精彩推荐:
青光眼
白内障
近视
远视
散光
斜视弱视
角膜溃疡
角膜炎
沙眼
眼外伤
更多疾病
大众频道
专业频道
时尚频道
互动频道
疾 病
|
保 健
|
爱眼动态
|
名医名院
知 识
|
美 食
|
自检自测
|
爱眼纪事
资 讯
|
临 床
|
学 术
|
文 献
图 谱
|
医 患
|
继 教
|
家 园
五官之美
|
整 形
|
美 容
眼镜一族
|
妆 容
|
图 库
眼科在线
|
预留位置
眼科知道
|
在线咨询
当前位置:
中华眼科在线
>>
医学频道
>>
眼科图谱
>>
病理图谱
切换到繁體中文
用户登录
新用户注册
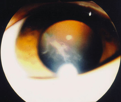
玻璃体炎
http://www.cnophol.com 2008-6-29 12:57:07 中华眼科在线
(来源:贵州晶朗眼科)(责编:zhanghui)
下一条: 没有了
更多关于(
眼睛,中华眼科在线,玻璃体炎,眼病,图谱
)的信息
昆明市召开隐形眼镜市场监管工作座谈会
儿童过度补铁可能会影响视力发育
今年北京招大学生士官视力标准放宽
青光眼是全视路疾病
“眼皮跳”注射肉毒素
服装店代卖彩色隐形眼镜 医生提醒随意佩戴会
兵团“光明行动”让农五师贫困白内障患者见
大学生刚毕业患绝症愿捐眼角膜
英国科学家研究:千里眼确实存在
儿童近视与血清胰岛素样生长因子1的相关研究
热门图文
太阳镜棕色最护眼
今年眼镜不忌粗黑 流行
暑假整形:必须了解的知
夏季最得宠的5款太阳镜
健康新看点
健康多视点
图话健康
Copyright © 2007 中华眼科在线 网站备案序列号: 京ICP备08009675号
本网站由
五景药业
主办
北京金鼎盛世医学传媒机构负责运营
国家医学教育发展中心提供学术支持
服务电话:010-63330565 服务邮箱:
[email protected]