精彩推荐:青光眼 白内障 近视 远视 散光 斜视弱视 角膜溃疡 角膜炎 沙眼 眼外伤 更多疾病
大众频道
专业频道
时尚频道
互动频道
疾 病 | 保 健 | 爱眼动态 | 名医名院
知 识 | 美 食 | 自检自测 | 爱眼纪事
资 讯 | 临 床 | 学 术 | 文 献
图 谱 | 医 患 | 继 教 | 家 园
五官之美 | 整 形 | 美 容
眼镜一族 | 妆 容 | 图 库
眼科在线 | 预留位置
眼科知道 | 在线咨询
  当前位置: 中华眼科在线 >> 医学频道 >> 眼科图谱 >> 病理图谱 切换到繁體中文 用户登录 新用户注册
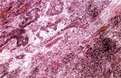
眼科图谱睑基底细胞癌2

http://www.cnophol.com 2007-12-10 17:12:25 中华眼科在线

 

    基底细胞癌是一种上皮细胞的恶性瘤,多来自皮肤表皮的基底细胞层。它可以发生在险皮内。
   镜下见实质部分由上皮细胞组成。上皮实心或不规则的上皮突深入组织内生长;染色较深。其次是间质组织,即结缔组织与血管。它们与瘤细胞索条的排列顺序一致。血管均充血。间质中可见一侧有多量炎细胞浸润。

(来源:正大光明)(责编:xhhdm)

下一条:
更多关于(眼科,眼科疾病,眼科图谱,病理图谱,睑基底细胞癌,基础图谱)的信息
  热门图文

眼袋日常护肤8大高招

5款至酷太阳镜 型男必

08韩国时尚达人眼镜秀

炫酷太阳镜打造时尚酷
  健康新看点
  健康多视点
  图话健康

Copyright © 2007 中华眼科在线 网站备案序列号: 京ICP备06023366号
本网站由五景药业主办 北京金鼎盛世医学传媒机构负责运营 国家医学教育发展中心提供学术支持
服务电话:010-63330565 服务邮箱: [email protected]