中华眼科杂志 1999年第2期第35卷 病例报告
作者:史翔宇 吴君卿
单位:100730 首都医科大学附属北京同仁医院眼科
患者男,60岁。1993年8月因左眼溢泪,无脓,曾在当地医院以“慢性泪囊炎”行左泪道探通术,术后溢泪症状好转。半个月后,左泪囊部皮肤红、肿、疼痛,未扪及肿物,诊断为急性泪囊炎,予以抗生素治疗症状好转。以后曾反复发作2次,均以抗生素治疗。1996年10月24日,左泪囊区皮肤红、肿,硬结,局部压痛、无热,来我院就诊,仍按急性泪囊炎予以热敷,局部湿敷雷夫诺尔及0.25%氯霉素眼液滴眼。20天后,左泪囊区呈高度肿胀隆起,皮肤呈紫红色、表面光滑、质地较硬。泪囊X线平片示粘膜肥厚,未见骨壁破坏,按急性泪囊炎行泪囊切开术排脓,术中仅见极少量脓液(经培养无细菌生长),继续给予抗生素治疗。术后1周,左泪囊区皮肤可见约2.0 cm×2.0 cm×2.5 cm肿物,呈分叶状、质硬,表面皮肤破溃,中央似有波动感,左耳前淋巴结未扪及,继续口服抗生素。1996年11月29日行局部活检,病理报告:泪囊乳头状瘤,有恶变。血常规检查未见异常。因左泪囊部肿物迅速增大,于1996年12月19日入院。眼部检查:左侧内眦部肿物呈桑椹状约3.5 cm×3.5 cm×3.2 cm,质硬,表面血痂、肿物与皮肤粘连、基底不活动;视力0.8,左眼球轻度前突,结膜水肿,眼球内转、下转受限。右眼正常。给予口服头孢氨苄,每次0.25 g,每日3次,局部滴0.25%氯霉素眼液。CT检查:左眼鼻侧巨大软组织块影,界清,密度欠均匀,眼球向颞上移位,球壁受压变形、内直肌受压向颞侧移位,病变累及筛窦。1周后肿物明显增大约4.5 cm×4.5 cm×3.9 cm(图1),于1996年12月29日行泪囊肿物探查术,术中摘除肿物为7.0 cm×6.0 cm×5.0 cm,质坚硬,与皮下组织、骨壁紧密粘连,病变累及筛窦,请鼻科同时行筛窦及上颌窦肿物清除术,术中冰冻切片诊断:恶性肿瘤,切缘未见瘤细胞。术后10天拆线,出院时除左眼向下转轻度受限外,余正常。术后未行其他治疗。随访23个月,未见肿瘤复发。病理检查:光镜下示移行的上皮呈柱状增生,并形成多个乳头状结构,其内可见结缔组织芯(图2)。高倍镜下示移行的上皮细胞层次较多,细胞自基底至表层缺乏正常的分化,极性丧失。胞核大小不等,染色质集聚,有丝分裂像活跃(图3)。病理诊断:泪囊乳头状移行上皮癌。
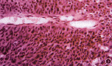
图1 左泪囊部肿物,桑椹状,表面血痂,与皮肤粘连,不活动图2 移行上皮呈柱状增生,形成多个乳头状结构 HE×40

图3 细胞缺乏正常的分化,胞核大,小不等,染色质集聚,有丝分裂像活跃 HE×40
讨论 原发于泪囊部肿瘤较为罕见,乳头状瘤多为良性,按生长方式乳头状瘤可分为外生型、内生型和混合型;按细胞形态又可分为鳞状细胞型、移行细胞型和混合型。这三种细胞类型均可表现为内生或外生型生长方式。恶性泪囊肿瘤按细胞形态分为鳞癌、移行上皮癌及瘤细胞腺癌等。其中移行上皮癌与内生型乳头状瘤关系密切。
泪囊肿瘤的平均患病年龄为55岁,患病高峰期为60~70岁。病程为1至数年,一般经过三个阶段。第一阶段表现为泪溢,有粘性分泌物,易误诊为慢性泪囊炎;第二阶段泪囊区可见肿块;第三阶段肿瘤向周围浸润。如果泪道出现血性分泌物,应高度怀疑为恶性肿瘤。由于泪囊肿瘤早期多为慢性泪囊炎症状,临床难以做出正确诊断而延误治疗,直至出现明显症状或通过手术获得明确的病理诊断。
本例为老年患者,病程3年,反复出现的泪囊区炎症,抗生素治疗无效,切开引流仅见极少脓液,培养无细菌生长,说明不是感染所引起的炎症。泪囊切开术刺激了肿瘤细胞生长,肿瘤迅速向眶内和副鼻窦发展,并挤压眼球移位。早期泪囊造影对鉴别泪囊炎和泪囊占位性病变有帮助。前者可显影,后者不显影。因此,对中老年患者的反复慢性泪囊炎症状,特别对那些伴有明显疼痛,抗炎治疗无效者,应注意肿瘤的可能性。有报道可行放射性同位素检查及内窥镜检查,但活检仍为简单有效的方法。诊断明确后应尽早手术,并将肿物彻底切除,术中应用冰冻切片监控检查基底和边缘是否完全切除干净。对肿瘤浸润生长累及眼眶内者,行单纯切除术不能完整切除者应行眶内容剜出术,术后行放射性治疗。其效果与肿瘤的组织类型及细胞分化程度有关。细胞分化程度低,其恶性度高,对放疗敏感。
早期诊断和治疗泪囊肿瘤预后是好的,5年生存率大于50%,但肿瘤确诊晚、组织类型差、发展快、浸润范围大、切除不彻底者则预后较差。
(收稿:1998-06-15 修回:1998-11-30) |