精彩推荐:青光眼 白内障 近视 远视 散光 斜视弱视 角膜溃疡 角膜炎 沙眼 眼外伤 更多疾病
大众频道
专业频道
时尚频道
互动频道
疾 病 | 保 健 | 爱眼动态 | 名医名院
知 识 | 美 食 | 自检自测 | 爱眼纪事
资 讯 | 临 床 | 学 术 | 文 献
图 谱 | 医 患 | 继 教 | 家 园
五官之美 | 整 形 | 美 容
眼镜一族 | 妆 容 | 图 库
眼科在线 | 预留位置
眼科知道 | 在线咨询
  当前位置: 中华眼科在线 >> 医学频道 >> 眼科图谱 >> 病理图谱 切换到繁體中文 用户登录 新用户注册
视神经脑膜瘤

http://www.cnophol.com 2008-1-21 14:04:15 中华眼科在线

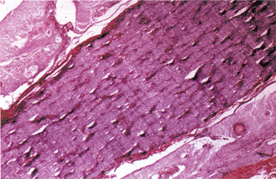
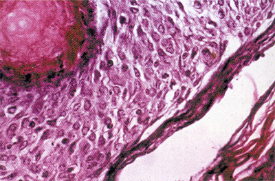
   瘤组织在蛛网膜内外生长。较均匀一致的小椭圆形细胞间散在着沙粒体。

   此瘤起源于覆盖硬膜或蛛网膜的内皮细胞,故亦称为内皮细胞瘤。最常见一般是在硬脑膜内,但最后它会向硬脑膜的内外蔓延。因与骨质不接触,它在眶内生长很自由,不引起眶壁的改变。
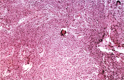
   显微镜下可以看到脑膜瘤是由许多细胞草组成。细胞巢可全无或仅有很少的结缔组织纤维。肿瘤周围可以只被薄壁血管分开,沙粒体在脑膜瘤中是常见的。

   视神经脑膜瘤的细胞属内皮类型。有梭形、圆形、椭圆形,稍有旋涡状排列。有合体细胞,也可看到分裂象。沙粒体大小由小如尘埃起直到0.25mm直径止。数量也不一致,从密集的沙粒起到不容易看到为止。在切开这种瘤时刀口可发出沙子磨擦声。

 

 
(来源:正大光明)(责编:xhhdm)

下一条:
更多关于(眼科图谱,病理图谱,病理图谱,眼科疾病,视神经脑膜瘤,)的信息
  热门图文

眼袋日常护肤8大高招

5款至酷太阳镜 型男必

08韩国时尚达人眼镜秀

炫酷太阳镜打造时尚酷
  健康新看点
  健康多视点
  图话健康

Copyright © 2007 中华眼科在线 网站备案序列号: 京ICP备06023366号
本网站由五景药业主办 北京金鼎盛世医学传媒机构负责运营 国家医学教育发展中心提供学术支持
服务电话:010-63330565 服务邮箱: [email protected]