|
讨论
眼囊尾蚴病是由于患者误食被猪肉绦虫虫卵污染的食品后,虫卵经睫状动脉或视网膜中央动脉进入眼部所致。囊尾蚴所形成的组织病理改变与正常眼组织结构不同,因此可采用影像学检查方法进行诊断[2,3]。
一、眼囊尾蚴病的影像学特征
本文的研究资料表明,眼内囊尾蚴多见于玻璃体内及视网膜下,眶内囊尾蚴多见于眼外肌内。囊尾蚴位于颅内时,因病程及部位不同可有多种表现,在活动期可见其囊泡及囊泡内的头节影[4,5]。眼囊尾蚴病影像表现与脑囊尾蚴病有相似之处,故我们根据其囊泡存在与否将眼囊尾蚴病分为活动期和非活动期。典型活动期眼囊尾蚴病B超检查显示为眼内或眶内环形无回声液性暗区及暗区内强回声球形光斑,光斑可有自主蠕动;CT检查显示为环形低密度区及低密度区内有斑点状高密度头节影;MRI检查显示为长T1、长T2信号的囊泡及在囊泡内可见中低信号的头节影。非活动期眼囊尾蚴病表现为眼内或眶内纤维化病灶及单发或多发的钙化灶,钙化灶在B超检查中显示为强回声光斑,且伴后方声影;CT检查显示为斑片状致密影。在B超检查过程中,囊尾蚴蠕动的影像是对本病进行诊断及分期最具特异性的依据,其表现为探头固定后,环形无回声液性暗区或球形光斑轻微变形。曾有文献报道B超检查过程中囊尾蚴蠕动的现象并不多见[2],但本组患者中多数活动期囊尾蚴均可见蠕动现象,这可能与所使用的超声设备以及病例的选择有关。此外,若发现双眼或眼外同时存在多发性寄生虫囊泡,也有助于眼囊尾蚴病的诊断。
二、眼囊尾蚴病的鉴别诊断
值得注意的是,并非所有眼囊尾蚴病均出现上述典型表现,部分非活动期眼内及眶内囊尾蚴病的影像表现缺乏特异性,需同眼内异物、脉络膜骨瘤、视网膜脱离、炎性假瘤等相鉴别[6]。B超检查:眼内异物显示为眼球内斑点状或斑块状强回声,与非活动期眼内囊尾蚴病表现相似,但前者应有明确的外伤史,这一点可供鉴别;脉络膜骨瘤表现为眼环局限性强回声,形状较为规则,一般不伴有眼内或身体其它部位的病变;视网膜脱离可由多种原因引起,视网膜下可见强回声球形光斑是活动期囊尾蚴病与视网膜脱离相鉴别的关键;活动期眶内囊尾蚴病和眶内炎性假瘤均可表现为眼外肌增粗及肿块,但后者眼外肌增粗的范围大、密度均匀,缺乏囊泡影,此点可与眼外肌囊尾蚴病相鉴别。
将本组3种影像学检查特征进行比较,结果表明眼内囊尾蚴病采用B超检查即可确诊; 眶内囊尾蚴病B超检查虽可显示囊泡及头节影,但CT及MRI检查影像更为直观,尤其对增粗的眼外肌及钙化组织的显示,CT更具优势。3种影像学检查在提供诊断信息方面各有不同,B超检查可提供眼球内外囊尾蚴病的诊断信息,因此诊断眼内及眶内囊尾蚴病可首选B超检查,MRI检查可作为活动期、CT检查可作为非活动期眼囊尾蚴病的补充检查方法。

 
 
 
图1 B超检查眼内囊尾蚴病 (活动期) , 玻璃体后部椭圆形光环, 环内无回声液性暗区中强回声球形光斑 (箭头) , 为囊泡及头节影
2 B超检查眼内囊尾蚴病 (活动期) , 视网膜下球形强回声光斑 (箭头) , 为头节影, 周围为无回声液性暗区, 其前方条状强回声光带为脱离的视网膜
3 MRI 检查眼内囊尾蚴病 (活动期),T1加权像玻璃体后部呈中等信号, 其内可见低信号囊泡影及中低信号头节影 (箭头)
4 B超检查眼内囊尾蚴病 (非活动期) , 玻璃体内可见两个强回声光斑 (箭头) , 为钙斑影, 光斑后伴后方声影, 其周围可见不规则中等回声条状物
5 CT检查眼内囊尾蚴病 (非活动期) , 眼环不均匀增厚, 后部眼环呈致密影 (箭头) , 为囊尾蚴死亡后的钙化斑
6 B超检查眶内囊尾蚴病 (活动期) , 眼外肌局限性增厚, 内回声减弱, 其内一无回声液性暗区, 暗区内一强回声球形光斑 (箭头) , 为囊泡及头节影
7 CT检查眶内囊尾蚴病 (活动期) , 右眼内直肌梭形增粗, 肌腹部有一圆形低密度区, 其内一斑点状高密度影 (箭头) , 为囊泡及头节影
8 MRT 检查眶内 囊尾蚴病 (活动期),T1加权像右眼内直肌梭形增粗, 肌腹部可见一低信号囊泡, 囊泡内中低信号 (箭头) 为头节影
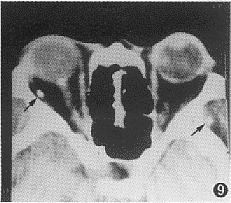
9 CT检查眶内囊尾蚴病 (非活动期) , 右侧外直肌及左侧颞窝内两斑点状致密影 (箭头) , 为囊尾蚴死亡后的钙化斑
参考文献
1 Ryan SJ,ed. Retina. vol 2. St. Louis: Mosby, 1989. 583-587.
2 魏景文,李恩江.眼内猪囊尾蚴的超声诊断. 中华眼科杂志 ,1990, 26:230-231.
3 肖利华,宋国祥,谢会章. B超、CT和MRI诊断直肌内猪囊尾蚴一例. 中华眼科杂志 ,1993, 29: 93.
4 曾炳生,关长群,刘振春,等.脑囊虫病的CT诊断. 中华放射学杂志 ,1982,16:244-245.
5 姜宗衡,张念察,毕宏昌.脑囊虫病100例CT分析. 中华放射学杂志 ,1987, 21:92-95.
6 史大鹏,李舒茵,石玉发,主编.眼科影像诊断学.郑州:河南医科大学出版社, 1997.239-241.
(收稿日期:1999-03-17) 上一页 [1] [2] |