|
2 结果
2.1 各组大鼠的血糖值见表1,对照组大鼠的血糖值始终处于正常值范围。用STZ诱发的第4天,STZ组和牛磺酸组各有50%大鼠呈现高血糖(不足11mmol/L的大鼠均已淘汰),两组相比P>0.05。诱发后30天,STZ组血糖继续上升,直至90天仍处于较高水平。实验发现血糖值越高的大鼠,白内障发展越快,也越严重。与此相反,牛磺酸组在诱发后30天的血糖值明显下降,接近对照组(P>0.05),直至90天与对照组大鼠的血糖值基本相同(P>0.05),牛磺酸组大鼠的晶状体也保持透明。
表1 牛磺酸对STZ-糖尿病大鼠血糖的影响(mmol/L)
Tab.1 Effects of taurine on blood sugar concentrations in STZ-diabetic rats(mmol/L)
| |
Treatment days( ±s) |
| n |
4 |
30 |
60 |
90 |
| Normal control |
10 |
3.26±0.39 |
2.99±0.16 |
3.02±0.32 |
3.29±0.39 |
| STZ+Saline |
5 |
14.02±4.42 |
17.9±7.39 |
10.08±6.65 |
12.0±5.39 |
| STZ+4%taurine |
5 |
12.14±1.04 |
3.18±0.61 |
3.64±0.59 |
4.0±0.52 |
| P value |
|
0.5476 |
0.0159 |
0.0317 |
0.0079 |
P:STZ+saline vsSTZ+4%taurine2.2 各组大鼠裂隙灯所见:从表2可见,在整个实验期间,牛磺酸组大鼠和对照组大鼠一样晶状体完全透明(图1)。与之相反,STZ组大鼠,在诱发后4周,有少数晶状体周边出现空泡,第6周其白内障发生率已达60%,此时很容易检测晶状体皮质混浊甚至扩展到整个晶状体。到第8~12周,白内障发生率80%,其中有20%达成熟白内障(晶状体完全呈白色)见表2、图1。

1 不同实验组大鼠晶状体的裂隙灯动态摄影
Fig.1 Slit-lamp dynamic photographs of rats in different experiment groups
表2 牛磺酸对STZ-糖尿病性白内障的抑制作用(%)
Tab.2 Preventive effect of taurine in STZ-diabetic rats cataract formation(%)
| |
Degree of
lens opacityn |
n |
Treatment weeks |
| 4 |
6 |
8 |
12 |
| Normal control |
- |
10 |
10.00 |
10.00 |
10.00 |
10.00 |
| - |
|
60.00 |
40.00 |
20.00 |
20.00 |
| STZ+saline |
|
5 |
|
| + |
|
40.00 |
60.00 |
80.00 |
80.00 |
| STZ+4%taurine |
- |
5 |
100.00 |
100.00 |
100.00 |
100.00 |
| P1 |
|
|
0.0076 |
0.0004 |
0.00001 |
0.00001 |
| P2 |
|
|
0.0433 |
0.0108 |
0.0007 |
0.0007 |
P1:STZ+saline vs normal;P2:STZ+4%taurine vs STZ+saline

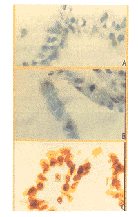
2 比较不同实验组TUNEL检测结果
A:对照 B:STZ+牛磺酸 C:STZ+生理盐水
Fig.2 The comparison of the TUNEL results of different groups at the end
of 12 weeks A:control group B:STZ+taurine group C:STZ+saline group
2.3 各组大鼠细胞凋亡的百分数:从图2A-C中可见牛磺酸组和正常对照组大鼠晶状体上皮细胞几乎无甚凋亡,其凋亡细胞分别为2.13%和3.17%,两组相比P>0.05。而STZ组,其凋亡细胞为91.99%,白内障发生率为80%。
上一页 [1] [2] [3] 下一页 |