|
结果
一、正常眼组织平片
正常角膜仅在角膜缘发现少量CD+ 3淋巴细胞(图1)、呈圆形的MHC-Ⅱ类抗原阳性细胞及少量可疑的巨噬细胞;正常虹膜上淋巴细胞及MHC-Ⅱ类抗原阳性细胞稍多,呈散在分布(图2),可见CD+ 3、CD+ 4、CD+ 8淋巴细胞,CD+ 4与CD+ 8淋巴细胞比例大致相当;可见少量巨噬细胞和树突状细胞。
二、碱烧伤后眼组织平片改变
1. 烧伤早期:(1)角膜:角膜缘的淋巴细胞较正常眼增多,以CD+ 3淋巴细胞为主(图3),可见少量的巨噬细胞及树突状细胞,后者染色较淡;MHC-Ⅱ类抗原阳性细胞增多,仍以圆形为主。在角膜中央未见上述细胞。(2)虹膜:淋巴细胞、MHC-Ⅱ类抗原阳性细胞较正常眼明显增多,淋巴细胞仍以CD+ 3为主,CD+ 4、CD+ 8淋巴细胞较少;巨噬细胞与树突状细胞染色加深,数量稍有增加,巨噬细胞以中等大小的圆形细胞为主。
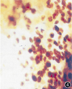
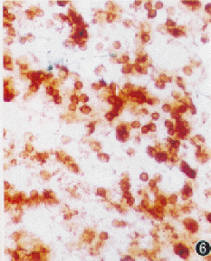
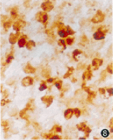
2.角膜溶解穿孔期:(1)角膜:淋巴细胞显著增多,在角膜缘及角膜周边部数量约为烧伤初期的10倍,在角膜溃疡及溶解区,亦可见少至中等量的淋巴细胞,其中以CD+ 3最多,其次为CD+ 4和CD+ 8淋巴细胞;角膜缘可见大量的巨噬细胞和树突状细胞,密集成堆,难以准确计数,用调焦的方法发现这些细胞分布于角膜各层,由角膜缘向角膜中央逐渐减少(图4);在角膜溶解穿孔附近及角膜缘,可见多量MHC-Ⅱ类抗原阳性细胞,其形态由烧伤初期的圆形变为多形性(图5)。(2)虹膜:可见大量的CD+ 3、CD+ 4及CD+ 8淋巴细胞(图6),CD+ 4淋巴细胞明显多于CD+ 8;巨噬细胞和树突状细胞在虹膜根部较多,树突状细胞的突起长而粗大且增多(图7);MHC-Ⅱ类抗原阳性细胞除数量显著增多外,形态也呈多样性,大小不一(图8)。
3.恢复期:除MHC-Ⅱ类抗原阳性细胞在角膜缘分布较正常眼增多外,角膜平片其它阳性细胞均逐渐减少;但在虹膜平片上,仍可见大量的CD+ 3、CD+ 4及少量的CD+ 8淋巴细胞,即使在烧伤后30 d,虹膜平片上淋巴细胞及MHC-Ⅱ类抗原阳性细胞仍显著多于正常对照组。
讨论
一、角膜碱烧伤溃疡溶解的机制
既往研究认为,角膜重度碱烧伤后出现的反复性角膜溃疡、溶解穿孔,其发生机理主要是碱烧伤后胶原酶对角膜胶原的不断消化,以及氧自由基对角膜细胞的毒性破坏。这两个因素都与多形核白细胞的浸润有关。角膜溶解穿孔时正是多形核白细胞浸润的高峰,与此同时淋巴细胞、浆细胞、巨噬细胞也增多,并出现体液免疫反应的高峰,因此有文献报道免疫机制可能参与了眼碱烧伤的病理过程[3]。但迄今为止,相关的研究很少。
二、眼组织平片免疫组织化学染色技术的优越性
我们采用眼组织平片免疫组织化学染色方法,首次观察了眼部碱烧伤后不同阶段T淋巴细胞亚群、巨噬细胞、树突状细胞、MHC-Ⅱ类抗原阳性细胞的动态变化。眼组织平片免疫组织化学染色技术是近年问世的一种研究方法[4],在对葡萄膜炎动物模型的研究中显示出其独特的优越性[1,2,4]。我们首次将该技术应用于眼碱烧伤的研究,发现组织平片较切片更容易观察阳性细胞的数量、分布以及形态学变化。碱烧伤初期,T淋巴细胞开始浸润,MHC-Ⅱ类抗原阳性细胞轻度增多。角膜溶解穿孔阶段,T淋巴细胞大量浸润,尤其在虹膜平片上可见较密集的淋巴细胞,在T淋巴细胞亚群内,CD+ 4明显多于CD+ 8;巨噬细胞、树突状细胞、MHC-Ⅱ类抗原阳性细胞大量出现并有形态学的改变。即使到碱烧伤晚期,在虹膜上依然可见这些细胞改变。
三、角膜碱烧伤的免疫反应表达
上述细胞的改变很难用一般炎性反应机制解释。众所周知,巨噬细胞是机体内重要的防御细胞,除了利用吞噬作用参与非特异性免疫反应外,还通过提呈抗原或分泌一些细胞活素发挥其特异性免疫调节作用。树突状细胞(在角膜主要为Langerhans细胞)与巨噬细胞有类似的作用,有作者观察到碱烧伤后Langerhans细胞在角膜缘明显增多,并有向中央移行的趋势[5]。MHC-Ⅱ类抗原表达于抗原递呈细胞,如巨噬细胞、树突状细胞、活化的T细胞、成熟的B细胞,在免疫应答及调节过程中起着重要的作用。Thiel等[6]在碱烧伤患者的角结膜中,发现MHC-Ⅱ类抗原的异常表达。正常情况下,角膜中央无MHC-Ⅱ类抗原阳性细胞[2],但在某些特殊情况下,角膜细胞可以表达MHC-Ⅱ类抗原[7]。这些异常表达MHC-Ⅱ类抗原的细胞,一方面可能受到MHC-Ⅱ限制的细胞毒性T淋巴细胞的攻击而受损伤,另一方面本身还可起到抗原提呈细胞的作用,将自身抗原提呈给辅助性T淋巴细胞,引起自身免疫反应,造成自身组织的损伤。
