作者:黄文虎 沙炎 江睿 徐格致
作者单位:复旦大学附属眼耳鼻喉科医院
【病例资料】
初诊:
患者男,44岁。因左眼眼前黑影伴视力下降2周来我院就诊。

眼科检查:左眼视力0.1,矫正不能提高,眼前节正常,玻璃体色素样混浊,除下方外视网膜球形脱离,上方赤道区一约2个视盘直径(DD)大小的马蹄孔,视盘边界清楚,颜色红润。
B型超声检査显示,左眼视网膜全脱离1〜5 mm,伴各方位脉络膜脱离1〜2mm。
右眼视力及眼底检查正常。
诊断:左眼孔源性视网膜脱离。
局部麻醉下给予左眼玻璃体切割手术治疗。手术中重水压平视网膜,激光封闭上方裂孔,14%C3F8眼内填充,手术后保持俯卧位。
变化:
手术后第1天,左眼视力数指/眼前,角膜透明,前房少量血性渗出,晶状体透明,玻璃体腔4/5气 体,视网膜平伏,指测眼压正常。
手术后第2天,眼部情况同手术后第1天,患者无特殊主诉。
手术后给予硫酸阿托品眼膏涂眼,3次/d;
氧氟沙星滴眼液点眼,3次/d;
醋酸泼尼松龙滴眼液点眼,3次/d。
遂出院门诊随访。
手术后第6天,患者突感眼痛、剧烈头痛,来我院复诊。
眼科检查:角膜水肿,前房偏浅,瞳孔6mm,晶状体尚透明,其余结构不淸,眼压18mmHg (1mmHg=0. 133 kPa)。依目前情况,不能解释眼痛、头痛原因,考虑突发颅内病变不能除外,遂行头颅CT检査,CT检査显示,玻璃体腔内充满低密度积气,整个视神经鞘内、视交叉、鞍上池和蛛网膜下腔内也呈现出与眼内相同的低密度气体影(图1〜3)。
图1 玻璃体腔气体抽出手术前左眼CT横断面软组织窗像。玻璃体腔、视神经鞘内充满低密度气体 (白箭),视神经显示不淸,眼球前突。
图2 玻璃体腔气体抽出手术前左眼CT矢状面重建骨窗像。玻璃体腔、视神经鞘内、视交叉鞍上池内积气(白箭),视神经隐约显示。
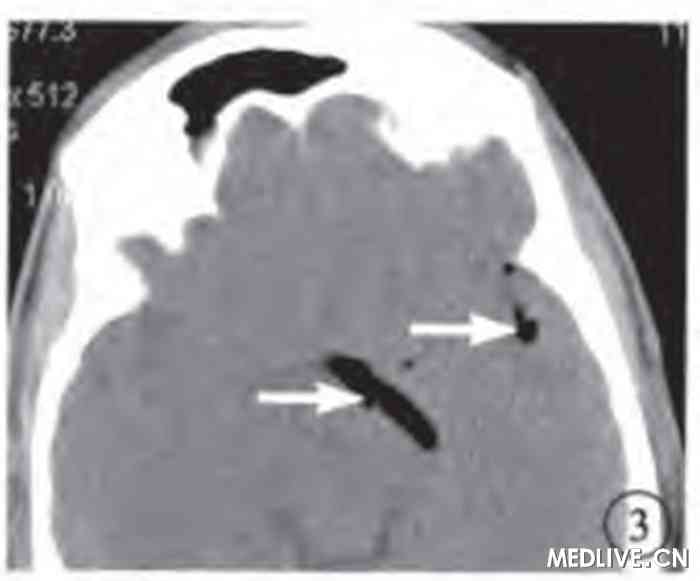
图3 玻璃体腔气体抽出手术前左眼CT横断面软组织窗像。蛛网膜下腔内散在积气(白箭)。
诊断:左眼玻璃体切割眼内C3F8填充手术后C3F8进人颅内。
为避免病情进一步发展,急诊行玻璃体腔气体抽出,前房成形。
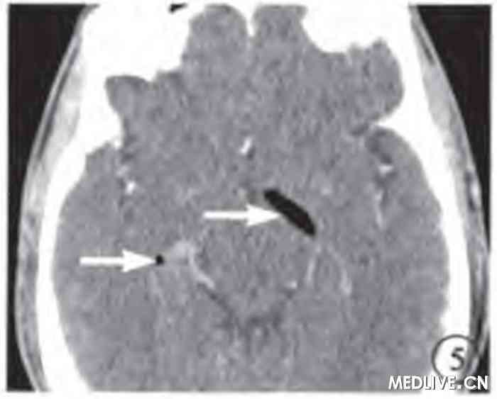
手术后第1天行CT检查显示,玻璃体腔、球后视神经鞘内积气消失,球壁增厚,脑内蛛网膜下腔仍存有少量积气(图4,5)。
