眼科研究 2000年第2期第18卷 实验研究
作者:孙晓东 张皙 陈荣家 蔡文泉 李霞萍
单位:孙晓东 张皙 蔡文泉(200080 上海市第一人民医院眼科);陈荣家 李霞萍(上海医科大学附属眼耳鼻喉科医院)
关键词:视网膜脱离;变性;视功能
摘要 目的 研究视网膜脱离(RD)复位后视网膜的组织学改变。方法 14只健康灰兔分为实验组12只,RD阳性对照组1只,正常对照组1只。用视网膜下注射0.1%透明质酸钠方法建立RD模型。术后分别观察1,2,3,4周后,取眼球进行组织学观察。结果 复位早期色素上皮基本正常,神经视网膜不同层间可见空泡样变,尤以光感受器细胞受损最显著,表现为排列紊乱、变薄。内外核层和神经节细胞水肿,神经纤维层有空泡出现,M%26uuml;ller细胞支架纤维结构消失。复位3周后光镜下视网膜结构基本正常,但部分神经节细胞仍有变性。结论 复位后的视网膜各层组织仍有不完全可逆的病变存在,部分揭示术后视功能不完全恢复的原因。
分类号 R 774
Histomorphology studies on reattached retina
Sun Xiaodong,Zhang Xi,Chen Rongjia,et al.
Department of Ophthalmology,Shanghai First People’s Hospital,Shanghai Institute of Ophthalmology,Shanghai 200080
Abstract ObjectiveTo study the histomorphology of reattached retina and find possible reasons for incomplete recovery of visual function after retinal detachment (RD) surgery.MethodsFourteen pigment rabbits were divided into four experimental groups and two control groups.RDs were produced model by infusion of 0.1% sodium hyaluronate 0.2 ml between the neurosensory retina and the pigment epithelium.Eyes were examined at 1,2,3 and 4 postoperative weeks,eyeballs were obtained and fixed.Histomorphology observation was performed by light microscopy.ResultsNormal control group showed clear structure and no degeneration of retinal tissues.RD control group showed obvious abnormality with swelling and vacuolization of retinal tissues and thinness of photoreceptor cell layer.In early stage after RD,there was a normal appearance of the retinal pigment epithelium,and vacuolar degeneration in different retinal layers.Disturbance and thinness of photoreceptor cell layer,swelling of inner and outer nuclear layers and ganglion cells,cava of nerve fibers,disappearance of fiber structure of M%26uuml;ller cells were also observed.Three weeks later,there was basically normal structure and morphology of retinal tissue,but some degenerated ganglion cells could also be observed.There is incomplete recovery.ConclusionAlthough the retina is only going through a short-time detachment,the reattached retina suffers serious irreversible injury and goes through incomplete recovery.These pathologic changes of reattached retina may affect postoperative recovery of visual function.
Key word sretinal detachment degeneration visual function
视网膜脱离(retinal detachment,RD)是严重的致盲性眼病。近年来随着手术方法的进步,手术治愈率有了很大的提高,然而术后视功能恢复不理想,引起的原因有待于进一步研究[1,2]。由于在人眼上很难获得合适的RD标本进行研究,本研究试通过在兔眼上建立RD模型,探讨复位后视网膜的组织学改变,为今后改善RD术后视功能提供理论依据。
1 材料与方法
