精彩推荐:青光眼 白内障 近视 远视 散光 斜视弱视 角膜溃疡 角膜炎 沙眼 眼外伤 更多疾病
大众频道
专业频道
时尚频道
互动频道
疾 病 | 保 健 | 爱眼动态 | 名医名院
知 识 | 美 食 | 自检自测 | 爱眼纪事
资 讯 | 临 床 | 学 术 | 文 献
图 谱 | 医 患 | 继 教 | 家 园
五官之美 | 整 形 | 美 容
眼镜一族 | 妆 容 | 图 库
眼科在线 | 预留位置
眼科知道 | 在线咨询
  当前位置:当前位置: 中华眼科在线 → 医学频道 → 眼科图谱 → 病理图谱 → 正文 切换到繁體中文 用户登录 新用户注册
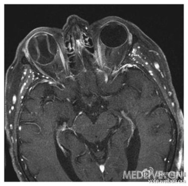
视网膜剥离

http://www.cnophol.com 2013-7-9 9:44:09 中华眼科在线

  磁共振成像显示右眼可见视网膜剥离,对称隆起异常。



(来源:医脉通网) (责编:xhhdm)

发表评论】【加入收藏】【告诉好友】【打印此文】【关闭窗口
  • 下一条信息: 没有了
  • 更多关于(视网膜剥离)的信息
      热门图文

    拯救眼部脂肪粒 干净素

    给眼睛一点咖啡因 避免

    眼部祛皱攻略 遮住岁月

    让眼睛风情无限 眼部整
      健康新看点
      健康多视点
    ad推广
      图话健康
    点击申请点击申请点击申请
    点击申请点击申请点击申请点击申请点击申请点击申请点击申请点击申请点击申请
    39健康网眼病新浪福建健康21世纪药店网医脉通眼科新浪厦门健康合肥爱尔眼科中国近视网39五官科爱尔英智眼科康华眼科网
    久久眼科网阿里医药眼科网山水画泉州新视力眼科武汉普瑞眼科眼科疾病点击申请点击申请点击申请点击申请

    Copyright © 2007 中华眼科在线 网站备案序列号: 京ICP备08009675号
    本网站由五景药业主办 北京金鼎盛世医学传媒机构负责运营 国家医学教育发展中心提供学术支持
    服务电话:010-63330565 服务邮箱: [email protected]