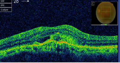
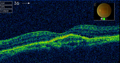
患者曹某,80岁,因双眼视力下降1年就诊。检查右眼视力0.3,左眼0.08,裂隙灯检查双眼晶体皮质混浊明显,散瞳后眼底检查见右眼黄斑区金箔样反光,左眼黄斑区中心凹反光消失。患者眼底荧光照影检查显示左眼黄斑区有血管荧光的渗漏,眼科光学相干断层扫描(OCT)检查显示右眼有黄斑前膜增生,左眼脉络膜新生血管膜(图片1)。诊断:左眼老年性黄斑变性(脉络膜新生血管),右眼黄斑前膜,双眼老年性白内障。患者于2013年3月行眼内注药(雷珠单抗)。3月后复诊左眼视力0.1,复查OCT示左眼视网膜新生血管膜消退(图片2),建议先行左眼白内障手术治疗。

图片1左眼:脉络膜新生血管膜

图片2右眼黄斑前膜增生
专家点评:老年性黄斑变性是老年人视力下降的常见原因之一,它是由于视网膜光感细胞代谢产物逐渐堆积形成玻璃膜疣,刺激脉络膜组织形成新生血管。本病如果不经治疗,最终新生血管膜形成瘢痕,导致视力重度永久性丧失。以往针对老年性黄斑变性(脉络膜新生血管)主要做光动力学疗法(PDT),PDT主要起到稳定视力的作用,很少能够提高视力。抗VEGF药物(如雷珠单抗)的问世是此类疾病治疗革命性的突破。由于雷珠单抗是通过眼内注射给药,而且价格昂贵,目前国内多数给药方案为每月一次,连续三个月,然后根据病情发展情况决定是否需要追加给药。该患者因经济因素仅一次给药治疗,但已能观察到明显的脉络膜新生血管消退。由于患者白内障比较明显,故推荐先行白内障手术,术后仍需定期观察决定后续治疗方式。 |