精彩推荐:
青光眼
白内障
近视
远视
散光
斜视弱视
角膜溃疡
角膜炎
沙眼
眼外伤
更多疾病
大众频道
专业频道
时尚频道
互动频道
疾 病
|
保 健
|
爱眼动态
|
名医名院
知 识
|
美 食
|
自检自测
|
爱眼纪事
资 讯
|
临 床
|
学 术
|
文 献
图 谱
|
医 患
|
继 教
|
家 园
五官之美
|
整 形
|
美 容
眼镜一族
|
妆 容
|
图 库
眼科在线
|
预留位置
眼科知道
|
在线咨询
当前位置:当前位置:
中华眼科在线
→
医学频道
→
眼科图谱
→
病理图谱
→ 正文
切换到繁體中文
用户登录
新用户注册
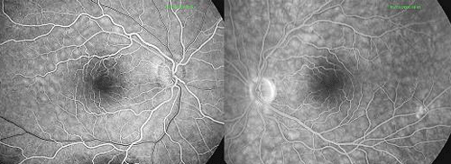
急性渗出性多形态卵黄样黄斑病(#1,2 血管造影片)
http://www.cnophol.com 2010-3-5 11:04:57 中华眼科在线
(来源:互联网)(责编:zhanghui)
【
发表评论
】【
加入收藏
】【
告诉好友
】【
打印此文
】【
关闭窗口
】
下一条信息: 没有了
更多关于(
眼睛,眼科,黄斑,黄样黄斑病
)的信息
急性渗出性多形态卵黄样黄斑病(#1,1)
极低体重早产婴儿视网膜形态学变异研究
黄斑星芒状渗出
石决明药理研究及眼科应用进展
血管痉挛因素在青光眼发病机制中的作用
吲哚青绿在年龄相关性黄斑变性的应用新进展
早产儿视网膜病变的治疗研究进展
继发于巨细胞动脉炎的全眼肌麻痹、视神经鞘
巴基斯坦海德拉巴地区连续性斜视17例手术治
两种方法研究大学生群体优势眼与左/右利手间
热门图文
双眼皮手术后不能吃什
五种果汁帮助你喝掉黑
节后九个妙招摘掉熊猫
卷睫毛的小技巧
健康新看点
健康多视点
ad推广
图话健康
子宫颈炎
非小细胞肺癌
中国眼镜网
英智眼科
浙江眼科网
中国眼网
久久眼科网
华夏健康网
健康863
阿里医药眼科网
首席医学网
近视眼治疗
寻医问药
全球医院网保健
医生在线眼科
中华临床医师杂志
平安健康网
卫生法制网
点击申请
点击申请
Copyright © 2007 中华眼科在线 网站备案序列号: 京ICP备08009675号
本网站由
五景药业
主办
北京金鼎盛世医学传媒机构负责运营
国家医学教育发展中心提供学术支持
服务电话:010-63330565 服务邮箱:
[email protected]