精彩推荐:
青光眼
白内障
近视
远视
散光
斜视弱视
角膜溃疡
角膜炎
沙眼
眼外伤
更多疾病
大众频道
专业频道
时尚频道
互动频道
疾 病
|
保 健
|
爱眼动态
|
名医名院
知 识
|
美 食
|
自检自测
|
爱眼纪事
资 讯
|
临 床
|
学 术
|
文 献
图 谱
|
医 患
|
继 教
|
家 园
五官之美
|
整 形
|
美 容
眼镜一族
|
妆 容
|
图 库
眼科在线
|
预留位置
眼科知道
|
在线咨询
当前位置:当前位置:
中华眼科在线
→
医学频道
→
眼科图谱
→
病理图谱
→ 正文
切换到繁體中文
用户登录
新用户注册
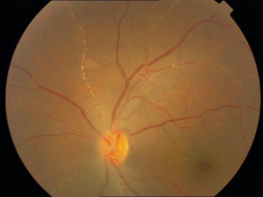
节段性动脉炎
http://www.cnophol.com 2010-3-10 10:39:30 中华眼科在线
(来源:互联网)(责编:zhanghui)
【
发表评论
】【
加入收藏
】【
告诉好友
】【
打印此文
】【
关闭窗口
】
下一条信息: 没有了
更多关于(
眼睛,眼科,节段性动脉炎,眼科图谱
)的信息
交感性眼炎(#1,3 血管造影片)
交感性眼炎(#1,2 血管造影片)
交感性眼炎(#1,1)
治疗白内障的中药研究概况
怎样选用治白内障中药
硬核白内障小切口摘除联合人工晶状体植入术
先天性核性白内障家系致病基因的克隆及在真
糖尿病白内障病人手术前后的护理
准分子激光原位角膜磨镶术后早期眩光对暗视
应用20MHz_B型超声对外伤性白内障后囊状况的
热门图文
双眼皮手术后不能吃什
五种果汁帮助你喝掉黑
节后九个妙招摘掉熊猫
卷睫毛的小技巧
健康新看点
健康多视点
ad推广
图话健康
子宫颈炎
非小细胞肺癌
中国眼镜网
视客眼镜网
英智眼科
浙江眼科网
中国眼网
久久眼科网
华夏健康网
健康863
阿里医药眼科网
首席医学网
近视眼治疗
寻医问药
全球医院网保健
医生在线眼科
中华临床医师杂志
平安健康网
卫生法制网
点击申请
Copyright © 2007 中华眼科在线 网站备案序列号: 京ICP备08009675号
本网站由
五景药业
主办
北京金鼎盛世医学传媒机构负责运营
国家医学教育发展中心提供学术支持
服务电话:010-63330565 服务邮箱:
[email protected]