精彩推荐:青光眼 白内障 近视 远视 散光 斜视弱视 角膜溃疡 角膜炎 沙眼 眼外伤 更多疾病
大众频道
专业频道
时尚频道
互动频道
疾 病 | 保 健 | 爱眼动态 | 名医名院
知 识 | 美 食 | 自检自测 | 爱眼纪事
资 讯 | 临 床 | 学 术 | 文 献
图 谱 | 医 患 | 继 教 |
五官之美 | 整 形 | 美 容
眼镜一族 | 妆 容 | 图 库
眼科在线 | 预留位置
眼科知道 | 在线咨询
  当前位置:当前位置: 中华眼科在线 → 大众频道 → 眼睛保健 → 中老年眼保健 → 正文 切换到繁體中文 用户登录 新用户注册
中老年人该怎么保护眼睛-浅谈老年人眼保健

http://www.cnophol.com 2015-8-25 10:58:07 中华眼科在线

   随着社会的发展,生活水平的提高以及保健体系的完善,人类可期望寿命逐渐提高,老年人口的比例也在不断增加。与此同时,老年人的健康问题已为全社会所关注。研究显示,人所获得的外界信息中约90%来自视觉,因此,要想改善老年人的生活质量,眼的保健至关重要。

  让我们先来了解一下视觉器官——眼球。眼球是一个直径约23.5mm的球体,主要包括光学系统和视觉神经系统。光学系统即眼的屈光介质由角膜、晶状体和玻璃体组成,这些结构一旦发生病变会导致屈光介质混浊从而影响视力;视网膜中的光感受器是视觉神经系统的起始点,在光感受器接受光学刺激后经过视网膜内的复杂传导过程到视神经出眼球,然后再经视交叉、视束、视放射到位于大脑枕叶的视中枢,由视中枢对光学信号进行处理从而形成视觉。从复杂的视觉传导途径不难理解,不仅眼球内的视网膜病变会造成视觉损害,一旦颅内病变如脑梗塞等也可能导致视觉损害。

  一、 眼球的年龄性改变。

  随着年龄的增长,眼球的结构也会发生一些改变,如在角膜的边缘形成灰白色的“老年环”, 但这种改变由于仅发生在角膜周边部,不会对视觉产生任何影响。另外,玻璃体也会发生退行性变,其最常见的症状就是在明亮环境下眼前出现不同形态的“会飞的”黑色或灰色影,临床上称之为“飞蚊症”,这属于生理性改变的范畴,一般不影响视力。年龄性改变最明显并且会出现视觉障碍的是晶状体的改变。随着年龄的增加,晶状体内液体的含量减少,而可溶性蛋白(晶状体蛋白)含量增加,晶状体变得越来越硬、弹性越来越差、透明度下降以及体积和重量的增加。这些改变带来的直接后果就是老视(俗称“老化”)和对比敏感度的减退,感觉看东西不如年轻时清晰,看书看报需要用老花镜才能看清楚。

  由于上述眼的年龄性改变,老年人在理解这些医学知识的同时,应该在日常生活工作中科学地用眼,如避免长时间的近距离用眼时间,一般一小时左右需休息十分钟;多进行户外运动;定期验光调整老化眼镜的度数等。

  此外,随着年龄的增长,一些眼病会在老年阶段陡然增加,其中最常见的、可导致失明的眼病有老年性白内障、青光眼、老年性黄斑变性以及全身疾病引起的眼部并发症如糖尿病性视网膜病变等。

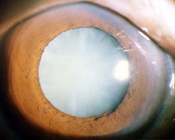
  二、老年性白内障

  国际上,老年性白内障的名称是“年龄相关性白内障”, 是指眼球内的晶状体由透明变为混浊。 目前,老年性白内障仍然是全球的首位致盲性眼病,我国也不例外。 至今为止,研究显示白内障的发生与年龄、性别、种族、地域环境、糖尿病、家庭遗传因素、药物、营养、放射线照射、吸烟、严重腹泻、高血压、肾病等因素有关,但确切的发病机制还不清楚。人的年龄增长无法避免,但这并不表示每位老年人只能任由白内障的发生和发展,在日常生活中应尽可能减少危险因素的干扰,如户外活动时配戴太阳镜以减少紫外线对眼睛的辐射,注意合理的膳食保持良好均衡的营养,注意全身病如糖尿病、高血压、肾病等的治疗,可用可不用的药物坚决不用。

