精彩推荐:青光眼 白内障 近视 远视 散光 斜视弱视 角膜溃疡 角膜炎 沙眼 眼外伤 更多疾病
大众频道
专业频道
时尚频道
互动频道
疾 病 | 保 健 | 爱眼动态 | 名医名院
知 识 | 美 食 | 自检自测 | 爱眼纪事
资 讯 | 临 床 | 学 术 | 文 献
图 谱 | 医 患 | 继 教 | 家 园
五官之美 | 整 形 | 美 容
眼镜一族 | 妆 容 | 图 库
眼科在线 | 预留位置
眼科知道 | 在线咨询
  当前位置: 中华眼科在线 >> 医学频道 >> 临床医学 >> 病例分析 切换到繁體中文 用户登录 新用户注册
25例眼眶皮样囊肿影像检查分析

http://www.cnophol.com 2008-10-17 15:53:31 中华眼科在线

  3 讨论

  3.1 眼眶皮样囊肿比较多见,约占眶内肿瘤的6.0%~ 9.2%[1]。皮样囊肿起源于胚胎期,生长缓慢,早期无症状,待就诊时,肿物已 有一定体积,便于影像检查发现。肿瘤位于眶部,光学检查无能为力。宋国祥等[2] 报道39例行CT检查,均能做出准确定性、定位诊断。我们此组病例通过影像学检查全 部做出正确定性、定位诊断。

  3.2 皮样囊肿的病理组织学基础决定了它的影像检查结果 。由于皮样囊肿的脱落物成分不同,各成分间比例不同,密度不同,H含量不同,构成 了皮样囊肿在B超、CT、MRI检查时的多种表现[3]。皮样囊肿内脱落物多, 成分单 一,分布均匀时,B超上表现为均匀的内回声,有时近似于海绵状血管瘤的内回声。脱落物 分布不均匀时,其内回声也不均匀,脱落物成分差别大时,可出现内回声不均的强回声团。 当囊内全为液性物(汗液或皮脂)时,则为无回声(液性暗区)。上述囊肿内脱落物的不同 ,表 现为CT上的密度值的不同。皮脂表现为负值区,皮脂的多少、位置决定了负值区的大小和 位 置,其余成分呈正值或零。在眼眶肿瘤中除脂肪瘤外,仅有皮样囊肿有负值区[2] ,加上眶骨的改变,成为皮样囊肿诊断的特征。由于皮脂轻,其负值区的位置还可随体位改 变。囊内全为皮脂者,则显示为均匀的透明区。有时因重力关系,上部为脂肪的透明区,下 部为固状物的相对高密度区[2,4]

  皮样囊肿内无血管组织,行增强CT检查,表现为囊壁本身增强,内容物不变的特殊CT征 。同 样原理,在超声多普勒上囊内无血流显示,囊壁上可见有细弱小血流。MRI上,既有脂质 又 有汗液者T1WI和T2WI均呈现高信号,若其中杂有较多的囊壁脱落物和毛发(含 H少),则T1WI和T2WI显示出高、中、低信号相间的斑驳状信号[5]

  3.3 皮样囊肿起源于胚胎期,多在骨缝间生长,常 有骨骼改变。声波不能穿过骨骼,除非囊肿全在眶内,B超所探及的仅为囊肿的局部,不能 代表整个囊肿,这是B超的局限性。但B超检查内回声能间接反映囊肿的组织学结构,能行动力学观察,如压缩性。超声多普勒能检查肿瘤的血流情况。这是CT、MRI所不具备的。 超声灵活、方便、无害,可反复进行。

  皮样囊肿内容物含有脂肪,T1WI像上有高信号,具有鉴别诊断意义。但由于骨骼中不含H,MRI上骨骼呈无信号,显示骨骼改变不如CT清楚,另外MRI价格高,成为MRI检查的限制。由于皮样囊肿的波及范围广(从眶内到眶外),密度跨度大(从负值到骨密度)等 特点 ,使得CT成为诊断此肿瘤的最佳选择。在影像检查中其定位、定性诊断正确率最高。但各 影像检查间可互补不足。以B超、MRI与CT结合检查皮样囊肿最好。

  3.4 现代影像检查使皮样囊肿易于同其它眶内肿瘤区分开。由于术前的准确定位、定性,使手术进路的选择更准确无误,器械准备更充分,手术 步骤更清楚,并发症更少,手术成功率更高。

1 眼眶皮样囊肿B超图

2 眼眶皮样囊肿彩超图

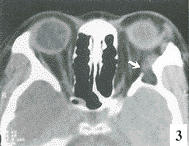
3 眼眶皮样囊肿XT超图

4 眼眶皮样囊肿MRI超图■

  参考文献

  [1] Song G X.Orbital lesions:Enligh tenment from 1012 operations.Asian Hospi tal,1989,(8):23.

  [2] 宋国祥,田文芳,张 虹.CT扫描在眶内皮样囊肿诊断和治疗中的价 值.中华眼科杂志,1990,26(6):343.

  [3] 史季桐,宋国祥,肖利华,等.常见眼眶内肿瘤的影像诊断分析.中华 眼科杂志,1997,33:93.

  [4] Stark DD,Bradley WG.Magnetic re sonance imaging.St.Louis:Mosby,1988,570~ 613.

  [5] 宋国祥,田文芳,肖利华,等.眼眶肿瘤磁共振成像80例分析.中华 眼科杂志,1994,30(7):424.

上一页  [1] [2] 

(来源:眼科 1999年第4期第8卷)(责编:duzhanhui)

下一条: 没有了
更多关于(眼睛,中华眼科在线,眼科,皮样囊肿)的信息
  热门图文

给男士眼部护理提个醒

10款百元内好口碑眼霜

容祖儿最抢眼的橘色眼

秋日时尚烟熏妆
  健康新看点
  健康多视点
  图话健康

Copyright © 2007 中华眼科在线 网站备案序列号: 京ICP备08009675号
本网站由五景药业主办 北京金鼎盛世医学传媒机构负责运营 国家医学教育发展中心提供学术支持
服务电话:010-63330565 服务邮箱: [email protected]