精彩推荐:
青光眼
白内障
近视
远视
散光
斜视弱视
角膜溃疡
角膜炎
沙眼
眼外伤
更多疾病
大众频道
专业频道
时尚频道
互动频道
疾 病
|
保 健
|
爱眼动态
|
名医名院
知 识
|
美 食
|
自检自测
|
爱眼纪事
资 讯
|
临 床
|
学 术
|
文 献
图 谱
|
医 患
|
继 教
|
家 园
五官之美
|
整 形
|
美 容
眼镜一族
|
妆 容
|
图 库
眼科在线
|
预留位置
眼科知道
|
在线咨询
当前位置:当前位置:
中华眼科在线
→
医学频道
→
眼科图谱
→
病理图谱
→ 正文
切换到繁體中文
用户登录
新用户注册
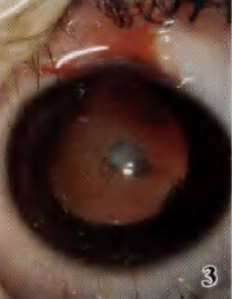
晶状体混浊
http://www.cnophol.com 2010-2-24 10:24:43 中华眼科在线
(来源:互联网)(责编:zhanghui)
【
发表评论
】【
加入收藏
】【
告诉好友
】【
打印此文
】【
关闭窗口
】
下一条信息: 没有了
更多关于(
眼科,眼睛,晶状体,晶状体混浊
)的信息
后囊膜向后凸出
患儿晶状体后极部混浊
单眼先天性白内障合并后球形晶状体二例
超声乳化术治疗高龄白内障300例临床分析
常见眼底疾病的计算机辅助三维超声诊断检查
雌激素对鼠视网膜缺血再灌注所致视网膜损伤
促红细胞生成素的神经保护功能与视网膜保护
大鼠视神经部分损伤后基因表达谱的基因芯片
大鼠尾芽胚视杯干细胞的分布与特征
代谢性酸中毒诱导新生大鼠视网膜新生血管的
热门图文
卷睫毛的小技巧
如何化出更迷人的双眼
双眼皮淤血了如何处理
宋慧乔教你眼部按摩击
健康新看点
健康多视点
ad推广
图话健康
子宫颈炎
非小细胞肺癌
中国眼镜网
英智眼科
浙江眼科网
中国眼网
久久眼科网
华夏健康网
健康863
阿里医药眼科网
首席医学网
近视眼治疗
寻医问药
全球医院网保健
医生在线眼科
中华临床医师杂志
平安健康网
卫生法制网
点击申请
点击申请
Copyright © 2007 中华眼科在线 网站备案序列号: 京ICP备08009675号
本网站由
五景药业
主办
北京金鼎盛世医学传媒机构负责运营
国家医学教育发展中心提供学术支持
服务电话:010-63330565 服务邮箱:
[email protected]