精彩推荐:青光眼 白内障 近视 远视 散光 斜视弱视 角膜溃疡 角膜炎 沙眼 眼外伤 更多疾病
大众频道
专业频道
时尚频道
互动频道
疾 病 | 保 健 | 爱眼动态 | 名医名院
知 识 | 美 食 | 自检自测 | 爱眼纪事
资 讯 | 临 床 | 学 术 | 文 献
图 谱 | 医 患 | 继 教 | 家 园
五官之美 | 整 形 | 美 容
眼镜一族 | 妆 容 | 图 库
眼科在线 | 预留位置
眼科知道 | 在线咨询
  当前位置:当前位置: 中华眼科在线 → 医学频道 → 临床医学 → 病例分析 → 正文 切换到繁體中文 用户登录 新用户注册
首诊于眼科的皮质盲三例

http://www.cnophol.com 2011-12-16 9:37:28 中华眼科在线

  作者:首都医科大学附属北京同仁医院神经内科 田国红 张晓君

  皮质盲为枕叶纹状皮质损害导致的双眼视力丧失,临床具有其特殊的表现。患者常首诊眼科,如果不进行详细的神经眼科及影像检查往往贻误病情。现将3例容易与眼科疾病相混淆的典型皮质盲病例报道如下。

  例1

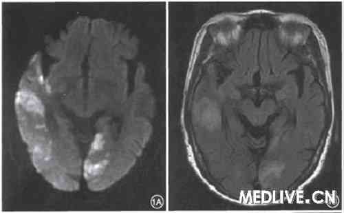
  患者女,80岁,因双眼视力下降,伴头晕、头痛1周,于2009年1月15日前来就诊。既往诊断“正常眼压青光眼”2年。发现高血压、糖尿病1年。发病后首诊于眼科,视力双眼0.1,杯盘比:右眼0.7,左眼0.6,24 h眼压监测最高17 mmHg(1 mmHg=0.133 kPa),经过降眼压对症治疗后视力无改善,并逐渐出现左侧肢体无力。转诊神经内科。神经系统检查:神清、记忆力、定向力差。双侧瞳孔小,直径约2 mm,对光反射存在。眼球各向活动正常,余颅神经检查未见异常。左侧肢体轻瘫试验阳性,双侧Babinski征阴性。头颅MRI显示双侧枕叶、右侧颞叶DWl高信号(图1),提示新鲜梗死灶。诊断为多发性脑梗死、皮质盲。

  

  图1皮质肓患者头颅MRI弥散加权轴位扫描。1A示双侧枕叶(左侧显著)、

  右侧颞叶片状高信号,lB示Flair加权相应部位亦为高信号,提示急性期脑梗死

  例2

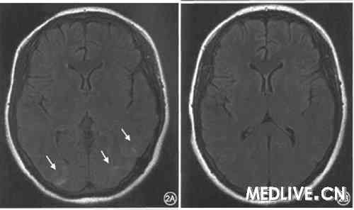
  患者女,23岁,孕41周行剖宫产(孕1产1)娩出正常男婴。术后2 d出现双眼视力下降,伴轻度头痛,无惊厥发作,血压最高170/100 mmHg,于2008年4月9日前来就诊。既往孕36周产检发现血压高,150~160/90~100mmHg,未予特殊治疗。体格检查:血压150/90 mmHg。视力左眼0.1,右眼0.2;眼压:左眼19 mmHg,右眼21 mmHg;眼底视乳头边界清,视网膜无出血渗出,动静脉比例2:3,杯盘比0.3。双侧瞳孔等大等圆。直径约3 mm,直接、间接对光反射存在,眼球各方向活动正常,未发现神经系统局灶体征。头颅MRI检查,双侧枕、顶叶、右侧颢叶异常信号(图2A)。入院后给予解痉,降压,纠正低蛋白血症治疗。1d后视力恢复正常。3 d后复查头颅MRI,上述病灶消失(图2B)。出院诊断:可逆性后部白质脑病综合征(reversible posterior leukoencephalopathy syndrome,RPLS)。

  

图2皮质盲患者头颅MRI扫描轴位T2 Flair加权,2A示入院时检查。 可见双侧枕叶及左侧颞叶T2长信号(箭头);2B示经解痉、降压治疗3 d后复查,可见上述病变消失

  图2皮质盲患者头颅MRI扫描轴位T2 Flair加权,2A示入院时检查。

  可见双侧枕叶及左侧颞叶T2长信号(箭头);2B示经解痉、降压治疗3 d后复查,可见上述病变消失

  例3

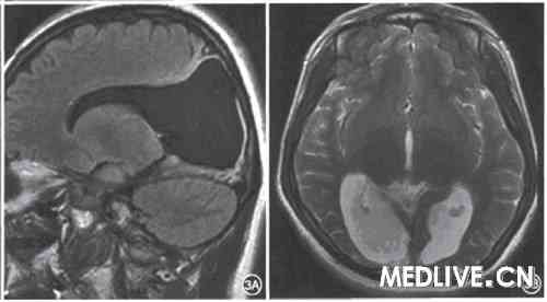
  患者女,23岁,自幼发现视力不佳,智力发育迟滞。于2009年5月22日前来就诊。否认产伤及头部外伤史。眼科检查:双眼矫正视力0.05,双侧视乳头萎缩。瞳孔等大等圆,直径约3 mm,对光反射灵敏。神经系统检查:神志清楚、言语流利,简易智能量表MMSE评分20。mtDNA3个原发位点突变11778、14484、3460均为阴性。转诊神经科行头颅MRI发现双侧枕叶皮质明显萎缩,侧脑室后角扩大,双侧视神经信号萎缩变细(图3)。

