经常听见身边的一些朋友抱怨他们在看东西时,感觉就像看电视屏幕异常时,出现了“水波纹”感,一道一道的异常反光。

大家常常以为是最近比较疲劳,所以眼睛才暂时出现的不适而不以为然,认为休息休息就会没事了。到眼科就诊也往往是拖了很长时间,或者症状已经严重到影响生活质量了。
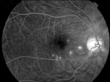
其实,这种水波纹感是一种眼底疾病----“脉络膜炎”的特征性表现,女性多见。脉络膜这个名词听起来古怪,可是它的作用却很大。如果把我们的眼睛比作照相机,脉络膜就是保证胶卷发挥正常作用的组织。试想一下,如果胶卷质量不好了,照相机拍出来的照片会是什么效果?
脉络膜炎是后葡萄膜炎的一种类型。因脉络膜血管源于睫状后短动脉,故可单独发病。但因和视网膜紧贴,又供应视网膜外层的血液,故常累及视网膜并发为脉络膜视网膜炎。炎症初期因视网膜的光感觉器细胞受刺激,可有眼前闪光感。炎性产物进入玻璃体时表现为玻璃体浑浊,诉眼前有黑点飘动,视力呈不同程度下降。

引起脉络膜炎的可能性原因很多,必须尽可能查明,因为不同病因导致的脉络膜炎治疗方案千差万别,如果选择错误的治疗,不仅可能延误病情,甚至可能火上浇油。
因此,临床上一旦怀疑脉络膜炎的可能,需要做全面检查,判断炎症的原因和严重程度。包括眼相干光断层扫描、眼底照相、眼底荧光血管造影、眼B超等,可以从不同角度提示病变的范围和可能的病因。此外,还有各项免疫相关的血清实验室检测,除外风湿免疫性疾病,各项感染相关的因素,例如结核、梅毒等等,除外感染性病因。
在通过常规的检查无法判断脉络膜炎病因时,应考虑进行眼内液的检测,因为全身化验指标即使异常,也不能说明就是眼底疾病的来源。眼内液的检测包括两大方面,一是各类病原微生物的抗原和抗体水平检测,对于眼底疾病病因判明有直接的提示作用,二是炎症因子浓度的检测,提示眼内炎症的活动程度;在治疗过程中,可以提示治疗是否对路。只要是正规的医疗机构和经验丰富的眼科医生来操作,抽取眼内液是很安全的,而且时间也很快。
这里小编介绍几个脉络膜的食疗方法:

|