精彩推荐:青光眼 白内障 近视 远视 散光 斜视弱视 角膜溃疡 角膜炎 沙眼 眼外伤 更多疾病
大众频道
专业频道
时尚频道
互动频道
疾 病 | 保 健 | 爱眼动态 | 名医名院
知 识 | 美 食 | 自检自测 | 爱眼纪事
资 讯 | 临 床 | 学 术 | 文 献
图 谱 | 医 患 | 继 教 | 家 园
五官之美 | 整 形 | 美 容
眼镜一族 | 妆 容 | 图 库
眼科在线 | 预留位置
眼科知道 | 在线咨询
  当前位置: 中华眼科在线 >> 医学频道 >> 临床医学 >> 病例分析 切换到繁體中文 用户登录 新用户注册
视网膜神经上皮移植的实验研究

http://www.cnophol.com 2008-10-29 16:24:35 中华眼科在线

  摘要 目的 对视网膜神经上皮移植后移植物的成活及发育情况进行初步观察。方法 采用内路注射移植方法建立动物模型,行27眼移植手术。术后定期眼底检查,组织学检查和免疫组织化学检查。结果 21眼移植成功,组织学检查可见移植后移植物可以成活,部分细胞呈花环状生长,可继续发育分层,未见明显的炎细胞浸润及免疫排斥现象。免疫组织化学检查可见移植物S-抗原染色阳性。结论 视网膜神经上皮移植术后移植物可以成活并继续发育,无明显的炎性反应及免疫排斥现象。移植物可发育出光传导的物质基础。

An experimental study on retinal neuroepithelial transplantation

Wang Wei Dong Xiaoguang Xie Lixin

  (Institute of Ophthalmology,Shandong Academy

  of Medical Science,Qingdao 266071)

  Abstract ObjectiveTo observe the survival and development of retinal neuroepithelial transplantation in rabbits.MethodsTransplantations were performed in vitreous of 27 rabbit eyes.Postoperatively the fundi were examined.The eyes were removed,and histological and immunohistological study was made for fundi from 1 to 4 weeks after operation.ResultsThe transplantations in 21 eyes were successful.The transplants were developed and matured according to their intrinsic time.Transplanted cells formed rosetes.There were no inflammation and no rejection for at least 4 weeks.The transplants had anti-S-antigen reactivity.ConclusionsThe transvitreous retinal neuroepithelial transplants can survive and develop well.Moreover,the transplants can develop a key protein of the light transducing process.

  Key words retinal neuroepithelial transplantation S-antigen

  随着神经生物学的发展,有研究发现视网膜的神经轴突损伤后可以再生,重建突触联

  系[1], 这使视网膜神经上皮的移植成为可能,本文采用直视下内路注射法建立了兔视网膜神经上皮移植的动物模型,并进一步研究移植术后S-抗原的表达,对移植细胞进行鉴定,得到初步结果,现总结汇报如下。

  1 材料与方法

  1.1 动物实验

  受体为健康成年有色素兔35只,体重1.5~2.5kg,实验组27只,对照组8只。供体采用同种胎龄2周的胎兔。孕期2周(第15天)的母兔经氯胺酮过量麻醉后,无菌条件下取胎兔,置于4℃含Ca2+、Mg2+PBS中(pH=7.4,葡萄糖1mmol/L),立即在显微镜下摘除眼球,移入含上液的无菌培养皿中,去除眼前段,小心剪除玻璃体,可见视网膜神经上皮自行脱出,呈片段状,收集视网膜于4℃PBS液中即刻应用。

  动物麻醉、消毒、开睑,角膜上加用角膜接触镜,角巩膜缘后2.5~3mm处避开血管,用微量注射器吸取供体视网膜组织颗粒约10μl,在显微镜直视下穿刺进入玻璃体腔,选择视盘周围有髓神经纤维束末端,将注射器头插入视网膜下腔,缓慢注入供体视网膜约10μl,小心退出针头,勿使移植物返流,视网膜无需处理,恢复球结膜,覆盖巩膜穿刺口。

  1.2 组织学检查及HE染色

  取移植部位周围10mm×10mm组织片,平铺于滤纸片上,置快速固定液中固定约2h。常规病理切片及HE染色。

  1.3 免疫组织化学检测S-抗原

  免疫组织化学实验采用美国ZYMED公司生产的SPTM试剂盒(由北京中山生物技术有限公司提供)。1∶5000稀释S-抗原单克隆抗体(MAbF4C1由美国Wills眼科研究所Larry Donoso博士赠)。

  2 结果

  2.1 手术结果:实验组21眼(共27眼),对照组6眼(共8眼)手术成功,术后未见并发症。

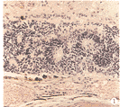
  2.2 组织学检查结果:移植前胚胎期2周供体视网膜,仅见单一多细胞层,富含细胞核,尚未见内外颗粒层的分化。移植术后1周移植区受体视网膜神经上皮与色素上皮分离,被移入的视网膜细胞失去原来正常的片段状排列,大部分呈花环状排列,花环由中央空腔及周围向心排列的细胞团组成,近中央处细胞核轻度椭圆状,深染,花环边周核圆,淡染(图1)。移植后2~3周:移植区可见两种细胞的继续分化分层,近中央区胞浆红染,形态类似外节,指向中央空腔,但较短。个别地方未形成花环,呈条形排列,可见内外核层分化,相当外节部分指向受体色素上皮层,也有朝向受体内界膜方向(图2)。4周移植物细胞排列仍大部分呈花环状,内外核层分化明显,在受体及植片之间可见核固缩细胞。实验组和对照组术后1~4周未见明显脉络膜血管扩张、充血,无淋巴细胞及单核巨噬细胞浸润。

   图1 花结样生长

  Fig.1 Rosette growing

    图2 片层样生长

  Fig.2 Film growing

  2.3 免疫组织化学结果:移植前供体胚胎期S抗原染色阴性。移植后1、2、3、4周移植物抗原染色可见棕红色颗粒,呈阳性反应(图3),阴性对照未见染色。

   图3 S抗原染色阳性

  Fig.3 S-antigen staining was positive

[1] [2] 下一页

(来源:眼科研究 2000年第1期第18卷)(责编:duzhanhui)

下一条: 没有了
更多关于(眼睛,中华眼科在线,眼科,视网膜神经上皮移植,S-抗原)的信息
  热门图文

保你成为人气女王的8款

眼部肌肤年龄测试

给男士眼部护理提个醒

10款百元内好口碑眼霜
  健康新看点
  健康多视点
  图话健康

Copyright © 2007 中华眼科在线 网站备案序列号: 京ICP备08009675号
本网站由五景药业主办 北京金鼎盛世医学传媒机构负责运营 国家医学教育发展中心提供学术支持
服务电话:010-63330565 服务邮箱: [email protected]