精彩推荐:
青光眼
白内障
近视
远视
散光
斜视弱视
角膜溃疡
角膜炎
沙眼
眼外伤
更多疾病
大众频道
专业频道
时尚频道
互动频道
疾 病
|
保 健
|
爱眼动态
|
名医名院
知 识
|
美 食
|
自检自测
|
爱眼纪事
资 讯
|
临 床
|
学 术
|
文 献
图 谱
|
医 患
|
继 教
|
家 园
五官之美
|
整 形
|
美 容
眼镜一族
|
妆 容
|
图 库
眼科在线
|
预留位置
眼科知道
|
在线咨询
当前位置:
中华眼科在线
>>
医学频道
>>
眼科图谱
>>
病理图谱
切换到繁體中文
用户登录
新用户注册
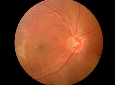
视盘血管炎
http://www.cnophol.com 2009-2-17 9:54:30 中华眼科在线
(来源:互联网)(责编:zhanghui)
下一条: 没有了
更多关于(
眼睛,中华眼科在线,视盘血管炎,眼底,眼科图谱
)的信息
脉络膜血管瘤眼底彩照
高度近视眼眼底造影图视乳头周围的脉络膜萎
中心性浆液性视网膜病变
视网膜激光术后眼底
高血压眼底黄斑区有遮荧光大面积渗出
糖尿病视网膜眼底(无灌注区、新生血管)
早产儿视网膜病变的早期筛查与随访治疗
早产儿视网膜病变发病情况初步研究
曲安奈德(TA)辅助的前部玻璃体切割手术
灵芝孢子油促进MNU诱导的大鼠视网膜光感受器
热门图文
倾力总结美貌后天养成
眼睛瞬间放大1倍的眼线
隐形眼镜别放卫生间
三大坏习惯会产生鱼尾
健康新看点
健康多视点
图话健康
Copyright © 2007 中华眼科在线 网站备案序列号: 京ICP备08009675号
本网站由
五景药业
主办
北京金鼎盛世医学传媒机构负责运营
国家医学教育发展中心提供学术支持
服务电话:010-63330565 服务邮箱:
[email protected]