精彩推荐:
青光眼
白内障
近视
远视
散光
斜视弱视
角膜溃疡
角膜炎
沙眼
眼外伤
更多疾病
大众频道
专业频道
时尚频道
互动频道
疾 病
|
保 健
|
爱眼动态
|
名医名院
知 识
|
美 食
|
自检自测
|
爱眼纪事
资 讯
|
临 床
|
学 术
|
文 献
图 谱
|
医 患
|
继 教
|
家 园
五官之美
|
整 形
|
美 容
眼镜一族
|
妆 容
|
图 库
眼科在线
|
预留位置
眼科知道
|
在线咨询
当前位置:
中华眼科在线
>>
医学频道
>>
眼科图谱
>>
病理图谱
切换到繁體中文
用户登录
新用户注册
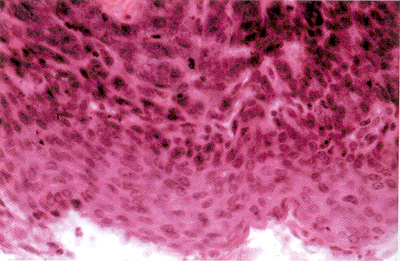
眼科图谱睑基底细胞癌1
http://www.cnophol.com 2007-12-10 17:14:29 中华眼科在线
睑基底细胞癌
(来源:正大光明)(责编:xhhdm)
下一条:
人工晶体植入后角膜失代偿
更多关于(
眼科,眼科疾病,眼科图谱,病理图谱,睑基底细胞癌,基础图谱
)的信息
穗汕联手打造眼科医疗强省
第9届国际视力复健大会视觉2008
东南亚青光眼兴趣小组第5届大会
第十三届国际视网膜变性研讨会的通知
复旦大学附属眼科专家张勇进
谈老人要远离眼底病!
莫晓芬博士与年轻医师分享科研经验
学雷锋日天津医大眼科用爱心传递光明
青光眼成香港头号致盲杀手
2008年3月6日为第一个世界青光眼日
热门图文
眼袋日常护肤8大高招
5款至酷太阳镜 型男必
08韩国时尚达人眼镜秀
炫酷太阳镜打造时尚酷
健康新看点
健康多视点
图话健康
Copyright © 2007 中华眼科在线 网站备案序列号: 京ICP备06023366号
本网站由
五景药业
主办
北京金鼎盛世医学传媒机构负责运营
国家医学教育发展中心提供学术支持
服务电话:010-63330565 服务邮箱:
[email protected]