精彩推荐:青光眼 白内障 近视 远视 散光 斜视弱视 角膜溃疡 角膜炎 沙眼 眼外伤 更多疾病
大众频道
专业频道
时尚频道
互动频道
疾 病 | 保 健 | 爱眼动态 | 名医名院
知 识 | 美 食 | 自检自测 | 爱眼纪事
资 讯 | 临 床 | 学 术 | 文 献
图 谱 | 医 患 | 继 教 | 家 园
五官之美 | 整 形 | 美 容
眼镜一族 | 妆 容 | 图 库
眼科在线 | 预留位置
眼科知道 | 在线咨询
  当前位置:当前位置: 中华眼科在线 → 医学频道 → 文献 → 正文 切换到繁體中文 用户登录 新用户注册
50岁女患者左眼流泪3月多 黄斑疣状新生物可疑

http://www.cnophol.com 2012-2-7 10:36:28 中华眼科在线

  作者:济南爱尔眼科医院 冯霞

  (一)病例资料

  患者女,50岁。因左眼流泪3个多月来我院就诊。患者3个月前左眼视力略有下降并伴有流泪,眼前偶有黑影飘动。

  2009年9月3日曾于外院行荧光素眼底血管造影(FFA)检查,左眼未发现异常。右眼葡萄膜炎病史30余年,双眼眼睑皮炎反复发作1年。有腹痛史,肠镜检查未见异常。无糖尿病、高血压、风湿关节炎病史,无射线、疫源疫水接触史和外伤史。

  眼科检查:视力:右眼0.02,不能矫正,左眼1.0。双眼眼睑皮肤充血、脱屑。结膜无充血。

  裂隙灯显微镜检查显示:右眼角膜透明,前房深浅正常,房水清,瞳孔欠圆,下方部分虹膜后粘连,对光反射迟钝,晶状体透光性下降,玻璃体稍混浊。裂隙灯显微镜加前置镜检查显示,右眼视盘色淡,下方视网膜呈“椒盐”状改变。左眼角膜透明,前房深浅正常,房水清,瞳孔圆,对光反射敏感,晶状体透明,玻璃体稍混浊。

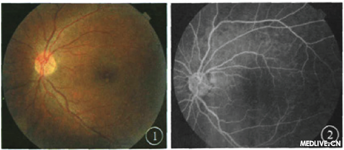
  裂隙灯显微镜加前置镜检查显示:左眼视盘颜色正常,黄斑中心凹稍下方有近圆形突出物,色泽灰黄,边界清楚,周围有伪影,其余未见异常(图1)。

  FFA检查显示:右眼视网膜大片萎缩灶呈透见荧光。左眼臂视网膜循环时间正常,动静脉充盈时间无明显延长,黄斑区疣状物无荧光渗漏,呈遮蔽荧光(图2)。

  

图1患者左眼彩色眼底像。黄斑中心凹稍下方可见灰黄色突出物.边界清楚,周围有伪影 图2患者左眼FFA像。黄斑区疣状物无荧光渗漏,呈遮蔽荧光

  图1患者左眼彩色眼底像。黄斑中心凹稍下方可见灰黄色突出物.边界清楚,周围有伪影

  图2患者左眼FFA像。黄斑区疣状物无荧光渗漏,呈遮蔽荧光

  B型超声检查显示:右眼玻璃体轻度混浊。左眼玻璃体内可探及点状,块状中高度回声光斑,球壁回声不光滑,眶内组织未见明显异常。提示左眼玻璃体混浊,玻璃体腔异常回声团(性质待定)(图3)。

  光相干断层扫描(OCT)检查显示:右眼黄斑中心凹变薄。左眼黄斑中心凹下方见一大小约510 μm×35lμm的突出的中低反射团,近垂直于黄斑平面,边界清楚。均质(图4)。

  

图3患者左眼B型超声像。疣状物呈块状中高度回声光斑

  图3患者左眼B型超声像。疣状物呈块状中高度回声光斑

  图4患者左眼OCT像。黄斑中心凹上方见一大小约510 μm×35lμm的突出的中低反射团,竖椭圆形,近垂直于黄斑平面,边界清楚,均质

  诊断:双眼眼睑皮炎、右眼陈旧性葡萄膜炎、左眼黄斑疣状新生物(性质待查)。

  未作任何处理,嘱患者半个月后复诊。复诊时视力、全身及辅助检查均未见明显变化,眼底检查结果同前。目前尚在进一步随访观察中。

  (二)病例讨论

  患者自觉左眼视力稍有下降,未发现全身相关系统病史。半年前于外院检查,左眼未见异常。由此排除先天异常的可能性;患者家境良好,生活状况较好,且病变未严重影响视力,大致排除寄生虫病的可能[1,2]。推论此疣状物为新生物,但性质难以确定。请本院及国内眼底病专家会诊均未有定论;查阅国内外文献后也未见类似报道[3-5]。故以黄斑疣状新生物(性质待查)作为诊断。因患者未有明显视力障碍,故未作处理,嘱咐患者随访观察中。

  【参考文献】

  [1]吴德正,文峰,金陈进,等.卵黄样黄斑营养不良同胞姐弟二例.中华眼底病杂志,2000,316:20-21.

  [2] 方严.黄斑部猪囊尾蚴病//聂爱光.现代黄斑疾病诊断治疗学.北京;北京医科大学,中国协和医科大学联合出版社,1997:247-248.

  [3]Shershevskaia SF.Faustova AM,Kungurova SM.Cysts and true and false ruptures of the retina in the macula lutea.0ftalmol Zh,1978,33:174-178.

  [4]Averbukh sL,Blagodatnaia GA.Strogal AS.Functional andstructural changes of the macula lutea as a cause of vision disorderin strabismus.Oftalmol Zh,1975,30:225-228.

  [5]Appelmans M,Fosse G,Vanmaele,et a1.A congenital cystoid lesion of the macula lutea.Bull Soc Belge Ophtalmol,1972,161:696-707.

  病例已发表于2011年3月第27卷第2期《中华眼底病杂志》

(来源:中华眼底病杂志) (责编:王艳丽)

发表评论】【加入收藏】【告诉好友】【打印此文】【关闭窗口
  • 下一条信息: 没有了
  • 更多关于(黄斑,眼流泪)的信息
      热门图文

    春节倍有面子 甜美名媛

    吸脂减肥有年龄限制吗

    妙用眼膜使其升值护明

    东方人隆鼻最重要的五
      健康新看点
      健康多视点
    ad推广
      图话健康
    点击申请点击申请点击申请点击申请点击申请点击申请点击申请点击申请
    华夏近视网39健康网眼病中国眼镜网新浪福建健康21世纪药店网千龙求医查疾病114个性导航眼科时讯中华网健康频道国家健康网
    我友健康眼科新闻中华碑林医学网整形美容英智眼科浙江眼科网中国眼网眼科医学网久久眼科网阿里医药眼科网

    Copyright © 2007 中华眼科在线 网站备案序列号: 京ICP备08009675号
    本网站由五景药业主办 北京金鼎盛世医学传媒机构负责运营 国家医学教育发展中心提供学术支持
    服务电话:010-63330565 服务邮箱: [email protected]