年龄相关性白内障(age-related cataract)是中老年开始发生的晶状体混浊,随着年龄增加,患病率明显增高。由于它主要发生于老年人中,所以又称老年性白内障。分为皮质性、核性和后囊下三类。
病因 较为复杂,可能是环境、营养、代谢和遗传等多种因素,对晶状体长期综合作用的结果。一般认为,氧化损伤引起白内障的最早期变化。氧化作用会损伤晶状体细胞膜,使维持细胞内正常低钠和高钾离子浓度的Na+-K+-ATP酶泵功能明显改变,对钠离子的通透性增加,使晶状体内的钠离子增加,导致水的流入,开始了皮质性白内障的过程。氧化作用也能使晶状体核内的可溶性晶状体蛋白经氧化、蛋白水解、糖化和脱酰胺作用而发生变化,使晶状体蛋白聚合,形成不溶性的高分子量蛋白,开始了核性白内障的过程。上述变化使晶状体内结构改变,屈光指数波动,使通过晶状体的光线发生散射。流行病学研究表明,紫外线照射、过量饮酒、吸烟、妇女生育多、心血管疾病、高血压、精神病、机体外伤等与白内障的形成有关。
临床表现 常双眼患病,但发病可有先后,严重程度也不一致。主要症状为,眼前阴影和渐进性、无痛性视力减退。由于晶状体吸收水份后体积增加,屈光力增强。因晶状体纤维肿胀和断裂,使屈光度不均一,可出现单眼复视或多视。因吸收水份,晶状体纤维肿胀,注视灯光时可有虹视现象。由于光线通过部分混浊的晶状体时产生散射,干扰视网膜上成像,可出现畏光和眩光。
1.皮质性白内障(cortical cataract)最为常见。按其发展过程分为4期。
(1)初发期(incipient stage):晶状体皮质内出现空泡、水裂和板层分离。空泡为圆形透明小泡,位于前后皮质中央部或晶状体缝附近。水裂的形态不一,从周边向中央逐渐扩大。板层分离多在皮质深层,呈羽毛状。楔形混浊常见,位于前后皮质,尖端向着晶状体中心,基底位于赤道部。这些混浊在赤道部汇合,形成轮幅状,或在某一象限融合成片状混浊。散瞳后,应用检眼镜彻照法,可在眼底红光反射中看到轮幅状混浊的阴影。此时瞳孔区的晶状体未累及,一般不影响视力。晶状体混浊发展缓慢。可经数年才进入下一期。
(2)膨胀期(intumescent stage):又称未熟期(immature stage)。晶状体混浊继续加重时,渗透压改变,在短期内有较多水份积聚,晶状体急剧肿胀,体积变大,将虹膜向前推移,前房变浅,可诱发急性闭角型青光眼。晶状体呈不均匀的灰白色混浊,在裂隙灯下仍可看到皮质内的空泡、水裂和板层分离。视力明显减退,眼底难以看清。

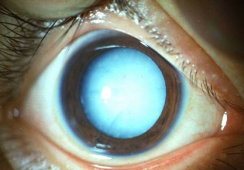
(3)成熟期(mature stage):经膨胀期后,晶状体内水分和分解产物从囊膜逸出,晶状体又恢复到原来体积,前房深度恢复正常。晶状体逐渐全部混浊。患眼视力降至眼前手动或光感。眼底不能窥入。从初发期到成熟期可经10多个月至数10年不等。
(4)过熟期(hypermature stage):如果成熟期持续时间过长,经数年后晶状体内水分继续丢失,体积缩小,囊膜皱缩,出现不规则的白色斑点及胆固醇结晶,前房加深,虹膜震颤。晶状体纤维分解液化,呈乳白色,棕黄色的晶状体核沉于囊袋下方,可随体位变化而移动,上方前房进一步加深,称为Morgagnian白内障。当晶状体核下沉后,视力可突然提高。过熟期白内障囊膜变性,通透性增加或出现细小的破裂。当液化的皮质漏出时,可发生晶状体诱导的葡萄膜炎。长期存在于房水中的晶状体皮质可沉积于前房角;也可被巨噬细胞吞噬,堵塞前房角,引起继发性青光眼,称为晶状体溶解性青光眼。当患眼受到剧烈震动时,可使晶状体囊膜破裂,晶状体核脱入前房或玻璃体内,引起继发性青光眼。过熟期白内障的晶状体悬韧带发生退行性改变,容易发生晶状体脱位。
2.核性白内障(nuclear cataract)
较皮质性白内障少见,发病年龄较早,进展缓慢。混浊开始于胎儿核或成人核,前者较多见,逐渐发展到成人核完全混浊。初期晶状体核呈黄色混浊,但很难与核硬化相鉴别。核硬化是生理现象,由于晶状体终身生长,晶状体核密度逐渐增加,颜色变深,透明度降低,但对视力无明显影响。对核性白内障,散瞳后用彻照法检查,在周边部环状红色反光中,中央有一盘状暗影。眼底检查仅可由周边部看清眼底。由于屈光力增加,可发生近视。远视力的减退较慢。由于中央和周边部屈光力不同,形成晶状体双焦距,可产生单眼复视或多视。因周边部屈光力没有改变,扩瞳前后的视力是不同的。核性白内障以后逐渐变为棕黄色或棕黑色。此时视力极度减退,眼底已不能看清。这种核改变可持续很久而不变,可同时有皮质混浊,但不易成熟。

3.后囊膜下白内障(subcapsular cataract)
后囊膜下浅层皮质出现棕黄色混浊,为许多致密小点组成,其中有小空泡和结晶样颗粒,外观似锅巴状。由于混浊位于视轴,所以早期出现明显视力障碍。此类白内障进展缓慢,后期合并晶状体皮质和核混浊,最后发展为成熟期白内障。
诊断 在散瞳后,以检眼镜或裂隙灯显微镜检查晶状体。根据晶状体混浊的形态和视力情况可明确诊断。当视力减退与晶状体混浊程度不相符合时,应进一步检查,寻找其它病变,避免因晶状体混浊而漏诊其他眼病。
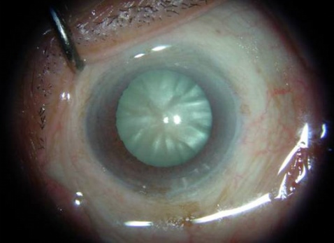
治疗 虽然多年来寻找有效药物预防和延缓年龄相关性白内障的发生和发展,但目前尚无疗效肯定的药物。因白内障影响工作和生活时,可考虑手术治疗。通常采用白内障囊外摘除(包括超声乳化术)联合人工晶状体(intraocular lens, IOL)植入术。在某些情况下也可行白内障囊内摘除术,术后给予眼镜或角膜接触镜矫正视力。
来源:网络 |