  老年人一旦患了白内障也不必过分忧虑。虽然临床上已有的一些抗白内障药物的效果不理想,但是,白内障手术是现代眼科显微手术中发展最快、技术最成熟的手术。手术方法的改进、新仪器设备的应用,使白内障的手术危险性大大下降。近年来,小切口白内障超声乳化技术较为流行,它通过超声波将白内障粉碎成乳糜状并吸出,同期植入人工晶体,与以往传统的囊外摘除技术相比,它具有切口小、伤口愈合快、术后散光轻、视力恢复快等优点,一般在术后第一天即可恢复视力。

  三、青光眼

  青光眼是一组以病理性高眼压为特征导致视神经损害和视野缺损的病变的统称,也是老年人常见的最常见的眼病之一。由于青光眼所致的视功能损害是不可逆的,一旦在就诊时病变已经造成了视功能损害,即使进行了有效的治疗也无法使视功能恢复正常,因此,防治青光眼可能造成的视功能损害最重要的是:早期诊断、早期治疗。

  要做到青光眼的早诊断和早治疗,老年人一定要进行定期的全面眼科检查。青光眼的分类很多,根据临床表现的特点大致可分为急性和慢性两种。急性青光眼的发病急,症状严重,包括眼疼、头疼、恶心、呕吐等,患者一旦发作痛苦难忍必然会去医院就诊。但是,这种类型的青光眼只占所有青光眼的比例很少,绝大多数青光眼患者表现为慢性过程,临床症状轻微甚至毫无觉察,往往造成患者延误诊治,因此,这类青光眼被形象地称为“隐性杀手。”

  老年人除了要进行定期的眼科检查外,还应了解一些青光眼发病的高危因素如远视、高度近视、糖尿病、高血压以及有青光眼家族史。如果自身存在这些危险因素,更应及早到医院进行系统的眼科检查。

  四、老年黄斑变性

  老年黄斑变性是一种和年龄增长有关的多因素复合作用的眼底病,年龄越大,患病率越高,因此亦称为年龄相关性黄斑变性。黄斑是视网膜的一个特殊部位,主管精细视觉和色觉,一旦黄斑发生病变就会导致严重的视力下降、视物变形等。目前,其病因尚未明确,可能与慢性光损害、营养不良、中毒、药物作用、免疫异常以及心血管系统及呼吸系统等全身性疾病有关。本病根据其临床表现不同分为萎缩型(又称干性或非渗出性)和渗出型(又称湿性或盘状)两型。两种类型均可导致严重的视力减退,目前没有特效的治疗方法,近几年国际上采用的光动力治疗法和抗VEGF药物对部分湿性老年黄斑变性患者有一定的效果。

  对老年黄斑变性的预防同样也是重在平时的眼睛保健,如户外活动时配戴太阳镜以减少紫外线对眼睛的辐射,注意合理的膳食结构,保持良好均衡的营养,多吃含叶绿素多的蔬菜如青菜、胡萝卜、枸杞子等。

  五、全身病的眼部并发症

  高血压和糖尿病是老年人最常见的全身病。这些病变如果控制不好,对视功能的影响是非常大的。如上所述,老年人最常见的三种致盲性眼病都提到全身疾病尤其是高血压、糖尿均被列为危险因素。此外,这类血管性疾病还会导致视网膜动静脉阻塞、糖尿病视网膜病变,造成眼底出血、视力减退。如果没有及时就诊,病变进一步发展会出现新生血管性增殖膜、牵引性视网膜脱离、新生血管性青光眼,最终失明。因此,患有全身疾病的老年人除了要很好地控制血压、血糖等之外,不能忽视了这些病变可能出现的眼部并发症,更应进行定期的眼科检查。

来源:搜狐健康 (责编:cnophol)

发表评论】【加入收藏】【告诉好友】【打印此文】【关闭窗口
  • 下一条信息: 没有了
  • 更多关于(老年人眼保健)的信息
      热门图文

    黑眼圈、眼袋、卧蚕,

    戴美瞳如何化妆

    白领女性消灭眼袋美眼

    让卧蚕带动你的笑颜 2
      健康新看点
    ad推广
      健康多视点
      图话健康
    点击申请
    点击申请点击申请点击申请点击申请点击申请点击申请点击申请点击申请点击申请
    39健康网眼病新浪福建健康21世纪药店网医脉通眼科新浪厦门健康合肥爱尔眼科一心医药集团重庆桐君阁中国近视网39五官科
    爱尔英智眼科康华眼科网久久眼科网阿里医药眼科网山水画泉州新视力眼科武汉普瑞眼科眼科疾病点击申请点击申请

    Copyright © 2007 中华眼科在线 网站备案序列号: 京ICP备08009675号
    本网站由武汉五景药业主办