精彩推荐:青光眼 白内障 近视 远视 散光 斜视弱视 角膜溃疡 角膜炎 沙眼 眼外伤 更多疾病
大众频道
专业频道
时尚频道
互动频道
疾 病 | 保 健 | 爱眼动态 | 名医名院
知 识 | 美 食 | 自检自测 | 爱眼纪事
资 讯 | 临 床 | 学 术 | 文 献
图 谱 | 医 患 | 继 教 | 家 园
五官之美 | 整 形 | 美 容
眼镜一族 | 妆 容 | 图 库
眼科在线 | 预留位置
眼科知道 | 在线咨询
  当前位置: 中华眼科在线 >> 医学频道 >> 临床药学 >> 临床研究 切换到繁體中文 用户登录 新用户注册
益气养血活血中药对实验性血虚证大鼠视网膜病理改变的影响

http://www.cnophol.com 2008-11-14 14:45:05 中华眼科在线

  3 讨论

  补血汤治疗后各组大鼠血虚症状明显好转,以大剂量组、预防组尤为显著。预防组大鼠红细胞下降率较低,与造模其他3组比较差异有显著性(P<0.01);小剂量组在给药40d后红细胞下降率降低(P<0.01)。大剂量组在给药20d和40d,红细胞下降率均降低(P<0.01)。说明补血汤可促进红细胞生成,对血虚证有良好的防治作用。对照组在停止注射APH40d后红细胞数有所回升,但与用药组比较差异有显著性(P<0.01),以上结果表明对照组在未治疗情况下,红细胞下降率虽稍有好转,但不能完全恢复到正常状态,可能是经过长时期的红细胞膜氧化性损伤,红细胞成熟基本停滞〔2〕,但也有部分受损的或衰老的红细胞尚能恢复〔3〕的结果。

  结果显示,病程在108d时实验性贫血大鼠视网膜组织已有早中期病理改变。治疗40d后,大剂量组视网膜组织病理损害程度最轻,小剂量组次之,对照组最重。病理学认为,当细胞受到缺氧、中毒等各种损伤时,线粒体等其它细胞器发生非特异性扩张和裂解,严重时裂解为大泡状〔4〕。影响了细胞内三羧酸循环、呼吸链电子传递、氧化磷酸化和DNA的转录复制,使能量供应不足,DNA的转录复制功能降低,而导致整个细胞的功能低下。以上结果说明视网膜细胞超微结构的改变及其细胞功能下降与血虚程度有关,益气养血、活血化瘀的补血汤对血虚证视网膜超微结构的早、中期损伤有明显改善作用,因而促进了细胞功能的恢复、进而调整了眼血虚证的种种表征,使视网膜结构、功能得到改善。

  本病属血虚引起的眼底疾病,根据眼与气血密切相关理论,我们认为精血亏虚,目失所养是导致该病发生的主要内因,血运不畅,目络瘀阻是其重要的继发病因。无论是血虚精少、络道不充还是气虚血弱、鼓动无力、血行受阻均可导致瘀血内生。因而针对其病因病机以益气养血,活血通络,标本兼治为主要治和组方原则。黄芪、当归、枸杞子具有良好的益气补血作用〔5〕,有文献报道黄芪能促进造血干细胞增殖〔6〕和升高溶血性贫血小鼠红细胞数〔7〕当归、葛根具有扩张血管改善微循环、降低血液粘度、抑制红细胞聚集、防止血栓形成作用〔8〕,葛根还有增加冠状血流量、降低外周血管阻力、促进细胞代谢等作用〔9,10〕。另外通过临床研究证明,以葛根、黄芪、当归等组成复方治疗视网膜疾病能缩短视网膜循环时间、增进视力以及降低全血粘度、改善血液流变学〔11,12〕。因而从本实验结果可推测,由当归,黄芪、枸杞、葛根组成的补血汤也有以上多种作用。

  治疗结果说明,补血汤防治本病的作用机制可能不仅在于减轻血虚状态、减轻血液代谢紊乱、改善视网膜微循环,而且可能还有改善或恢复视网膜组织结构损伤的作用。

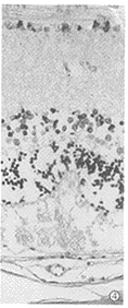
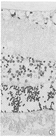
图1 正常组、预防组:视网膜组织结构正常,10层结构清楚,内核层及外核层细胞排列整齐 HE×200

