精彩推荐:青光眼 白内障 近视 远视 散光 斜视弱视 角膜溃疡 角膜炎 沙眼 眼外伤 更多疾病
大众频道
专业频道
时尚频道
互动频道
疾 病 | 保 健 | 爱眼动态 | 名医名院
知 识 | 美 食 | 自检自测 | 爱眼纪事
资 讯 | 临 床 | 学 术 | 文 献
图 谱 | 医 患 | 继 教 | 家 园
五官之美 | 整 形 | 美 容
眼镜一族 | 妆 容 | 图 库
眼科在线 | 预留位置
眼科知道 | 在线咨询
  当前位置: 中华眼科在线 >> 医学频道 >> 前沿动态 >> 研究进展 切换到繁體中文 用户登录 新用户注册
翼状胬肉中增殖细胞核抗原的免疫组化研究

http://www.cnophol.com 2008-11-6 14:33:35 中华眼科在线

  结 果

  1.PCNA 结果判定标准:光镜下观察,细胞核呈浅黄色或深棕色染色的细胞为PCNA阳性细胞;细胞浆或细胞膜呈浅黄色或深棕色的细胞为假染色以及无棕黄色染色的细胞均视为PCNA阴性细胞。光镜下每张切片随机计数500个细胞, 计算其阳性率,阳性率=(所计数的500个细胞中PCNA阳性细胞数÷500)×100%。

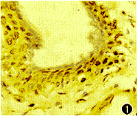
  2.PCNA结果(表1):Ⅰ组,PCNA阳性细胞中,成纤维细胞、 血管内皮细胞及上皮细胞均有不同程度的染色,阳性细胞呈随机分布(图1,2)。在成纤维细胞,血管内皮细胞增殖明显的标本中PCNA阳性率较高。对不同年龄、性别、病程、翼状胬肉分级及分型等进一步的统计学分析比较,结果表明 PCNA阳性率与性别、病程、翼状胬肉分级等无关,而与年龄及分型有关(表1)。

图1 Ⅰ组翼状胬肉上皮细胞PCNA表达 免疫组化×400

图2 Ⅰ组翼状胬肉上皮成纤维细胞及血管内皮细胞PCNA表达 免疫组化×400

  3.用药后改变:见表1及图3。 经方差分析,3组间比较,差异有显著性(F=12.43,P<0.01);Ⅰ与Ⅱ组比较,差异无显著性(q=1.30,P>0.05);Ⅰ与Ⅲ组比较,差异有显著性(q=6.66,P<0.01);Ⅱ与Ⅲ组比较,差异有显著性(q=5.11,P<0.01)。

图3 Ⅲ组翼状胬肉上皮细胞、成纤维细胞及血管内皮细胞PCNA表达明显减弱 免疫组化×400

表1 54例翼状胬肉患者标本PCNA表达的比较

组别 例数 PCNA阳性率

  (%)

t值 P值
Ⅰ组

18

11.53±3.62

 年龄
  <60岁 10 13.18±3.20

2.468

<0.05

  ≥60岁 8 9.47±3.12
 性别
  男 12 11.7±3.49 0.314

  >0.05

  女 6 11.1±3.97
 病程
  <10年 9 12.11±3.36

  0.675

  >0.05

  ≥10年 9 10.94±3.95
 分级
  <Ⅱ级 8 11.81±3.39

  0.291

  >0.05

  ≥Ⅱ级 10 11.30±3.94
 分型
  进行型 5 14.45±3.40

  2.415

  <0.05

  静止型 13 10.40±3.11
Ⅱ组 16 10.28±4.18   >0.05*
  进行型 6 13.11±3.43

  2.419

  <0.05

  静止型 10 8.58±3.74
Ⅲ组 20 5.59±3.82   <0.01*
  进行型 11 5.76±3.34

  0.228

  >0.05

  静止型 9 5.39±4.01

  *与Ⅰ组比较,q检验  4.翼状胬肉复发情况:平均随访观察19.1个月(6~32个月)。Ⅰ组有5例复发,Ⅱ组有1例复发,Ⅲ组未见复发者。Ⅰ与Ⅲ组比较,差异有显著性(χ2=6.40,P<0.05),Ⅱ与Ⅲ组比较,差异无显著性(χ2=1.29,P>0.05)。

上一页  [1] [2] [3] 下一页

(来源:互联网)(责编:duzhanhui)

下一条: 没有了
更多关于(中华眼科在线,眼睛,眼科,翼状胬肉,增殖细胞核抗原)的信息
  热门图文

应对任何场合的时尚眼

性感妖艳的周迅个性眼

爱美就不要吝啬

秋水明眸滋润心得
  健康新看点
  健康多视点
  图话健康

Copyright © 2007 中华眼科在线 网站备案序列号: 京ICP备08009675号
本网站由五景药业主办 北京金鼎盛世医学传媒机构负责运营 国家医学教育发展中心提供学术支持
服务电话:010-63330565 服务邮箱: [email protected]