|
2 结果
2.1 大体标本观察
术后第90天第1组肉眼不能分辨植入物形态。第2组植入的心包补片植入片与巩膜严密附着不能分离和移动,肉眼能分辨。第3组血管补片平复整齐不变形,色泽与巩膜相近,表面形成包裹但与巩膜不粘连,第4组脱细胞异体真皮术后表面形成包裹,位置较固定;贴附平整不易移动和分离,肉眼可辨。
2.2 光镜动态观察
第1组术后10天在植入片纤维间有炎性细胞和成纤维细胞浸润;以后可见到异物巨细胞和新生毛细血管;第30天硬脑膜植片纤维中成纤维细胞及胶原纤维组织增多,原组织结构不清;第90天已全部被自身结缔组织替代。
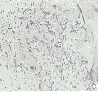
第2组第10天即可见到植入物纤维之间新生血管、纤维细胞分隔深入,炎性细胞少,可见异物巨细胞。随着时间延长,成纤维细胞及结缔组织伸入到植入片各纤维之间,第90天全部形成了植入片纤维与自身结缔组织互相交织的形态结构(图1)。
第3组植入片与巩膜之间以及植片结构间隙有较多的炎性细胞,随着时间延长,炎性细胞成分减少,植入片与巩膜之间可见潜在腔隙。植入物结构与巩膜的区别明显(图2)。

图1 术后第90天,植入的心包补片纤维与结缔组织相互交织(HE×20) 图2 术后第90天,血管补片与宿主巩膜仍不粘连,二者之间存在腔隙(HE×20) Fig.1 On d 90 after implanted surgically,the fibers of artificial pericardium are interwoven with connective tissue(HE×20) Fig.2 On d 90 after implanted sturgically,there was a gap between artificial vessel band and host scleral(HE×20)
第4组在第10天可见节段性均质植入片结构之间伸入“钉突状”胶原结缔组织,成纤维细胞为主,植片周围有少量炎性细胞。第20天以后植片结构逐渐松散,近宿主巩膜部分被自身结缔组织代替;而在远离部分可见植片边缘部分有簇集的炎性细胞;第90天仍然可以见到这种现象。
2.3 透射电镜观察
第1组第10天巨噬细胞胞体增大,胞质内有丰富的线粒体,游离核糖体,粗面内质网扩张,可见吞噬的异体胶原纤维;第90天近梭形的成纤维细胞周围出现束状排列及粗细不均的胶原纤维。
第2组第10天植入物周围包绕多核细胞,核不整齐,胞浆内大量粗面内质网,吞噬小体;第90天植入物被分隔包绕,贴附植入物的细胞膜表面可见微绒毛,大量的游离核糖体分布细胞膜内侧胞质。
第3组第10天富含粗面内质网的浆细胞,不规则核,核质不均的细胞,可见似单层扁平细胞;第90天植入物被覆单层扁平细胞,植入物的缝隙亦有两层膜结构及胞质填充。
第4组的改变与第1组相似。
上一页 [1] [2] [3] 下一页 |