精彩推荐:
青光眼
白内障
近视
远视
散光
斜视弱视
角膜溃疡
角膜炎
沙眼
眼外伤
更多疾病
大众频道
专业频道
时尚频道
互动频道
疾 病
|
保 健
|
爱眼动态
|
名医名院
知 识
|
美 食
|
自检自测
|
爱眼纪事
资 讯
|
临 床
|
学 术
|
文 献
图 谱
|
医 患
|
继 教
|
家 园
五官之美
|
整 形
|
美 容
眼镜一族
|
妆 容
|
图 库
眼科在线
|
预留位置
眼科知道
|
在线咨询
当前位置:
中华眼科在线
>>
医学频道
>>
眼科图谱
>>
病理图谱
切换到繁體中文
用户登录
新用户注册
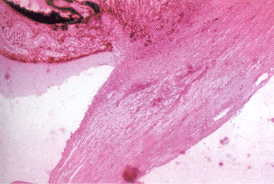
浆液性虹膜炎
http://www.cnophol.com 2008-12-1 14:36:19 中华眼科在线
前房内充满蛋白液。虹膜肥厚,其厚壁血管扩张充血,并失去原来色素小泡结构。后色素层也为条索状,是为萎缩现象。小梁网组织也被渗出液浸满而变模糊。深层集液管充血。
(来源:互联网)(责编:zhanghui)
下一条: 没有了
更多关于(
眼睛,中华眼科在线,眼科图谱,浆液性虹膜炎
)的信息
翼状胬肉(#4), 显微解剖图
带状角膜病(#5,2),显微解剖图
角巩膜环钻术操作不良
视神经脑膜瘤
虹膜切除术操作错误
角膜溃疡
内源性眼内炎
格罗诺(氏)斑(点)状角膜营养不良-1
玻璃体切除联合穿透性角膜移植术的护理配合
青光眼滤过术后浅前房98例临床分析
热门图文
Dior独推4款梦幻烟熏眼
神秘烟熏妆恋上黑色魅
缓解眼袋五个日常小良
成就冬日IN迷雾眼妆4大
健康新看点
健康多视点
图话健康
Copyright © 2007 中华眼科在线 网站备案序列号: 京ICP备08009675号
本网站由
五景药业
主办
北京金鼎盛世医学传媒机构负责运营
国家医学教育发展中心提供学术支持
服务电话:010-63330565 服务邮箱:
[email protected]