图4 玻璃体腔气体抽出手术后左眼CT横断面软组织窗像。玻璃体腔、视神经鞘内积气消失,视神经显示,视神经、眼球壁轻度增厚(白箭)。
图5 玻璃体腔气体抽出手术后CT横断面软组织窗像。蛛网膜下腔内仍有少量积气(白箭)。
【讨论】
玻璃体腔内注入填充物惰性气体或硅油以顶压视网膜是玻璃体切割手术的常用手段,由填充物引起的视网膜新裂孔形成、高眼压、角膜水肿、白内障、视网膜下气体、眼内炎、玻璃体出血、视网膜下液移动、视网膜脱离范围扩大、硅油异位至颅内等并发症已有较多研究报道。但有关气体自眼内进入视神经鞘和颅内的罕见并发症目前尚未见报道。
本例患者左眼孔源性视网膜脱离,给予玻璃体切割手术治疗,并行14%C3F8眼内填充。手术后第6天,患者突感眼痛、剧烈头痛;眼科检查发现其角腠水肿,前房偏浅,瞳孔6mm,晶状体尚透明。行头颅CT检査显示,玻璃体腔内充满低密度积气,整个视神经鞘内、视交叉、鞍上池和蛛网膜下腔内也呈现出与眼内相同的低密度气体影,诊断左眼玻璃切割眼内C3F8填充手术后C3F8进人颅内成立。
研究发现,视盘先天异常可以导致玻璃体腔、蛛网膜下腔、视网膜下腔相沟通,在眼内压和脑脊液压力的波动下,气体或硅油可经视盘先天异常处异位至视网膜下、颅内蛛网膜下。据此我们分析本例患者气体进人颅内的原因可能是因为其存在先天性视盘小凹、视盘缺损或筛板薄弱等视盘发育异常。由于手术前并未察觉本例患者有视盘小凹存在,故而未行光相干断层扫描或荧光素眼底血管造影检査进一步排除。手术后眼内压的升髙是导致填充物经视神经鞘蛛网膜下腔进人颅内的直接动因。但本例患者复诊时眼压为 18 mm Hg,推测可能因气体较多或局部病理解剖因素导致突发高眼压,气体突破原已存在的眼内结构薄弱处筛板,经视神经鞘进人颅内,颅内气体刺激导致剧烈头痛,部分气体溢出眼内使得就诊时眼压已不高。为防止气体进一步异位,我们选择将眼内气体全部抽出,短期内复査视神经鞘内气体消失,而颅内气体也明显减少进而可完全吸收,避免了并发症的进一步加重。
本例患者的诊治经过提示,眼内填充气体或硅油的患者,手术后实发高眼压而眼痛、特别是头痛剧烈者,应除外填充物进人视神经鞘及颅内的可能,需及时行CT或核磁共振成像等影像学检查排除颅内的并发症。
原文已发表于《中华眼底病杂志》2012年3月第28卷第2期 |