精彩推荐:青光眼 白内障 近视 远视 散光 斜视弱视 角膜溃疡 角膜炎 沙眼 眼外伤 更多疾病
大众频道
专业频道
时尚频道
互动频道
疾 病 | 保 健 | 爱眼动态 | 名医名院
知 识 | 美 食 | 自检自测 | 爱眼纪事
资 讯 | 临 床 | 学 术 | 文 献
图 谱 | 医 患 | 继 教 | 家 园
五官之美 | 整 形 | 美 容
眼镜一族 | 妆 容 | 图 库
眼科在线 | 预留位置
眼科知道 | 在线咨询
  当前位置: 中华眼科在线 >> 医学频道 >> 临床医学 >> 论文汇集 切换到繁體中文 用户登录 新用户注册
糖尿病大鼠视网膜和肾小球微血管病变对比研究

http://www.cnophol.com 2008-11-11 15:18:25 中华眼科在线

  结果

  一、生化指标

  实验组注射后24 h、2周及1个月时血糖明显升高, 尿糖呈强阳性(+++); 3及6个月除上述变化外,其血肌酐、尿素氮及尿蛋白量均明显升高, 提示此时肾功能已有损害(表1)。

表1 不同病程的糖尿病大鼠生化检测指标

组别 例数 血糖

  (x±s, g/L)

肌酐

  (x±s, g/L)

尿素氮

  (x±s, g/L)

24小时蛋白尿

  (x±s, g/L)

尿糖
实验组 7          
  2周  

260.0± 9.6

0.78±0.3

17.2±2.0

11.2± 0.5

+++
 1个月   397.0±84.4 0.71±0.3 18.4±2.6 13.1± 0.8 +++
 3个月   388.0±72.1 1.02±0.4* 24.4±4.6* 41.8± 8.5* +++
 6个月   374.2±99.6 2.60±0.4* 30.2±3.5* 49.3±13.0* +++
对照组 3          
  2周   106.3±16.8 0.52±0.2 15.5±0.6  9.9± 0.7 -
 1个月   110.3±18.4 0.75±0.2 16.8±2.1 11.8± 0.5 -
 3个月   125.0± 6.2 0.81±0.2 13.7±1.9 13.1± 0.8 -
 6个月   119.3±16.8 0.60±0.2 13.7±1.9 12.5± 2.3 -

  *与对照组相比,P<0.05

  二、电镜观察

  实验组:(1)2周时见视网膜周细胞水肿、肥厚,线粒体肿胀、嵴消失或结构紊乱。至病程6个月时,毛细血管壁明显增厚,管腔狭窄。内皮细胞有微绒毛形成。部分区域基底膜劈裂成数层。两层基底膜之间由细胞外基质和胶原纤维样结构充填。从3个月起RBM明显增厚。(2)病程2周时,糖尿病大鼠肾小球系膜基质有增多倾向。1个月时,系膜基质增多伴系膜细胞增多。3个月时GBM增厚,系膜区域明显增宽且有系膜插入现象。6个月时,上述病变逐渐加重且有结节状病变形成。

  对照组:(1)大鼠视网膜毛细血管壁可见内皮细胞、周细胞及基底膜。有周细胞的区域基底膜分为两层。(2)大鼠肾小球毛细血管由内皮细胞、基底膜和上皮细胞组成。毛细血管之间为系膜区域,包括系膜细胞和系膜基质。

  定量分析表明RBM和GBM均随病程发展而增厚,实验组与对照组比较,经t检验,差异有显著性(P<0.01)(表2)。

表2 两组不同时期糖尿病大鼠视网膜和肾小球毛细血管基底膜厚度的改变

组别 视网膜厚度(x±s,nm) 肾小球厚度(x±s,nm)
2周 1个月 3个月 6个月 2周 1个月 3个月 6个月
实验组 97.6± 9.6 97.6±17.6 248.3±14.2 318.6±23.4 157.4± 9.6 173.1±13.4 293.8±17.2 399.8±26.9
对照组 97.4±13.0 83.2±19.5 203.5±16.3 236.3±20.7 148.2±11.2 161.6±12.8 197.8±15.3 189.3±20.1
t值 0.024 1.096 4.109 5.571 1.232 1.287 8.806 13.867
P值 >0.05 >0.05 <0.01 <0.01 >0.05 >0.05 <0.01 <0.01

  三、RBM和GBM负电荷位点的改变

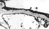
  实验组:大鼠随病程的发展至6个月时,无论是RBM还是GBM,其外疏松层的多聚亚胺染色颗粒数量均明显减少,即颗粒的间距显著加大,并可见颗粒丢失现象(图7,8)。实验组与对照组比较,差异有显著性(P<0.01)(表3)。

  图7 链脲佐菌素注射后6个月RBM,示RBM负电荷位点减少 ×25000图8 链脲佐菌素注射后6个月GBM,示GBM负电荷位点减少 ×20000

表3 两组不同时期糖尿病大鼠视网膜和肾小球基底膜外疏松层阴离子位点变化比较

组别 视网膜位点(x±s,个/1 000 nm) 肾小球位点(x±s,个/1 000 nm)
1个月 3个月 6个月 1个月 3个月 6个月
实验组 16.1±1.5 14.8±1.2 10.4±1.9 18.8±1.4 17.0±1.6 13.5±1.3
对照组 16.3±1.7 15.2±1.0 15.4±1.7 20.2±1.4 19.2±2.0 18.3±1.7
t值 0.175 0.550 4.135 1.449 1.671 4.322
P值 >0.05 >0.05 <0.01 >0.05 >0.05 <0.01

  对照组:大鼠RBM和GBM的外疏松层可见排列较规则的多聚亚胺染色颗粒大小较一致,多聚亚胺染色颗粒代表负电荷位点存在的区域,负电荷位点主要由硫酸类肝素多糖蛋白构成(图9,10)。与RBM相比,GBM上的多聚亚胺染色颗粒数量多、分布密度大。

  图9 对照组RBM负电荷位点分布情况 ×25000图10 对照组GBM负电荷位点分布情况 ×20000

上一页  [1] [2] [3] 下一页

(来源:互联网)(责编:duzhanhui)

下一条: 没有了
更多关于(眼睛,眼科,中华眼科在线,糖尿病,视网膜)的信息
  热门图文

本季最流行金色眼影

应对任何场合的时尚眼

性感妖艳的周迅个性眼

爱美就不要吝啬
  健康新看点
  健康多视点
  图话健康

Copyright © 2007 中华眼科在线 网站备案序列号: 京ICP备08009675号
本网站由五景药业主办 北京金鼎盛世医学传媒机构负责运营 国家医学教育发展中心提供学术支持
服务电话:010-63330565 服务邮箱: [email protected]