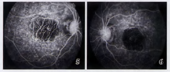
患者,男, 3 9 岁, 2 0 0 9 年1 月2 0 13 因自幼双眼视物不清, 视力下降1个月余来我院就诊。全身检查未见异常。眼科检查:视力右眼0.1 , 左眼0 . 0 6 , 双眼前节无明显异常, 眼底可见双眼色淡,边界清楚, 双眼黄斑区可见一直径约3 P D 大小的称性、椭圆对形、边界明显的萎缩灶, 其内部毛细血管萎缩( 图l ,2)。诊断:双眼中心性晕轮状视网膜脉络膜萎缩。眼底O C T检查:双眼黄斑中心凹加深, 中心凹处视网膜色素上皮( R P E ) /脉络膜层暴露、增厚、增宽, 反光增强, 形态不规则。提示R P E /脉络膜图样萎缩, 中心凹旁视网膜变薄( 图3 , 4 ) 。荧光素眼底血管造影( F F A ) 显示, 动脉期左眼动脉充盈, 黄斑区可见脉络膜毛细血管萎缩、消失, 暴露脉络膜大血管;静脉期左眼静脉充盈,可见靶形窗样透见荧光, 病灶内可见色素沉着;晚期随背景荧光消退,双眼黄斑部呈现不均匀透见荧光, 视盘呈相对高荧光(图5,6)。



图5 右眼F F A 动脉期可见黄斑区脉络膜毛细血管萎缩及脉络膜大血管暴露图6 左眼F F A 静脉期可见黄斑区靶形窗样缺损及病灶内色素沉着
讨论:中心性晕轮状视网膜脉络膜萎缩为常染色体显性遗传病, 以往多认为此病为脉络膜的原发性萎缩, 近年来大多学者认为原发病变为R P E 萎缩, 脉络膜毛细血管萎缩为继发性改变。本病多双眼对称发病, 极少数患者表现为单眼发病, 也有学者报告双眼病变不对称, 1 眼较对侧眼病变重。病变早期患者即出现视力逐渐减退, 中年时因视力明显下降而就诊。病变早期主要表现为黄斑区视网膜色素脱失、R P E 萎缩及色素沉着, 呈椒盐状外观, 随病变进展逐渐出现后极部对称性、圆形或卵圆形R P E 和脉络膜毛细血管萎缩缺失, 病变区内仅见粗大的脉络膜血管, 病灶边界清楚, 多局限于黄斑区或旁黄斑区, 病灶范围内可见锡箔样反光。因本病早期表现与干性年龄相关性黄斑变性相似, 故应注意二者的鉴别, 后期则应与卯黄样黄斑变性、S t a r g a r d t 病等相鉴别” J。本病为遗传病, 无有效的治疗方法。且患者视力预后很差, 造成中心视力的永久性损害。
参考文献
1 陈家彝. 中心性晕轮状视网膜脉络膜萎缩[ J ] . 中国实用眼科杂志,1 9 9 7 , 1 5 ( 1 1 ) :6 7 4 — 6 7 5 2 刘家琦,李风鸣. 实用眼科学[ M ] . 北京:人民卫生出版社,1 9 9 9 :5 2 6 — 5 2 8 |