精彩推荐:青光眼 白内障 近视 远视 散光 斜视弱视 角膜溃疡 角膜炎 沙眼 眼外伤 更多疾病
大众频道
专业频道
时尚频道
互动频道
疾 病 | 保 健 | 爱眼动态 | 名医名院
知 识 | 美 食 | 自检自测 | 爱眼纪事
资 讯 | 临 床 | 学 术 | 文 献
图 谱 | 医 患 | 继 教 | 家 园
五官之美 | 整 形 | 美 容
眼镜一族 | 妆 容 | 图 库
眼科在线 | 预留位置
眼科知道 | 在线咨询
  当前位置: 中华眼科在线 >> 医学频道 >> 临床医学 >> 经验交流 切换到繁體中文 用户登录 新用户注册
糖尿病性黄斑水肿的分型及中药治疗

http://www.cnophol.com 2008-11-19 13:58:36 中华眼科在线

  3 讨论

  糖尿病性黄斑水肿是导致视力下降的主要因素之一,水肿通常来源于黄斑区个别微动脉瘤或 局部扩张的毛细血管,它在三面镜下表现为黄斑区视网膜增厚。荧光素眼底血管造影下表现 为局部或弥漫性荧光素渗漏,因此,荧光素眼底血管造影对其诊断具有较高的特异性,随 着荧光素眼底血管造影的广泛开展,对及早发现和治疗糖尿病性黄斑水肿更具有意义。

  我们结合以前的研究内容,并参考美国早期治疗糖尿病视网膜病变研究组对临床有意义的黄 斑水肿的定义,制订了诊断标准,主要通过荧光素眼底血管造影和裂隙灯显微镜及双目间接 检眼镜检查作为手段,这样不仅准确、客观,而且对于指导治疗判定疗效也有重要意义,此 标准同时可与原我国的糖尿病视网膜病变分期标准补充应用,这样更能准确的描述眼底改变 。

  糖尿病性黄斑水肿的发病机理极为复杂,主要是源于视网膜血管的变化,造影表现为荧光素 渗漏、毛细血管扩张,微动脉瘤、毛细血管闭塞,以及出血、渗出等改变。以上这些改变中医学则认为主要是血瘀所致,表现为黄斑区的血管扩张、渗漏、微动脉瘤致水肿等改变。治 疗以活血化瘀、益气养阴兼以利水为原则,中医学的这些认识与现代医学对本病微循环障 碍的认识是一致的,这构成了中西医结合治疗的基础。

  本观察糖尿病性黄斑水肿110只眼经中西医结合治疗总有效率为88.18%,有50.91 %的眼治疗后视力提高,表明中西医结合是治疗早期糖尿病性黄斑水肿较好的方法。方中桃 仁、丹参、桂枝、大黄活血化瘀;黄芪、生熟地、玄参益气养阴;泽泻、甘草利水渗湿;诸 药合用可达气阴得补,瘀血得除,水湿得利之功效,起到标本兼治之目的,使视网膜毛细血 管血流通畅,促进水肿的吸收,从而提高视力。病情越轻者效果越好,因此,应提倡对本病 密 切观察,早诊断、早治疗,有条件的医院可早行荧光素眼底血管造影检查,以防视力受到不 可逆性的损害。

  本观察显示,荧光素眼底血管造影对糖尿病性黄斑水肿的诊断特异性高、敏感、可靠,中西 医结合治疗有较好的效果,且方法简便,安全经济。

    

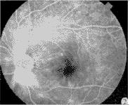
  图1 典型病例治疗前眼底普通像   图2 治疗前荧光素眼底血管造影像

图3治疗后黄斑水肿消失

  参考文献

  1 罗成仁.糖尿病视网膜病变.见:李凤鸣,主编.眼科全书(中册).北京:人民 卫生出版社,

  1996.2320~2329

  2 Early treatment diabetic retinopathy study reseach group.Treatment tec hniques

  and clinical guidelines for photocoaulation of diabetic macular edema:ea rly

  treatment diabetic retinopathy study report numberz.Ophthalmlogy,1987,94:761

  ~774

  3 崔凡明,侯 俭,王旭光,等.早期糖尿病视网膜病变与全身因素关系的探讨. 中华眼底病杂

  志,1995,11:83~85

  4 刘里生(综述),抗坏血酸对糖尿病的治疗作用.国外医学*内科分册, 1991,18:390~392

收稿:1999-02-05;修回:1999-06-08

上一页  [1] [2] [3] 

(来源:互联网)(责编:duzhanhui)

下一条: 没有了
更多关于(眼睛,中华眼科在线,眼科,糖尿病,黄斑水肿)的信息
  热门图文

熬夜族试试敷木瓜除眼

突发性眼袋试试冰敷

豹纹混搭成今冬彩妆造

金秋最诱人的野性图腾
  健康新看点
  健康多视点
  图话健康

Copyright © 2007 中华眼科在线 网站备案序列号: 京ICP备08009675号
本网站由五景药业主办 北京金鼎盛世医学传媒机构负责运营 国家医学教育发展中心提供学术支持
服务电话:010-63330565 服务邮箱: [email protected]