一名60岁尼日利亚男性于7个月前发现左眼肿物,肿物逐渐变大。1个月前患者发现前肿物明显增大变红并伴有疼痛,且左眼无法闭合。患者1年前曾于尼日利亚行眼表手术,其并不清楚手术原因及手术具体操作,推测可能为翼状胬肉手术。患者既往体健,未使用任何药物。患者为一名建筑工程经理,无吸烟、饮酒、违禁药物使用等不良嗜好。
查体:右眼最佳校正视力为1.0,左眼为0.8;双眼瞳孔圆形,光反射灵敏无瞳孔传入障碍;右眼眼压12mmHg,左眼13mmHg,双眼各方向运动正常;裂隙灯下右眼前节未见明显异常,图1为左眼大体像,左眼前房、虹膜、晶状体正常,散瞳后眼底检查未见明显异常。
图1 左眼大体像:较大、蕈状(菌状)固定实性肿物,滋养血管迂曲,肿物表面色素改变
诊断及处理:
A予以局部干扰素滴眼液点眼
B予以局部干扰素滴眼液点眼,然后予以肿物切除活检
C肿物切除活检
D建议摘除眼球
诊断
眼表鳞状细胞癌
下一步治疗
C肿物切除活检
讨论
图片1可见左眼较大、蕈状(菌状)实性肿物,滋养血管迂曲,肿物表面色素改变。临床检查及头颈CT均无转移迹象。检查时病变表现倾向于鳞状细胞癌,手术切除肿物及其周围3-4mm区域,术中避免手术器械接触肿物,即“不接触技术”。
病变侵入角膜达40%角膜厚度,因此予以γ射线照射角膜及角膜板层移植(角膜来自VisionGraft,国际组织库),羊膜植片覆盖裸露巩膜。标本病理检查发现肿物为中度分化鳞状细胞癌,肿瘤侵及手术切缘,人乳头瘤病毒(-)。

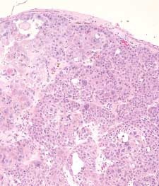
图2 标本切片HE染色(×100):鳞状细胞癌中、高度分化,可见棘层松解、细胞核明显,肿瘤细胞已经侵入深层组织。
术后患者板层植片上皮化延迟,术后1月予以羊膜覆盖眼表重建,并行结膜切缘冷冻。6周后整个角膜及结膜完成上皮化,并开始点用干扰素α-2b(IFN-α 2b)滴眼液局部化疗。
眼表鳞状细胞癌的全身转移较为罕见,但即使手术切缘未发现肿瘤细胞,局部复发率也可高达33%,因此手术切除肿物术后需要化疗。对眼微生物、免疫学学组医生的调查发现:使用局部化疗辅助手术切除渐渐成为医生选择的主流,甚至局部化疗可以单独作为眼表鳞状细胞性肿物的治疗措施。
使用的化疗药物:丝裂霉素C(MMC),5-氟尿嘧啶(5-FU)及IFN-α 2b。目前IFN-α 2b滴眼液,也可用于病灶局部注射。虽然MMC的疗效非常好,但其可以引起泪点泪道狭窄、角膜缘干细胞缺乏严重不良反应。局部用IFN-α 2b耐受性良好、毒性低、不良反应少,但其比MMC/5-FU贵3-4倍。良好的耐受及较少的毒副作用使IFN-α 2b成为此类病人局部化疗的良好选择。
最近一篇综述回顾既往资料,认为3种药物的效果相近,但目前尚无对上述药物的对比研究。对微小病变及亚临床病变,化疗可治疗整个眼表,这也是化疗优于手术的地方。当疾病复发或者较为广泛时,局部化疗有重要作用甚至可以作为首要的治疗措施。虽然目前有抗VEGF治疗及视黄酸等新型化疗药物,但这些药物的有效性需要进一步研究。
患者预后
治疗3月后,该患者良好未复发,左眼视力0.3,小孔镜下可以达到1.0。
图3 肿物切除、眼表重建术后3个月左眼像 |