精彩推荐:青光眼 白内障 近视 远视 散光 斜视弱视 角膜溃疡 角膜炎 沙眼 眼外伤 更多疾病
大众频道
专业频道
时尚频道
互动频道
疾 病 | 保 健 | 爱眼动态 | 名医名院
知 识 | 美 食 | 自检自测 | 爱眼纪事
资 讯 | 临 床 | 学 术 | 文 献
图 谱 | 医 患 | 继 教 | 家 园
五官之美 | 整 形 | 美 容
眼镜一族 | 妆 容 | 图 库
眼科在线 | 预留位置
眼科知道 | 在线咨询
  当前位置:当前位置: 中华眼科在线 → 医学频道 → 眼科图谱 → 病理图谱 → 正文 切换到繁體中文 用户登录 新用户注册
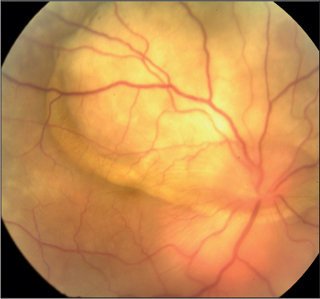
渗出性RD

http://www.cnophol.com 2012-1-9 10:27:59 中华眼科在线



(来源:医脉通网) (责编:王艳丽)

发表评论】【加入收藏】【告诉好友】【打印此文】【关闭窗口
  • 下一条信息: 没有了
  • 更多关于(渗出性RD)的信息
    没有相关信息
      热门图文

    东方人隆鼻最重要的五

    奢华浓妆妆出大牌 闪耀

    隆下巴术后多长时间可

    秋季隆鼻五大注意您了
      健康新看点
      健康多视点
    ad推广
      图话健康
    点击申请点击申请点击申请点击申请点击申请点击申请点击申请点击申请
    华夏近视网39健康网眼病中国眼镜网新浪福建健康21世纪药店网千龙求医查疾病114个性导航眼科时讯中华网健康频道国家健康网
    我友健康眼科新闻中华碑林医学网整形美容英智眼科浙江眼科网中国眼网眼科医学网久久眼科网阿里医药眼科网

    Copyright © 2007 中华眼科在线 网站备案序列号: 京ICP备08009675号
    本网站由五景药业主办 北京金鼎盛世医学传媒机构负责运营 国家医学教育发展中心提供学术支持
    服务电话:010-63330565 服务邮箱: [email protected]