T淋巴细胞除了数量增多外,亚群的变化也极有意义,CD+ 4淋巴细胞(Th/Ti)和CD+ 8淋巴细胞(Ts/Tc)是T淋巴细胞中两个主要亚群,正常情况下处于平衡状态,在角膜溶解的组织中CD+ 4/CD+ 8比值增高[8]。本研究发现,在碱烧伤初期这两群细胞的数量无明显差别;随着病情的发展,在角膜溶解穿孔期,可见CD+ 4淋巴细胞较CD+ 8明显增多,在虹膜上的表现更为突出;即使到了碱烧伤的晚期这两群细胞的改变亦是如此。CD+ 4淋巴细胞的增多,说明免疫反应过强,并可能与自身免疫反应有关。
在临床上,眼部组织碱烧伤后的改变是个长期过程,除了角膜反复糜烂溃疡外,眼内葡萄膜炎亦久治不愈。在本研究中我们观察到,在角膜溃疡修复、大量新生血管生长的病变稳定阶段,虹膜平片上依然可见多量的各种阳性细胞,尤其是T淋巴细胞和MHC-Ⅱ类抗原阳性细胞。在另一组研究资料中,我们观察了视网膜和脉络膜组织平片,发现了类似改变。这提示眼组织碱烧伤后的慢性炎症亦与免疫反应有关,其造成的损伤进一步加重了碱烧伤后眼组织的病变,重者可致眼球萎缩。当然,碱烧伤后眼部的病理改变是一个复杂过程,有多方面的机制参与,免疫反应只是其中的一个重要环节,它与其它因素之间的关系(如胶原酶、氧自由基等)尚待深入研究。

 
 
 
图1 正常角膜平片,角膜缘CD3+3淋巴细胞×200
2 正常虹膜平片,散在分布的CD3+4淋巴细胞×200
3 碱烧伤第3天,角膜缘浸润的CD3+3淋巴细胞×200
4 碱烧伤第8天,角膜缘密集成堆的巨噬细胞,向角膜中央逐渐减少×400
5 碱烧伤第10天,角膜缘MHC-II类抗原阳性细胞形态大小不一×400
6 碱烧伤第8天,虹膜平片大量树突细胞,可见长而粗大的突起×200
7 碱烧伤第10天,虹膜平片大量树突细胞,可见长而粗大的突起×200
8 碱烧伤第10天,虹膜平片MHC-II类抗原阳性细胞形态不规则×400
基金项目:美国中华医学基金会资助项目(93-594)
参考文献
1 Yang P, de Vos AF, Kijlstra A. Macrophages in the retina of normal Lewis rats and their dynamics after injection of lipopolysaccharide.Invest Ophthalmol Vis Sci, 1996,37:77-85.
2 杨培增,de Vos AF, Kijlstra A.内毒素在Lewis鼠诱导的角膜改变. 眼科学报, 1996,12:70-74.
3 林荣霞.眼部化学碱性烧伤的免疫学研究.国外医学眼科学分册,1989,13:84-87.
4 McMenamin PG, Crewe J, Morrison S, et al. Immunomorphologic studies of macrophages and MHC classⅡ-positive dendritic cells in the iris and ciliary body of the rat, mouse ,and human eye. Invest Ophthalmol Vis Sci ,1994,35:3234-3250.
5 吴红,张泺.角膜碱烧伤中郎格罕细胞的变化及作用.同济医科大学学报,1992,21:380- 381.
6 Thiel HJ, Richter U, Zierhut M, et al. Immune reactions of the conjunctiva and cornea following severe chemical burns of the outer eye.Klin Monatsbl Augenheilkd, 1988,193:565-571.
7 el-Asrar AM, van den Oord JJ, Billiau A, et al. Recombinant interferon-gamma induces HLA-DR expression on human corneal epithelial and endothelial cells in vitro:a preliminary report. Br J Ophthalmol ,1989,73:587-590.
8 Lopez JS, Price FW Jr, Whitcup SM, et al. Immunohistochemistry of Terrien′s and Mooren′s corneal degeneration. Arch Ophthalmol ,1991, 109:988-992.
(收稿日期:1999-02-13) 上一页 [1] [2] |