图2 对照组:治疗20d视神经纤维层、内网层及视杆锥层明显疏松、水肿、结构紊乱,内、外核层细胞间明显水肿、疏松,细胞排列明显紊乱,视网膜明显水肿增厚 HE×200

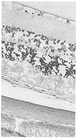
图3 对照组:治疗40d较20d稍好转,水肿稍减轻 HE×200

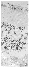
图4 小剂量组:治疗20d视神经纤维层疏松、水肿,内核层及外核层细胞之间明显疏松、排列紊乱水肿,视杆视锥层疏松、水肿较明显,视网膜中度增厚 HE×200

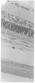
图5 小剂量组:40d内颗粒层疏松、水肿程度较20d减轻 HE×200

图6 大剂量组:治疗20d视锥杆层疏松、紊乱,外核层细胞之间疏松,排列较不整齐,视网膜水肿、增厚 HE×200

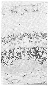
图7 大剂量组:治疗40d除外颗粒层与治疗20d相同外,其余均较治疗20d时明显好转 HE×200

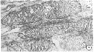
图8 正常组外核细胞排列整齐,间隙较密 ×8000

图9 内节线粒体形态结构正常、嵴清楚 ×36000

图10 对照组外节膜盘结构变形、扭曲、肿胀、空泡,呈不规则扩散 ×28000

图11 对照组线粒体肿胀,脱嵴,呈球状或空泡 ×36000

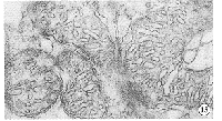
图12 小剂量组膜盘排列紊乱疏松,部分断裂 ×28000

图13 小剂量组内节线粒体肿胀变大变圆,呈球状,轻度脱嵴 ×36000

图14 大剂量组外节膜盘结构疏松,排列较紊乱 ×28000

 图15 大剂量组视杆锥细胞内节线粒体较肿胀,嵴较清楚 ×36000

  基金项目:国家自然科学基金资助项目(39770923)

  参考文献

  1,马吉献,张延铖,于纯智.西京固定液的应用观察[J].眼科新进展,1994,14(4):302-303.

  2,郁知非.现代血液病学·贫血及红细胞疾病分册[M].杭州:浙江科学技术出版社,1989.138.

  3,杜传书,许延康.蚕豆病[M].北京:人民卫生出版社,1987.127-129.

  4,董 郡.病理学[M].北京:人民卫生出版社,1996.26.

  5,邓文龙.中医方 剂的药理与应用[M].重庆:重庆出版社,1996.5-26.

  6,周霭祥,王天恩,杨经敏,等.益肾生血片为主治疗再生障碍性贫血的临床研究[J].中国中西医结合杂志,1998,18(10):603-606.

  7,李美芬.黄芪促进小鼠粒系造血[J].湖南医科大学学报,1991,16(2):135.

  8,翁维良,王 怡,马惠敏,等.20种活血药对血液粘稠度作用的比较观察[J].中医杂志,1984,25(2):69.

  9,王晓晴,傅 静.葛根的药理作用研究进展[J].北京中医药大学学报,1994,17(3):39-41.

  10,焦树德.中药大全[M].哈尔滨:黑龙江科学技术出版社,1988:162-164.

  11,谷万章.卜秀荣,王玉国,等.葛芪口服液治疗前部缺血性视神经病变疗效分析[J].中国中医眼科杂志,1996,6(4):198-200.

  12,李传课,彭清华,曾明葵,等.益气明目丸治疗脾胃气虚型视神经萎缩和视网膜色素变性疗效观察[J].中国中医眼科杂志,1997,7(1):14-18.

收稿日期:2000-06-12

上一页  [1] [2] 

(来源:互联网)(责编:duzhanhui)

下一条: 没有了
更多关于(眼睛,中华眼科在线,眼科,中药,血虚证,视网膜,病理)的信息
  热门图文

金秋最诱人的野性图腾

本季最流行金色眼影

应对任何场合的时尚眼

性感妖艳的周迅个性眼
  健康新看点
  健康多视点
  图话健康

Copyright © 2007 中华眼科在线 网站备案序列号: 京ICP备08009675号
本网站由五景药业主办 北京金鼎盛世医学传媒机构负责运营 国家医学教育发展中心提供学术支持
服务电话:010-63330565 服务邮箱: [email protected]