| 视神经脑膜瘤 |
|
| http://www.cnophol.com 2008-2-18 15:20:39 中华眼科在线 |
|
|
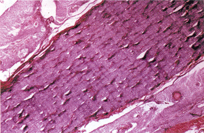
此瘤起源于覆盖硬膜或蛛网膜的内皮细胞,故亦称为内皮细胞瘤。最常见一般是在硬脑膜内,但最后它会向硬脑膜的内外蔓延。因与骨质不接触,它在眶内生长很自由,不引起眶壁的改变。 显微镜下可以看到脑膜瘤是由许多细胞草组成。细胞巢可全无或仅有很少的结缔组织纤维。肿瘤周围可以只被薄壁血管分开,沙粒体在脑膜瘤中是常见的。
|
|
|
| | |
| (来源:正大光明)(责编:xhhdm) |
|
 |
| 下一条: 视网膜劈裂眼底图片 |
|
更多关于(眼科,眼科图片,眼科图谱,眼病图片,视神经)的信息 |
|
|
热门图文 |
|
|
|
|
|
健康新看点 |
|
|
健康多视点 |
|
|
图话健康 |
|
|
|