藏】【告诉好友】【打印此文】【关闭窗口
  • 下一条信息: 没有了
  • 更多关于(眼球脱位)的信息
    没有相关信息
      热门图文

    隐形眼镜护理小知识

    有了泡泡眼该怎么办?

    彩妆搭配墨镜有准则 乱

    女神自拍丽器你造吗 猫
      健康新看点
      健康多视点
    ad推广
      图话健康
    点击申请
    点击申请点击申请点击申请点击申请点击申请点击申请点击申请点击申请点击申请
    39健康网眼病新浪福建健康21世纪药店网医脉通眼科新浪厦门健康合肥爱尔眼科一心医药集团重庆桐君阁中国近视网39五官科
    爱尔英智眼科康华眼科网久久眼科网阿里医药眼科网山水画泉州新视力眼科武汉普瑞眼科眼科疾病点击申请点击申请

    Copyright © 2007 中华眼科在线 网站备案序列号: 京ICP备08009675号
    本网站由武汉五景药业主办