中华眼科杂志 1999年第1期第35卷 论 著
作者:李杨 王元申 徐亮 刘磊
单位:李杨 徐亮(100730 北京市眼科研究所);王元申(首都医科大学神经科学研究所);刘磊(北京同仁医院眼科)
关键词:视盘;细胞外基质
【摘要】 目的 用免疫组化法研究正常成人视乳头筛板细胞外基质的结构组成和分布。方法 用免疫过氧化酶法(ABC法)观察7例(14只眼)正常成人眼筛板中,Ⅳ型胶原蛋白、纤维连接蛋白(fibronectin,FN)和层连接蛋白(laminin,LN)的分布。结果 正常成人筛板中存在大量Ⅳ型胶原蛋白和层连接蛋白,纤维连接蛋白仅在血管处呈阳性染色,筛板中无阳性染色。结论 筛板是中枢神经系统的一种特殊组织, 由类似基底膜样物质组成,赋予筛板弹性和基底膜的机械稳定性。
The extracellular matrix of optic nerve head in normal human adult
LI Yang*, WANG Yuanshen, XU Liang, et al.
*Beijing Ophthalmic Institute, Beijing 100730
【Abstract】 Objective To demonstrate the macromolecular components of extracellular matrix of lamina cribrosa from young human donors.Methods Immunoperoxidase (ABC) staining method was used to investigate the distribution of collagen type IV, laminin and fibronectin in the lamina cribrosa of 7 pairs of normal human eyes.Results There was a large amount of collagen type IV and laminin in the cribrosa plates, but no positive staining of fibronectin in them. The positive staining of fibronectin only existed at the blood vessel region.Conclusion The lamina cribrosa contains a specialized extracellular matrix of the central nerve system made up of plates of material resembling basement membrane.
【Key words】 Optic disc Extracellular matrix
开角型青光眼是一种常见致盲眼病, 其临床表现主要为视乳头凹陷的进行性扩大和视野缺损的进行性发展。近年来的研究认为,视乳头筛板(lamina cribrosa)是青光眼视神经损害的原发部位。筛板由一系列结缔组织板(cribrosa plate)组成,这些结缔组织板排列在一起构成视神经穿出眼球的通道,其对视神经轴突有营养和支持作用。由于眼压增高对筛板造成的无论是缺血还是机械压力,均可影响轴突的代谢和传导,最终引起神经细胞的死亡。为了更好地了解开角型青光眼病程中,筛板扭曲的原因及筛板扭曲所引起的视神经损伤的机制,首先必须对筛板的结构包括其细胞外基质有足够的认识。
细胞外基质是由胶原、糖蛋白等大分子构成的复杂网状结构。不同的组织含有不同类型的胶原蛋白或糖蛋白,而表现其各自不同的理化性质。细胞外基质主要有两大类,一类为间质型,主要由Ⅰ、Ⅲ型胶原蛋白和纤维连接蛋白(fibronectin,FN)构成,如巩膜和角膜基质;另一类为基底膜型,主要由IV型胶原蛋白、层连接蛋白(laminin,LN)、纤维连接蛋白构成。
我们采用免疫过氧化酶法,对正常成年人视乳头筛板的细胞外基质的组分进行观察。以期为今后研究开角型青光眼视乳头筛板的细胞外基质病理改变奠定基础。
材料和方法
1.一般资料:正常青年男性(年龄在20~30岁)7例(14只眼),均来自同仁眼库。死后2~4小时,在球后2 mm处剪断视神经摘除眼球。
2.标本处理:沿视神经周围1 mm环形剪下视神经标本。置4%多聚甲醛(PFA)固定4小时。磷酸盐缓冲液(PBS)冲洗后,常规脱水、透明、石蜡包埋。连续切片,厚度为10 μm,切片常规脱蜡、下行水化。
3.免疫过氧化酶染色(ABC法):经上述过程后,将切片放入3%过氧化氢中10分钟,以抑制内源性过氧化物酶反应。蒸馏水冲洗后,将切片放入1%胰蛋白酶溶液中(37℃)3~4小时,进行抗原修复。切片按常规ABC法进行免疫过氧化酶染色。第一抗体分别为1∶50鼠抗人Ⅳ型胶原蛋白单克隆抗体、1∶100鼠抗人纤维连接蛋白单克隆抗体和1∶30兔抗人层连接蛋白多克隆抗体,以缓冲液代替第一抗体为阴性对照。第二抗体分别为兔抗鼠及羊抗兔抗体。实验中所用抗体、ABC试剂盒及胰蛋白酶均为美国Sigma公司产品。其余试剂为国产分析纯试剂。
结果
1.人Ⅳ型胶原蛋白免疫过氧化酶染色:正常视乳头筛板存在大量Ⅳ型胶原蛋白(图1,2)。纵切标本显示Ⅳ型胶原蛋白在筛板区呈板状、横向分布构成筛板的主体。横切面观察,IV型胶原蛋白形成一完好连续薄膜包绕筛板,高倍镜下观察在筛板核心存在细丝样阳性染色。神经束中无阳性染色。在视乳头筛板前区,只有血管处有阳性染色。在筛板后区,阳性染色物衬覆神经束,血管壁也存在阳性染色。视乳头中血管内皮基底膜作为Ⅳ型胶原蛋白阳性对照。巩膜部除血管外,无Ⅳ型胶原蛋白着染。
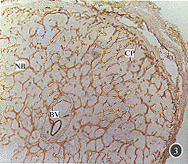
2.层连接蛋白(LN)的免疫过氧化酶阳性染色:其方式与Ⅳ型胶原蛋白相同(图3)。
3.纤维连接蛋白(FN)的免疫过氧化酶阳性染色:在视乳头筛板无阳性着染,但在视乳头的血管呈阳性染色(图4)。

图1 正常成人视乳头Ⅳ型胶原蛋白免疫过氧化酶染色,▲筛板前区,CP筛板,△筛板后区,S巩膜,BV血管,NB神经膜 纵切观察 ×6

图2 正常成人视乳头Ⅳ型胶原蛋白免疫过氧化酶染色 横切观察 ×100

图3 正常成人视乳头筛板层连接蛋白免疫过氧化酶染色 横切观察 ×6

图4 正常成人视乳头筛板纤维连接蛋白过氧化酶染色 纵切观察 ×12
[1] [2] 下一页 |