精彩推荐:青光眼 白内障 近视 远视 散光 斜视弱视 角膜溃疡 角膜炎 沙眼 眼外伤 更多疾病
大众频道
专业频道
时尚频道
互动频道
疾 病 | 保 健 | 爱眼动态 | 名医名院
知 识 | 美 食 | 自检自测 | 爱眼纪事
资 讯 | 临 床 | 学 术 | 文 献
图 谱 | 医 患 | 继 教 | 家 园
五官之美 | 整 形 | 美 容
眼镜一族 | 妆 容 | 图 库
眼科在线 | 预留位置
眼科知道 | 在线咨询
  当前位置: 中华眼科在线 >> 医学频道 >> 临床医学 >> 病例分析 切换到繁體中文 用户登录 新用户注册
转移灶引起的脉络膜损害

http://www.cnophol.com 2008-11-11 10:51:20 中华眼科在线


病程
   右眼进行了超声检查。显示脉络膜厚度为3mm。该区域有中至高度发射反射及高度血管供应。没有累及Subtenon对侧或巩膜上层没有累及。
   重新进行系统全身的检查。肝功及其他实验检查基本正常。PET扫描显示胸椎处损害,怀疑为恶性的。该病例会诊的肿瘤放疗学组推荐进行眼部的活检。
   通过气液交换,眼内激光及视网膜造孔术进行了平坦部玻璃体切割术。进行了细针抽吸活组织检查,视网膜重新附着在团块上。但是细针抽吸活组织的组织学检查没有发现细胞物质。
   至此,治疗要考虑的问题包括,团块未确定为阳性、患者眼部疼痛未间断,胸椎可能有恶性肿瘤。如果发现损害是恶性的,应该考虑剜除术,因为与姑息治疗相比,这更有助于确定治疗方案。此外,眼睛的组织检查也有助于诊断治疗胸椎的损害。
为了控制症状并进行诊断,决定进行剜除。
病理学
• 视网膜:透视无缺损
• 腺组织有坏死
• 涡(状)静脉及睫状神经有侵入
• 细胞角蛋白AE1/AE3,CK7细胞角蛋白,甲状腺转录蛋白(TTF-1)阳性(见图4-8及如下讨论)



图4:低倍镜眼球观:眶后切面。注意显微照片右半部大范围的脉络膜增厚。


图5:注意脉络膜上的腺样瘤。也注意脉络膜和视网膜之间的大面积的纤维化。

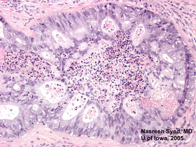
图6:百倍镜观腺瘤伴中心性坏死。肺部腺癌迁移。

图7:注意肿瘤穿过巩膜传播。肿瘤还侵入长后睫状神经。这可能引起患者严重的疼痛。


图8:抗细胞角蛋白抗体的免疫组化染色(AE1/AE3, CK7, CK20)。只有CK20是阴性的,如预料中(在一些胃癌和肾癌中标记是阳性的)。CK7为阳性的且为肺癌及乳腺癌的一个标志。AE1/AE3是阳性的。这是上皮性肿瘤的一个标志。TTF-1染色是阳性的,与甲状腺转录蛋白相对应。在一些肺部和甲状腺瘤的染色正如预料中的是阳性的。

上一页  [1] [2] [3] 下一页

(来源:互联网)(责编:zhanghui)

下一条:
更多关于(眼睛,中华眼科在线,脉络膜,腺癌转移灶,眼部疼痛,视力)的信息
  热门图文

隐形眼镜别放卫生间

三大坏习惯会产生鱼尾

告别不完美眼形的眼妆

揭密09春夏流行的眼妆
  健康新看点
  健康多视点
  图话健康

Copyright © 2007 中华眼科在线 网站备案序列号: 京ICP备08009675号
本网站由五景药业主办 北京金鼎盛世医学传媒机构负责运营 国家医学教育发展中心提供学术支持
服务电话:010-63330565 服务邮箱: [email protected]