  

图3皮质盲患者头颅MRI检查,3A示矢状位Flair加权, 3B示轴位T2加权,均显示双侧枕叶皮质萎缩,侧脑室后角扩大

  图3皮质盲患者头颅MRI检查,3A示矢状位Flair加权,

  3B示轴位T2加权,均显示双侧枕叶皮质萎缩,侧脑室后角扩大

  

图3皮质盲患者头颅MRI检查, 3C示视神经Stir成像检查,显示双侧视神经萎缩变细

  图3皮质盲患者头颅MRI检查,

  3C示视神经Stir成像检查,显示双侧视神经萎缩变细

  讨论

  广义上讲,皮质盲可以是外侧膝状体以后的双侧视觉通路受损引起,必须具备的特征为:(1)双眼视力丧失;(2)瞳孔对光反射及调节反射正常;(3)眼科检查视网膜结构、功能正常;(4)眼外肌运动正常[1]。产生皮质盲的病因多种多样,椎-基底动脉血栓性疾病、中毒代谢性脑病、先天发育异常是最常见的病因。其他还包括枕叶肿瘤、外伤、遗传疾病等[2]。少见病因有后循环血管介入治疗中弹簧圈脱落。非眼部手术后出现皮质盲的报道以冠状动脉造影及搭桥术多见[3]。

  例1患者既往正常眼压青光眼引起的视力下降和头痛使得患者首诊眼科,直到出现神经系统局灶体征才引起注意。由于大脑枕、颢叶损伤后不易表现出肢体瘫痪的症状,容易被忽视。老年患者,存在脑血管病风险冈素,如高龄、高血压、冠心病、糖尿病、血脂异常、TIA病史,如果出现突发双眼视力丧失且眼科视网膜、前部视神经检查无显著异常的情况下.需要考虑急性脑血管病导致的皮质盲。头颅磁共振有助于明确诊断。

  可逆性后部白质脑病最早由Hinchey等[4]报道,其临床特征联征:头痛、癫痫发作、意识障碍、视觉异常,同时影像学伴双侧大脑后部白质异常;症状及影像学异常在治疗后多数可逆。其病因最多见为高血压脑病、子痫、肾功能衰竭及使用免疫抑制剂和细胞毒性药物后。例2患者前来就诊时鉴别诊断曾考虑产后静脉窦血栓形成或非器质性视力下降。但头颅MRI显示的可逆行病灶支持RPLS。在大量使用化疗药物、免疫抑制剂、器官移植后、高血压危象、癫痫持续状态的患者,如果出现急性的双眼视力下降,需要考虑RPLS的可能。

  儿童中脑损伤相关性皮质盲是视力障碍中最常见的病因[5]。例3患者自幼出现视力下降,眼科检查仅提示双侧视神经萎缩。鉴别诊断考虑遗传性视神经萎缩或Leber遗传性视神经病。但头颅MRI显示双侧枕叶萎缩,视神经萎缩属于继发性改变。

  基于临床上很多皮质盲的患者首诊眼科,当眼科检查无法解释双眼视力下降或视力障碍程度与现存眼部病变不相符合时,神经系统检查及头颅影像学可以提供重要诊断线索。

  参考文献

  [1]Levin LA.Topical diagnosis of chiasmal and retrochiasmal disorders.In:Miller NR.Newman NJ.eds.Walsh&Hoyt’s Clinical Neuro-ophthalmology,the Es∞ntials, Vol 1.Philadelphia:Lippincott Williams&Wilkins.2005:503-574.

  [2]Aldrich MS.Alessi AG.Beck RW.el a1.Cortical blindness:etiology,diagnosis,and prognosis.Ann Neurol, 1987.21:149?158.

  [3]Alp BN.Bozbuga N.Tuncer MA,et a1.Transient cortical blindness after coronary angiognphy.J Int Med Ros.2009,37:1246-1251.

  [4]Hinchey J,Chaves C, Appigani B, et a1.A revemible posterior leukoencephalopathy syndrome.N En J Med,1996,334:494-500.

  [5]J Hoyt CS.Brain injury and the eye.Eye(lond),2007.21:1285-1289.

(来源:医脉通网) (责编:王艳丽)

发表评论】【加入收藏】【告诉好友】【打印此文】【关闭窗口
  • 下一条信息: 没有了
  • 更多关于(眼科,皮质盲)的信息
      热门图文

    双眼皮手术后多久可化

    云想衣裳花想容 那你想

    隆下巴补救短小下巴使

    你有没有让你的隐形眼
      健康新看点
      健康多视点
    ad推广
      图话健康
    点击申请点击申请点击申请点击申请点击申请点击申请点击申请点击申请
    华夏近视网39健康网眼病中国眼镜网新浪福建健康21世纪药店网千龙求医查疾病114个性导航眼科时讯中华网健康频道国家健康网
    我友健康眼科新闻中华碑林医学网整形美容英智眼科浙江眼科网中国眼网眼科医学网久久眼科网阿里医药眼科网

    Copyright © 2007 中华眼科在线 网站备案序列号: 京ICP备08009675号
    本网站由五景药业主办 北京金鼎盛世医学传媒机构负责运营 国家医学教育发展中心提供学术支持
    服务电话:010-63330565 服务邮箱: [email protected]