精彩推荐:青光眼 白内障 近视 远视 散光 斜视弱视 角膜溃疡 角膜炎 沙眼 眼外伤 更多疾病
大众频道
专业频道
时尚频道
互动频道
疾 病 | 保 健 | 爱眼动态 | 名医名院
知 识 | 美 食 | 自检自测 | 爱眼纪事
资 讯 | 临 床 | 学 术 | 文 献
图 谱 | 医 患 | 继 教 |
五官之美 | 整 形 | 美 容
眼镜一族 | 妆 容 | 图 库
眼科在线 | 预留位置
眼科知道 | 在线咨询
  当前位置:当前位置: 中华眼科在线 → 医学频道 → 临床医学 → 病例分析 → 正文 切换到繁體中文 用户登录 新用户注册
文身相关葡萄膜炎

http://www.cnophol.com 2014-6-10 11:59:28 中华眼科在线

  以下为一例与文身炎症相关的双眼中间葡萄膜炎、黄斑水肿病例,葡萄膜炎对全身免疫抑制剂反应良好,且其病程与文身炎症的转归相一致。

  病例

  一位49岁男性主因双眼视力下降、眼前黑影飘动就诊,既往哮喘、银屑病及高血压病史,追问病史:有慢性咳嗽及文身红肿。

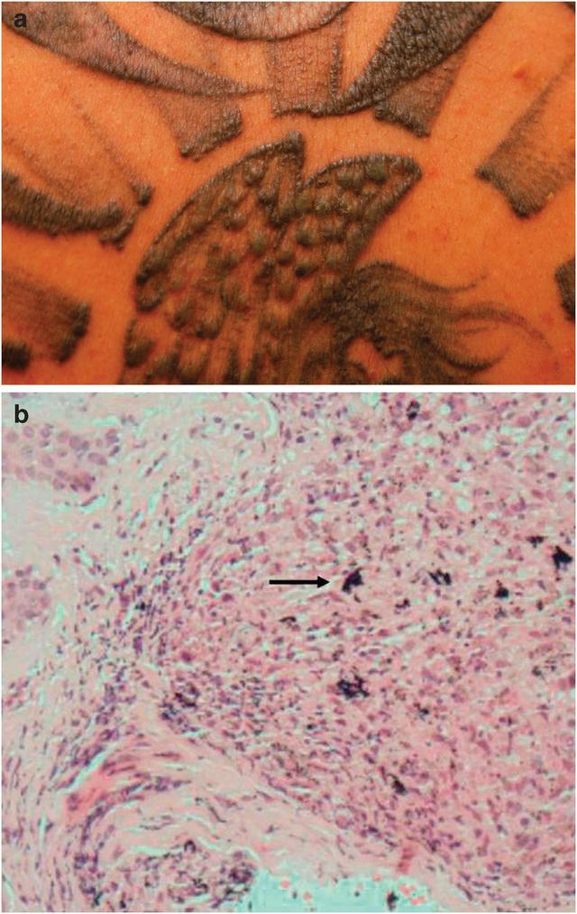
  右眼视力0.67(6/9),左眼视力0.33(6/18),查体发现:双眼严重扁平部葡萄膜炎、中周部多发穿凿样萎缩病变、双眼黄斑囊样水肿,文身区皮肤红肿、隆起。血清ACE、胸片、CT扫描等探究葡萄膜炎病因的检查指标均为阴性。文身组织的局部活检可见大量鲜红肉芽肿环绕文身色素颗粒。

  图a为肿胀、隆起的文身;b 为红肿文身皮肤活检组织切片:非干酪坏死样肉芽肿包绕文身色素颗粒(箭头所示),异物肉芽肿与结节病肉芽肿的组织表现非常相似,很难通过肉芽肿的组织学表现除外结节病。

  治疗:予以75mg强的松口服后葡萄膜炎、黄斑水肿消退,双眼视力改善至1.0(6/6),同时文身的肿胀程度较前减轻。随着4个月激素用量渐减,葡萄膜炎复发,遂予以硫唑嘌呤,全身予以强的松、硫唑嘌呤免疫抑制,葡萄膜炎得到控制,随访平稳至今。

  讨论

  文身相关肉芽肿可发生于结节病,但也可为对文身染料的延迟过敏反应。类似与文身相关的葡萄膜炎有3例报道,予以文身切除后葡萄膜炎均缓解,所有病例起始时都需要予以全身免疫抑制以控制葡萄膜炎。

  文身色素包裹体肉芽肿提示这些异物可激发炎症反应、激活淋巴细胞。病例中文身的发病周期及病程均与眼部炎症一致,有潜在结节病的可能,但没有其他临床、实验室或放射学特征,特别是除文身区外没有其他皮肤病变。文身色素是由重金属、染料、有机化合物组成的复杂混合物,其大量出现会导致身体免疫失调,该患者文身面积广泛,因此不适合文身切除。

  此案例阐述了葡萄膜炎的罕见病因,提醒我们即使没有结节病的证据,也可发生文身相关性葡萄膜炎。因此我们眼科医生对葡萄膜炎病人进行系统问诊,尤其是难以捉摸的葡萄膜炎时,应当询问是否存在文身红肿史。治疗则应按照非感染性葡萄膜炎的标准予以处理,文身的状态则有助于监测葡萄膜炎的治疗。

(来源:丁香园) (责编:xhhdm)

发表评论】【加入收藏】【告诉好友】【打印此文】【关闭窗口
  • 下一条信息: 没有了
  • 更多关于(文身,葡萄膜炎)的信息
      热门图文

    以色列彩妆大师在眼睛

    消除眼肿三穴位

    拉近眼距放大美眸开眼

    看刷型选睫毛膏 克服眼
      健康新看点
      健康多视点
    ad推广
      图话健康
    点击申请
    点击申请点击申请点击申请点击申请点击申请点击申请点击申请点击申请点击申请
    39健康网眼病新浪福建健康21世纪药店网医脉通眼科新浪厦门健康合肥爱尔眼科一心医药集团重庆桐君阁中国近视网39五官科
    爱尔英智眼科康华眼科网久久眼科网阿里医药眼科网山水画泉州新视力眼科武汉普瑞眼科眼科疾病点击申请点击申请

    Copyright © 2007 中华眼科在线 网站备案序列号: 京ICP备08009675号
    本网站由武汉五景药业主办