精彩推荐:青光眼 白内障 近视 远视 散光 斜视弱视 角膜溃疡 角膜炎 沙眼 眼外伤 更多疾病
大众频道
专业频道
时尚频道
互动频道
疾 病 | 保 健 | 爱眼动态 | 名医名院
知 识 | 美 食 | 自检自测 | 爱眼纪事
资 讯 | 临 床 | 学 术 | 文 献
图 谱 | 医 患 | 继 教 | 家 园
五官之美 | 整 形 | 美 容
眼镜一族 | 妆 容 | 图 库
眼科在线 | 预留位置
眼科知道 | 在线咨询
  当前位置: 中华眼科在线 >> 医学频道 >> 临床医学 >> 病例分析 切换到繁體中文 用户登录 新用户注册
眼睑晶状体迷芽瘤病例

http://www.cnophol.com 2007-12-18 14:37:54 中华眼科在线
    晶状体迷芽瘤是一种罕见的病变,最早的报道见于1971年,迄今新增报道18例。此前报道的病例没有获得术前诊断,也没有导致原发性眼部病变。而我们将要报道的病例不仅是通过临床检查发现的,而且肿瘤导致了其他眼部病变。

病例报告
   一名健康女婴在出生第二日主因左眼发红就诊,体检发现左下睑鼻侧肿物,初步诊断为泪囊突出。后来,眼红症状消退,尽管进行了规律的按摩,眼睑肿胀依然持续存在。在排除了弱视、散光及近视的可能后,通过专业的整形外科检查,考虑诊断为晶状体迷芽瘤,在患儿10个月时全麻下进行了眼部检查。


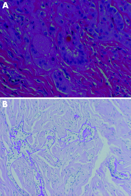
   手术切除眼睑肿块后无并发症。检查表明右眼正常,但是左眼显示视盘缺损性发育不全伴葡萄肿。屈光状态为大致正视眼。术后,眼睑肿块没有复发,但是患儿双眼逐渐出现进行性近视。最近的屈光检查为5岁时的右眼–11.25D及左眼–22.0D,视力为右眼6/18,左眼3/60。眼睑肿块的组织学检查显示在致密的纤维间质内有呈巢状或束状排列的上皮细胞。细胞淡染、细胞浆苍白,并有包含退化的肿胀细胞的囊状结构形成(图1A)。巢周有明显的基底膜(图1B),偶可见沙样瘤小体。组织学形态及免疫组化染色(波形蛋白 及S100阳性,全细胞角蛋白 AE1/AE3阴性)显示为典型的晶状体迷芽瘤(图2A及B)





 图1(A) 肿物镜下呈囊状结构,而且有厚的基底膜样物质和肿胀细胞(苏木精及伊红染色x20)。(B)基底膜包绕上皮细胞群(DPAS x10)。 

[1] [2] 下一页

(来源:正大光明)(责编:xhhdm)

下一条:
更多关于(眼科,眼睛,眼科研究,典型病例,病例讨论,眼睑,眼底检查,视网膜,晶状体,晶状体迷芽瘤,)的信息
  热门图文

眼袋日常护肤8大高招

5款至酷太阳镜 型男必

08韩国时尚达人眼镜秀

炫酷太阳镜打造时尚酷
  健康新看点
  健康多视点
  图话健康

Copyright © 2007 中华眼科在线 网站备案序列号: 京ICP备06023366号
本网站由五景药业主办 北京金鼎盛世医学传媒机构负责运营 国家医学教育发展中心提供学术支持
服务电话:010-63330565 服务邮箱: [email protected]