精彩推荐:青光眼 白内障 近视 远视 散光 斜视弱视 角膜溃疡 角膜炎 沙眼 眼外伤 更多疾病
大众频道
专业频道
时尚频道
互动频道
疾 病 | 保 健 | 爱眼动态 | 名医名院
知 识 | 美 食 | 自检自测 | 爱眼纪事
资 讯 | 临 床 | 学 术 | 文 献
图 谱 | 医 患 | 继 教 | 家 园
五官之美 | 整 形 | 美 容
眼镜一族 | 妆 容 | 图 库
眼科在线 | 预留位置
眼科知道 | 在线咨询
  当前位置: 中华眼科在线 >> 医学频道 >> 临床医学 >> 论文汇集 切换到繁體中文 用户登录 新用户注册
兔视神经间接损伤病理学观察

http://www.cnophol.com 2008-11-5 15:09:37 中华眼科在线

   结果

  一、眼底镜检查

  从伤后7~30天有程度不同的视神经萎缩表现。

  二、光镜

  1.视神经纤维:G1组损伤后2天,管内段视神经部分区域呈现脱髓鞘改变,少数轴突裸露,束膜血管周围间质水肿(图1)。G2组病变与G1组相似,但程度较轻。经图像分析(每组计数6张切片,每张切片计数6个视野,光镜×200下观察,计算其平均百分比),结果见G1组水肿区所占视野百分比为1.90%,而G2组为0.60%(t=2.75,P<0.01)。损伤后7天,G1组管内段视神经脱髓鞘较2天时明显,脱髓鞘区更加疏松,呈现网状。部分轴突裸露,视神经软膜有少量单核及淋巴细胞浸润。G2组病变与G1组相似,程度亦较轻。水肿区经图像分析所占视野百分比G1组为0.92%,而G2组为0.46%(t=2.40,P<0.01)。视神经不同段脱髓鞘改变不同,眶内段较颅内段更严重。损伤后30天,G1组在所有损伤视神经段髓鞘严重脱失,轴突裸露明显,未见水肿,部分髓鞘脱失区神经束膜纤维组织相对集中、增多。G2组病变与G1组相似。经图像分析计数轴突,G1组的非损伤眼为28 466个/mm2,相对应的损伤侧仅为14 733/mm2(F=72.46,P<0.01)。损伤后60天,G1组更多的神经纤维呈现脱髓鞘改变,轴突广泛裸露。神经束膜纤维组织更加集中、增多(图2)。G2组脱髓鞘改变较 G1组减轻,但无统计学意义。损伤后180天,G1组视神经纤维髓鞘脱失现象不明显,且见部分髓鞘再生,轴突周围被薄厚不均的髓鞘所包裹(图3)。G2组改变与G1组基本一致。新西兰兔视神经损伤后,各组伤眼视神经有髓纤维数值发生相应变化(表1),其中G1组、G2组与正常组比较差异均有显著性,但G1组与G2组组间差异无显著性。损伤60天时脱髓鞘现象最为严重,与其它时间比较差异均有显著或非常显著性。

图1 损伤 2 天,少部分区域脱髓鞘,血管周围间质水肿(黑箭头) Luxol坚固蓝-HE×200

图2 损伤60天,更多的神经纤维呈现脱髓鞘改变(黑箭头),神经束膜纤维组织更加集中、增多(白箭头) Luxol坚固蓝-HE×400

图3 损伤180天,神经纤维髓鞘再生,轴突周围被薄厚不均的髓鞘所包裹(黑箭头) Luxol坚固蓝-HE×400

表1 伤眼及对照眼视神经有髓

  神经纤维计数(±s,个/mm2)

损伤后

  天数(d)

对照眼 G1* G2*
2 28 966.7±

  6 048.7

25 016.7±

  7 585.4**

26 133.3±

  7 001.3**

14 28 116.7±

  6 221.4

17 550.0±

  1 466.6**

19 383.3±

  1 863.8**

30 28 466.7±

  6 057.6

14 733.3±

  2 856.3**

16 183.3±

  3 428.9**

60 28 783.3±

  6 089.5

 3 216.7±

  1 625.3***

 5 100.0±

  3 179.9***

180 28 850.0±

  5 781.3

14 237.0±

  1 233.9**

16 865.7±

  2 516.9**

  *与对照组比较,F=72.46,P<0.01 **组间比较,F=49.59,P<0.05 ***与其它时间比较,F=75.64,P<0.01

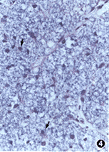
   2.视神经少突胶质细胞:正常的视神经少突胶质细胞均匀分布于轴突周围。视神经间接损伤后14天时,有少突胶质细胞的增生,伤后30天时,少突胶质细胞增多达到较高水平(图4)。

图4 损伤30天,少突胶质细胞增生达较高水平(黑箭头) Luxol坚固蓝-HE×400

  三、电镜

  正常视神经轴突内微丝、微管丰富,有线粒体。轴突外包裹着细板层致密的髓鞘。轴突与髓鞘间无空隙。 少突胶质细胞结构正常。

  损伤后7天,G1组轴突变稀疏,呈空泡状或网状。轴突与髓鞘间有空泡形成,髓鞘有部分向内、向外突起,髓鞘板层分裂(图5)。G2组轴突未见明显异常,髓鞘有轻度板层分裂(图6)。

图5 损伤7天,G1组轴突稀疏呈空泡状或网状与髓鞘间有空泡形成(黑箭头),髓鞘内突或外突并可见板层分裂(白箭头)×10 000

图6 损伤7天,G2组轴突大致正常,髓鞘有板层分裂(黑箭头) ×25 000

  损伤后30天,G1组部分轴突呈空泡状变性,退变形似蜂窝状。髓鞘与轴突间形成空泡,髓鞘向轴突内突起,部分髓鞘板层结构不清。除见少突胶质细胞退变(细胞器不清楚,核异染色质集聚成块,常染色质区稀疏呈空泡化)外,尚见许多增生的少突胶质细胞(图7)。

图7 损伤30天,增生的少突胶质细胞(黑箭头) ×8 000

上一页  [1] [2] [3] 下一页

(来源:互联网)(责编:duzhanhui)

下一条: 没有了
更多关于(眼睛,中华眼科在线,眼科,视神经,眼损伤)的信息
  热门图文

性感妖艳的周迅个性眼

爱美就不要吝啬

秋水明眸滋润心得

保你成为人气女王的8款
  健康新看点
  健康多视点
  图话健康

Copyright © 2007 中华眼科在线 网站备案序列号: 京ICP备08009675号
本网站由五景药业主办 北京金鼎盛世医学传媒机构负责运营 国家医学教育发展中心提供学术支持
服务电话:010-63330565 服务邮箱: [email protected]