摘 要 目的:观察闭角型青光眼的小梁形态学改变,探讨周边虹膜和小梁粘连程度与小梁、Schlemm管病变的 关系。方法:对628例(746眼)闭角型青光眼手术切除的小梁标本用10%福尔马林溶液固定,火棉胶包埋,苏木素伊红染色,光镜下观察。结果:所有慢性闭角型青光眼的小梁均表现出不同程度的纤维化,小梁网及内皮细胞中有程度不等的色素沉积,内皮细胞数减少或消失,Schlemm管压缩或闭塞。虹膜萎缩、变性,周边部与小梁粘连。上述病理改变尤以虹膜与小梁粘连处为甚。急性闭角型青光眼的小梁则表现为内皮细胞水肿,小梁网中有色素沉积,虹膜基质水肿,血管扩张,周边部与小梁紧密接触,个别切片中可见局灶性坏死。结论:虹膜与小梁粘连可能是导致或加重小梁损害的一个重要的因素。从病理的角度出发建议:当青光眼的病人眼压升高且伴有较明显的前房反应时,应局部或全身应用皮质激素。一旦发现有房角粘连应采取手术治疗。
关键词:青光眼;小梁;Schlemm管;病理
原发性闭角型青光眼是一种严重危害视功能的疾病,为我国当前主要致盲眼病之一。现将我院病理科1981~ 1996年628例(746眼)原发性闭角型青光眼手术后小梁形态学观察作一回顾性分析并报道如下。
1 临床资料
本组682例(746眼),其中急性闭角型青光眼319例(334眼),慢性闭角型青光眼363例(412眼)。手术方式:虹膜下咬切或小梁切除。标本均用10%福尔马林溶液固定,火棉胶包埋,苏木素-伊红染色,光镜下观察。
2 结果
2.1 急性闭角型青光眼
小梁内皮细胞水肿,小梁网可见色素沉积。Schlemm管轻度变窄或基本正常。部分虹膜周边部与小梁紧密接触,基质水肿,血管扩张,局部区域的色素上皮色素颗粒弥散,个别切片中可见局灶性坏死。
2.2慢性闭角型青光眼
根据小梁的病理改变,虹膜与小梁粘连的程度及 schlemm管和虹膜的改变程度,将本组分成早、中、晚3期来描述。
2.2.1 早期 ①小梁:与虹膜根部粘连部分的小梁纤维化,小梁网眼变窄或消失。内皮细胞数减少,部分内皮细胞胞浆中含有色素颗粒。②Schlemm管:基本正常 。③虹膜:仅表现为与小梁粘连处的虹膜变性萎缩,色素颗粒弥散,见图1。
 
图1 与周边虹膜粘连处的小梁纤维化,小梁网眼变窄,少量色素沉积(箭头);Schlemm管基本正常(箭号)(HE×200)
Fig1 There is trabecular fibrosis in the adhesion area with peripheral iris,some pigment deposition in the trabecular meshwork and the space in trabecular meshwork was narrow(Arrowhead).Schlemm tube is normal(Arrow)(HE×200)
2.2.2 中期 ①小梁:小梁大部分纤维化,变性。小梁网中有色素沉积,内皮细胞数明显减少。②Schlemm管:管腔狭窄或闭塞。③虹膜:虹膜周边部与巩膜突、小梁、Schwalbe线粘连,并变性萎缩,见图2。
 
图2部分小梁纤维化,变性,网眼中有色素沉积(长箭号);Schlemm管狭窄(短箭号);虹膜萎缩(箭头)(HE×200)
Fig2 There are partial fibrosis and degeneration in trabeculae,pigment deposition in the meshwork(Longarrow).Schlemm tube is narrow(Short-arrow).Iridoleptynsi is shown(Arrowhead)(HE×200)
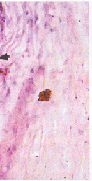
2.2.3 晚期 ①小梁:小梁纤维化,网眼结构消失,小梁网中有大量色素沉积,局部区域完全被色素斑块遮盖看不清小梁结构,且上述改变以与虹膜周边部粘连处为甚。②Schlemm管:管腔大部分或全部闭塞。③虹膜:虹膜萎缩,变性。色素脱落、堆积,有的色素上皮细胞增生呈团块状。基质纤维化,血管壁透明样变,管腔变小或闭塞,见图3。
 
图3 小梁全部纤维化,变性,内皮细胞和网眼结构消失,小梁网中有大量色素沉积;虹膜变性萎缩并与小梁广泛粘连(箭头);Schlemm管闭塞(箭号)(HE×200)
Fig3 All the trabeculae was fibrosis and degenerated,the endothelial cells and meshwork space disappeared.Plenty of pigments were deposited in the trabecular meshwork.Iris was degenerated,atrophy and extensively adhered to the trabeculae(Arrowhead).Schlemm tube was obstructed(Arrow)(HE×200)
[1] [2] 下一页 |