1.1 实验对象与方法 健康灰兔14只,体重2.2~2.7 kg,平均2.4 kg,雌雄兼有。实验动物由上海生物制品研究所提供。设为实验组12只,正常对照组1只,RD对照组1只。实验组根据术后观察时间不同又分为4组,每组3只,6只眼,实验后每组分别在观察1,2,3,4周后取眼球。RD对照组在建立RD模型后8 h取眼球。正常对照组在实验全部结束时取眼球。采用直接眼底镜观察眼底视网膜情况。
1.2 RD模型制备 采用3%戊巴比妥纳,1 ml/kg兔耳缘静脉麻醉。在前下方角巩缘后2 mm处,20 G巩膜穿刺刀刺穿巩膜,伸入27 G前房注射针(美国Beaver公司)。显微镜下,在赤道部视网膜上造孔,然后向视网膜下缓慢推注0.1%透明质酸钠0.2 ml(上海建华精细生物制品有限公司),可见整个后极部视网膜灰白色隆起,直到赤道前。术后观察所有眼均有RD,范围达75%~85%。RD能维持4~6天,平均5.2天。1周后所有眼视网膜在眼底镜下观察均已复位。
1.3 组织切片的制备 在预定的实验观察期满后,采用耳缘静脉注射过量3%戊巴比妥钠后,即刻摘取眼球。左眼固定于眼球固定液(95%酒精,蒸馏水,40%福尔马林,冰醋酸)。经酒精系列脱水后,浸蜡,切片。常规HE染色。使用日本NikonYS2型光学显微镜观察,日本OlympusB2光学显微镜下摄片。右眼固定于2.5%戊二醛磷酸缓冲液电镜固定液。
2 结果
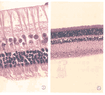
2.1正常对照组(图1) 对照组视网膜组织排列整齐,各层次结构清晰。光感受器细胞与色素上皮细胞(retinal pigment epithelium,RPE)紧密相连,形态正常,无变性。神经节细胞数量和排列正常,无空泡样变性,神经纤维层清晰。M%26uuml;ller细胞框架纤维结构完整。
2.2 RD对照组(图2) 光镜下2眼视网膜神经上皮层与RPE层分离。部分RPE细胞游离。光感受器细胞结构显著紊乱,断裂,参差不齐,大量空泡样变性。内外核层水肿,空泡样变,有核周空泡和核固缩。内外网状层结构紊乱。神经节细胞和神经纤维水肿,部分细胞有核固缩。大部分M%26uuml;ller细胞的纤维支架结构消失。
2.3 术后1周实验组(图3) 光镜下2眼视网膜复位,1眼局部有浆液性扁平RD。所有眼均可见在视网膜不同层间有空泡样变性,视网膜内还可见少量有色素的吞噬细胞。RPE层基本正常。光感受器细胞层结构排列紊乱,缺失变薄,仍有空泡样变性。内外核层、网状层结构紊乱,囊变,表现为细胞变大、水肿。神经节细胞轻度改变,部分细胞有水肿,神经纤维层空泡出现。部分部位视网膜上M%26uuml;ller细胞支架纤维消失。1眼光感受器细胞层和色素上皮层间可见有浆液性渗出液,其中RPE游离、肥大、增生,少量淋巴样细胞浸润。
2.4 术后2周实验组(图4) 光镜下2眼视网膜复位,1眼局部有浆液性浅RD。除1眼RPE细胞有轻度增生,其余眼基本正常。光感受器细胞层结构仍有轻度紊乱,空泡样变。内外核层、网状层结构紊乱,偶见核固缩现象,其中1眼有明显的内外核层变薄。部分神经节细胞轻度水肿,神经纤维有空泡样变性。部分视网膜有M%26uuml;ller细胞支架纤维断裂。
2.5 术后3周实验组(图5) 光镜下所有眼视网膜均复位。视网膜结构基本清晰,偶可见吞噬色素的单核细胞。RPE层正常外观。光感受器细胞形态基本正常,局部有空泡样变性。内外核层、网状层结构仍有少许紊乱,外网状层有少量囊变。神经节细胞和神经纤维层形态正常,少量神经节细胞囊变。M%26uuml;ller细胞纤维支架结构清晰。
2.6 术后4周实验组(图6) 光镜下所有眼视网膜均复位。视网膜结构清晰,未见光镜下异常。RPE细胞单层排列,未见增生。光感受器细胞形态正常,内外核层和网状层排列整齐,神经节细胞和神经纤维结构正常,与对照组比较无差别。1眼有部分神经节细胞发生器官样改变。




图1 正常对照组(×40) 图2 RD阳性对照组(a ×10);b:光感受器结构紊乱,神经节细胞水肿和空泡样变,M%26uuml;ller细胞支架纤维结构消失(×40) 图3 1周实验组(a ×10);b:光感受器排列紊乱,内核层和神经细胞层水肿,空泡出现(×40) 图4 2周实验组内核层和神经节细胞均有空泡样变(×40) 图5 3周实验组见部分内核层和神经细胞有核固缩,核周空泡现象(×40) 图6 4周实验组见视网膜结构光镜下结构清晰正常,与对照组相比无明显差异(×40) Fig.1 Normal control group(×40) Fig.2 RD control group (a ×10); b:disturbance of photoreceptor cells,swelling and vacuole of ganglion cells,disappearance of fiber structure of M%26uuml;ller cells Fig.3 1 week experiment group (a ×10); b:disturbance of photoreceptor cells,swelling and cava appearance of inner nuclear layer and ganglion cells Fig.4 2-week experiment group:vacuolar degeneration in inner nuclear layer and ganglion cells(×40) Fig.5 3-week experiment group:nucleus and cytoplasm shrink in part of inner nuclear layer and ganglion cells (×40) Fig.6 4-week experiment group:normal appearance and clear structure of retina,compared to normal control with no obvious difference (×40)
[1] [2] 下一页 |